| Immunohistochemistry (IHC): | 1:50-400 |
| Enzyme linked immunosorbent assay (ELISA): | 1:100-1000 |
| (Boiling the paraffin sections in 10mM citrate buffer,pH6.0,or PH8.0 EDTA repair liquid for 20 mins is required for the staining of formalin/paraffin sections.) Optimal working dilutions must be determined by end user. | |

IHC analysis of Ki67/MKI67 using anti-Ki67/MKI67 antibody (A00254).
Ki67/MKI67 was detected in a paraffin-embedded section of mouse lymphaden tissue. Biotinylated goat anti-rabbit IgG was used as secondary antibody. The tissue section was incubated with rabbit anti-Ki67/MKI67 Antibody (A00254) at a dilution of 1:200 and developed using Strepavidin-Biotin-Complex (SABC) (Catalog # SA1022) with DAB (Catalog # AR1027) as the chromogen.

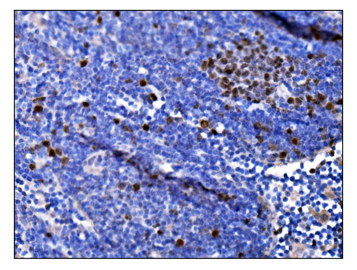
IHC analysis of Ki67/MKI67 using anti-Ki67/MKI67 antibody (A00254).
Ki67/MKI67 was detected in a paraffin-embedded section of rat lymphaden tissue. Biotinylated goat anti-rabbit IgG was used as secondary antibody. The tissue section was incubated with rabbit anti-Ki67/MKI67 Antibody (A00254) at a dilution of 1:200 and developed using Strepavidin-Biotin-Complex (SABC) (Catalog # SA1022) with DAB (Catalog # AR1027) as the chromogen.

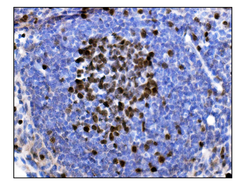
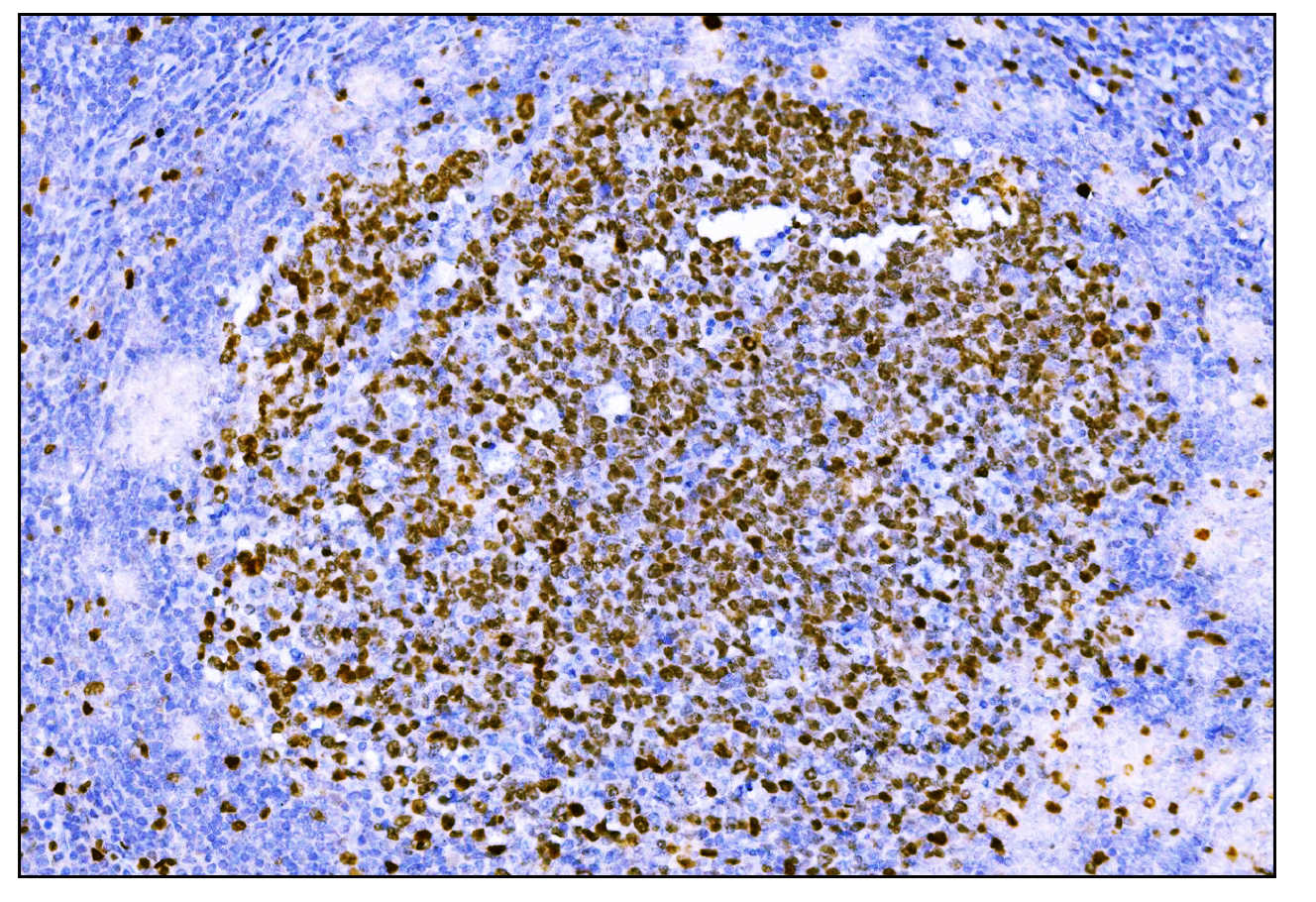
IHC analysis of Ki67/MKI67 using anti-Ki67/MKI67 antibody (A00254).
Ki67/MKI67 was detected in a paraffin-embedded section of human tonsil tissue. Biotinylated goat anti-rabbit IgG was used as secondary antibody. The tissue section was incubated with rabbit anti-Ki67/MKI67 Antibody (A00254) at a dilution of 1:200 and developed using Strepavidin-Biotin-Complex (SABC) (Catalog # SA1022) with DAB (Catalog # AR1027) as the chromogen.

