| Western blot (WB): | 1:1000-5000 |
| Immunohistochemistry (IHC): | 1:50-200 |
| ImmunoPrecipitation (IP): | 1:50 |
| Flow Cytometry (FCM): | 1:100 |

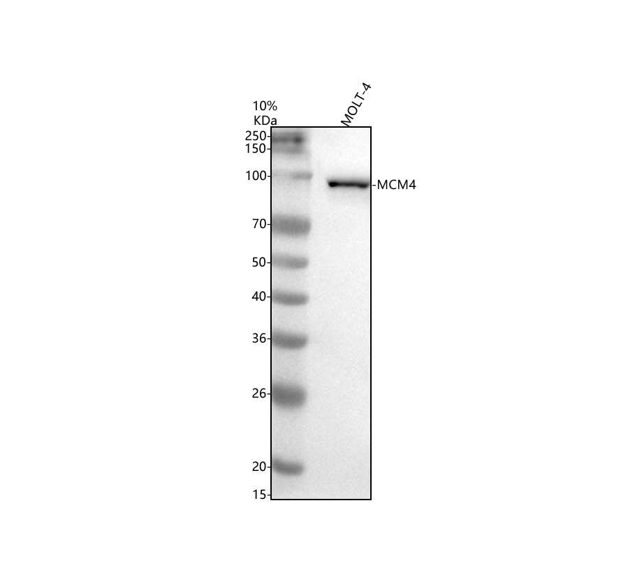
Western blot analysis of anti-MCM4 antibody (M02301). The sample well of each lane was loaded with 30 ug of sample under reducing conditions.
Lane 1: human MOLT-4 whole cell lysates.
After electrophoresis, proteins were transferred to a membrane. Then the membrane was incubated with rabbit anti-MCM4 antigen affinity purified monoclonal antibody (M02301) at a dilution of 1:1000 and probed with a goat anti-rabbit IgG-HRP secondary antibody (Catalog # BA1054). The signal is developed using ECL Plus Western Blotting Substrate (Catalog # AR1197). A specific band was detected for MCM4 at approximately 97 kDa. The expected band size for MCM4 is at 97 kDa.

IHC analysis of MCM4 using anti-MCM4 antibody (M02301) .
MCM4 was detected in a paraffin-embedded section of human colorectal adenocarcinoma tissue. The tissue section was incubated with rabbit anti-MCM4 Antibody (M02301) at a dilution of 1:200 and developed using HRP Conjugated Rabbit IgG Super Vision Assay Kit (Catalog # SV0002) with DAB (Catalog # AR1027) as the chromogen.

IHC analysis of MCM4 using anti-MCM4 antibody (M02301) .
MCM4 was detected in a paraffin-embedded section of human spleen tissue. The tissue section was incubated with rabbit anti-MCM4 Antibody (M02301) at a dilution of 1:200 and developed using HRP Conjugated Rabbit IgG Super Vision Assay Kit (Catalog # SV0002) with DAB (Catalog # AR1027) as the chromogen.

Western blot analysis of anti-MCM4 antibody (M02301). The sample well of each lane was loaded with 30 ug of sample under reducing conditions.
Lane 1: human MOLT-4 whole cell lysates.
After electrophoresis, proteins were transferred to a membrane. Then the membrane was incubated with rabbit anti-MCM4 antigen affinity purified monoclonal antibody (M02301) at a dilution of 1:1000 and probed with a goat anti-rabbit IgG-HRP secondary antibody (Catalog # BA1054). The signal is developed using ECL Plus Western Blotting Substrate (Catalog # AR1197). A specific band was detected for MCM4 at approximately 97 kDa. The expected band size for MCM4 is at 97 kDa.

IHC analysis of MCM4 using anti-MCM4 antibody (M02301) .
MCM4 was detected in a paraffin-embedded section of human colorectal adenocarcinoma tissue. The tissue section was incubated with rabbit anti-MCM4 Antibody (M02301) at a dilution of 1:200 and developed using HRP Conjugated Rabbit IgG Super Vision Assay Kit (Catalog # SV0002) with DAB (Catalog # AR1027) as the chromogen.

IHC analysis of MCM4 using anti-MCM4 antibody (M02301) .
MCM4 was detected in a paraffin-embedded section of human spleen tissue. The tissue section was incubated with rabbit anti-MCM4 Antibody (M02301) at a dilution of 1:200 and developed using HRP Conjugated Rabbit IgG Super Vision Assay Kit (Catalog # SV0002) with DAB (Catalog # AR1027) as the chromogen.






