| Western blot (WB): | 1:500-2000 |
| Immunohistochemistry (IHC): | 1:50-400 |
| Immunocytochemistry/Immunofluorescence (ICC/IF): | 1:50-400 |
| Flow Cytometry (Fixed): | 1:50-200 |
| (Boiling the paraffin sections in 10mM citrate buffer,pH6.0,or PH8.0 EDTA repair liquid for 20 mins is required for the staining of formalin/paraffin sections.) Optimal working dilutions must be determined by end user. | |

Western blot analysis of ALDH1A1 using anti-ALDH1A1 antibody (M01392-2). The sample well of each lane was loaded with 30 ug of sample under reducing conditions.
Lane 1: A549 whole cell lysates,
Lane 2: HepG2 whole cell lysates.
After electrophoresis, proteins were transferred to a membrane. Then the membrane was incubated with mouse anti-ALDH1A1 antigen affinity purified monoclonal antibody (M01392-2) at a dilution of 1:1000 and probed with a goat anti-mouse IgG-HRP secondary antibody (Catalog # BA1050). The signal is developed using ECL Plus Western Blotting Substrate (Catalog # AR1197). A specific band was detected for ALDH1A1 at approximately 55 kDa. The expected band size for ALDH1A1 is at 55 kDa.

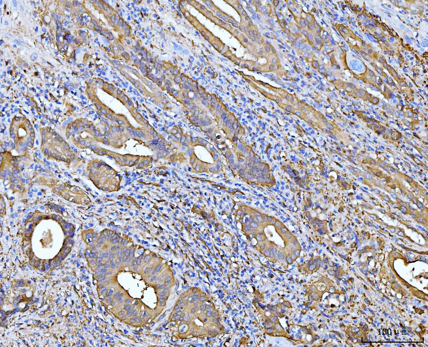
IHC analysis of ALDH1A1 using anti-ALDH1A1 antibody (M01392-2).
ALDH1A1 was detected in a paraffin-embedded section of human Gall bladder adenosquamous carcinoma tissue. Biotinylated goat anti-mouse IgG was used as secondary antibody. The tissue section was incubated with mouse anti-ALDH1A1 Antibody (M01392-2) at a dilution of 1:200 and developed using Strepavidin-Biotin-Complex (SABC) (Catalog # SA1021) with DAB (Catalog # AR1027) as the chromogen.

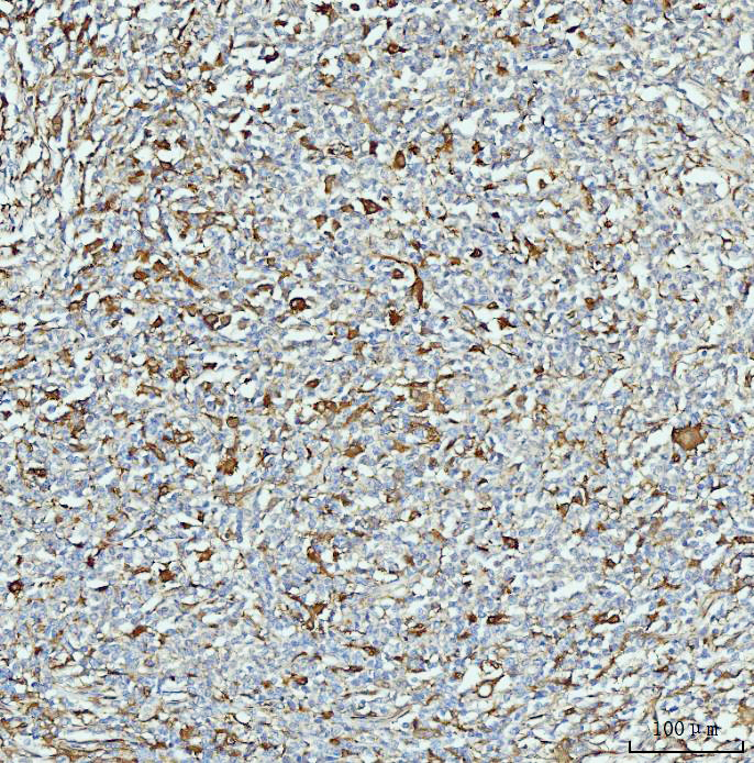
IHC analysis of ALDH1A1 using anti-ALDH1A1 antibody (M01392-2).
ALDH1A1 was detected in a paraffin-embedded section of human lymphadenoma tissue. Biotinylated goat anti-mouse IgG was used as secondary antibody. The tissue section was incubated with mouse anti-ALDH1A1 Antibody (M01392-2) at a dilution of 1:200 and developed using Strepavidin-Biotin-Complex (SABC) (Catalog # SA1021) with DAB (Catalog # AR1027) as the chromogen.

ICC/IF analysis of ALDH1A1 using anti-ALDH1A1 antibody (M01392-2).
ALDH1A1 was detected in an immunocytochemical section of A549 cells. The section was incubated with mouse anti-ALDH1A1 Antibody (M01392-2) at a dilution of 1:100. Fluoro488-conjugated Anti-mouse IgG Secondary Antibody (green)(Catalog#BA1126) was used as secondary antibody. The section was counterstained with DAPI (Catalog # AR1176) (Blue).

Western blot analysis of ALDH1A1 using anti-ALDH1A1 antibody (M01392-2). The sample well of each lane was loaded with 30 ug of sample under reducing conditions.
Lane 1: A549 whole cell lysates,
Lane 2: HepG2 whole cell lysates.
After electrophoresis, proteins were transferred to a membrane. Then the membrane was incubated with mouse anti-ALDH1A1 antigen affinity purified monoclonal antibody (M01392-2) at a dilution of 1:1000 and probed with a goat anti-mouse IgG-HRP secondary antibody (Catalog # BA1050). The signal is developed using ECL Plus Western Blotting Substrate (Catalog # AR1197). A specific band was detected for ALDH1A1 at approximately 55 kDa. The expected band size for ALDH1A1 is at 55 kDa.

IHC analysis of ALDH1A1 using anti-ALDH1A1 antibody (M01392-2).
ALDH1A1 was detected in a paraffin-embedded section of human Gall bladder adenosquamous carcinoma tissue. Biotinylated goat anti-mouse IgG was used as secondary antibody. The tissue section was incubated with mouse anti-ALDH1A1 Antibody (M01392-2) at a dilution of 1:200 and developed using Strepavidin-Biotin-Complex (SABC) (Catalog # SA1021) with DAB (Catalog # AR1027) as the chromogen.

IHC analysis of ALDH1A1 using anti-ALDH1A1 antibody (M01392-2).
ALDH1A1 was detected in a paraffin-embedded section of human lymphadenoma tissue. Biotinylated goat anti-mouse IgG was used as secondary antibody. The tissue section was incubated with mouse anti-ALDH1A1 Antibody (M01392-2) at a dilution of 1:200 and developed using Strepavidin-Biotin-Complex (SABC) (Catalog # SA1021) with DAB (Catalog # AR1027) as the chromogen.

ICC/IF analysis of ALDH1A1 using anti-ALDH1A1 antibody (M01392-2).
ALDH1A1 was detected in an immunocytochemical section of A549 cells. The section was incubated with mouse anti-ALDH1A1 Antibody (M01392-2) at a dilution of 1:100. Fluoro488-conjugated Anti-mouse IgG Secondary Antibody (green)(Catalog#BA1126) was used as secondary antibody. The section was counterstained with DAPI (Catalog # AR1176) (Blue).