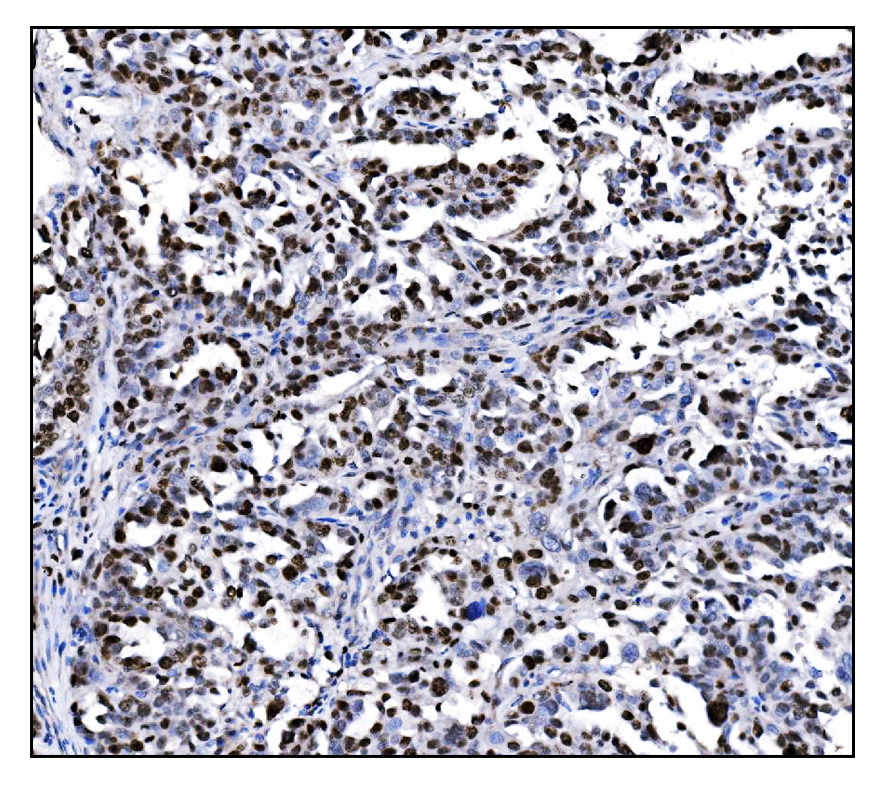
IHC analysis of Ki67/MKI67 using anti-Ki67/MKI67 antibody (A00254).
Ki67/MKI67 was detected in a paraffin-embedded section of human ovarian cancer tissue. Biotinylated goat anti-rabbit IgG was used as secondary antibody. The tissue section was incubated with rabbit anti-Ki67/MKI67 Antibody (A00254) at a dilution of 1:200 and developed using Strepavidin-Biotin-Complex (SABC) (Catalog # SA1022) with DAB (Catalog # AR1027) as the chromogen.

IHC analysis of Ki67/MKI67 using anti-Ki67/MKI67 antibody (A00254).
Ki67/MKI67 was detected in a paraffin-embedded section of mouse lymphaden tissue. Biotinylated goat anti-rabbit IgG was used as secondary antibody. The tissue section was incubated with rabbit anti-Ki67/MKI67 Antibody (A00254) at a dilution of 1:200 and developed using Strepavidin-Biotin-Complex (SABC) (Catalog # SA1022) with DAB (Catalog # AR1027) as the chromogen.

IHC analysis of Ki67/MKI67 using anti-Ki67/MKI67 antibody (A00254).
Ki67/MKI67 was detected in a paraffin-embedded section of rat lymphaden tissue. Biotinylated goat anti-rabbit IgG was used as secondary antibody. The tissue section was incubated with rabbit anti-Ki67/MKI67 Antibody (A00254) at a dilution of 1:200 and developed using Strepavidin-Biotin-Complex (SABC) (Catalog # SA1022) with DAB (Catalog # AR1027) as the chromogen.

IHC analysis of Ki67/MKI67 using anti-Ki67/MKI67 antibody (A00254).
Ki67/MKI67 was detected in a paraffin-embedded section of human tonsil tissue. Biotinylated goat anti-rabbit IgG was used as secondary antibody. The tissue section was incubated with rabbit anti-Ki67/MKI67 Antibody (A00254) at a dilution of 1:200 and developed using Strepavidin-Biotin-Complex (SABC) (Catalog # SA1022) with DAB (Catalog # AR1027) as the chromogen.

IHC analysis of Ki67/MKI67 using anti-Ki67/MKI67 antibody (A00254).
Ki67/MKI67 was detected in a paraffin-embedded section of human ovarian cancer tissue. Biotinylated goat anti-rabbit IgG was used as secondary antibody. The tissue section was incubated with rabbit anti-Ki67/MKI67 Antibody (A00254) at a dilution of 1:200 and developed using Strepavidin-Biotin-Complex (SABC) (Catalog # SA1022) with DAB (Catalog # AR1027) as the chromogen.





