| Western blot (WB): | 1:500-2000 |
| Immunohistochemistry (IHC): | 1:50-400 |
| Immunocytochemistry/Immunofluorescence (ICC/IF): | 1:50-400 |
| Flow Cytometry (Fixed): | 1:50-200 |
| Enzyme linked immunosorbent assay (ELISA): | 1:100-1000 |
| (Boiling the paraffin sections in 10mM citrate buffer,pH6.0,or PH8.0 EDTA repair liquid for 20 mins is required for the staining of formalin/paraffin sections.) Optimal working dilutions must be determined by end user. | |

Western blot analysis of anti-ALDH1A1 antibody (A01392). The sample well of each lane was loaded with 30 ug of sample under reducing conditions.
Lane 1: human hepatocellular carcinoma tumor tissue (HCCT) lysates,
Lane 2: human hepatocellular carcinoma paracancerous tissue (HCCP) lysates.
Lane 3: human HepG2 whole cell lysates,
Lane 4: human A549 whole cell lysates,
Lane 5: rat liver tissue lysates,
Lane 6: rat kidney tissue lysates,
Lane 7: mouse lung tissue lysates.
After electrophoresis, proteins were transferred to a membrane. Then the membrane was incubated with rabbit anti-ALDH1A1 antigen affinity purified polyclonal antibody (A01392) and probed with a goat anti-rabbit IgG-HRP secondary antibody (Catalog # BA1054). The signal is developed using ECL Plus Western Blotting Substrate (Catalog # AR1197). A specific band was detected for ALDH1A1 at approximately 55 kDa. The expected band size for ALDH1A1 is at 55 kDa.

IHC analysis of ALDH1A1 using anti-ALDH1A1 antibody (A01392).
ALDH1A1 was detected in a paraffin-embedded section of human mammary cancer tissue. Biotinylated goat anti-rabbit IgG was used as secondary antibody. The tissue section was incubated with rabbit anti-ALDH1A1 Antibody (A01392) at a dilution of 1:200 and developed using Strepavidin-Biotin-Complex (SABC) (Catalog # SA1022) with DAB (Catalog # AR1027) as the chromogen.

IHC analysis of ALDH1A1 using anti-ALDH1A1 antibody (A01392).
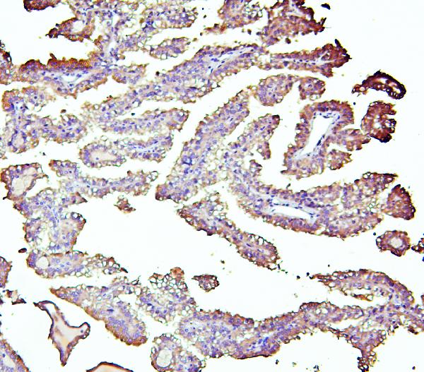
ALDH1A1 was detected in a paraffin-embedded section of human renal cancer tissue. Biotinylated goat anti-rabbit IgG was used as secondary antibody. The tissue section was incubated with rabbit anti-ALDH1A1 Antibody (A01392) at a dilution of 1:200 and developed using Strepavidin-Biotin-Complex (SABC) (Catalog # SA1022) with DAB (Catalog # AR1027) as the chromogen.

IHC analysis of ALDH1A1 using anti-ALDH1A1 antibody (A01392).
ALDH1A1 was detected in a paraffin-embedded section of human renal cancer tissue. Biotinylated goat anti-rabbit IgG was used as secondary antibody. The tissue section was incubated with rabbit anti-ALDH1A1 Antibody (A01392) at a dilution of 1:200 and developed using Strepavidin-Biotin-Complex (SABC) (Catalog # SA1022) with DAB (Catalog # AR1027) as the chromogen.

IHC analysis of ALDH1A1 using anti-ALDH1A1 antibody (A01392).
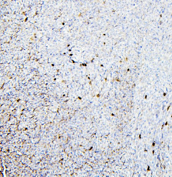
ALDH1A1 was detected in a paraffin-embedded section of mouse gaster tissue. Biotinylated goat anti-rabbit IgG was used as secondary antibody. The tissue section was incubated with rabbit anti-ALDH1A1 Antibody (A01392) at a dilution of 1:200 and developed using Strepavidin-Biotin-Complex (SABC) (Catalog # SA1022) with DAB (Catalog # AR1027) as the chromogen.

IHC analysis of ALDH1A1 using anti-ALDH1A1 antibody (A01392).
ALDH1A1 was detected in a paraffin-embedded section of rat gaster tissue. Biotinylated goat anti-rabbit IgG was used as secondary antibody. The tissue section was incubated with rabbit anti-ALDH1A1 Antibody (A01392) at a dilution of 1:200 and developed using Strepavidin-Biotin-Complex (SABC) (Catalog # SA1022) with DAB (Catalog # AR1027) as the chromogen.

ICC/IF analysis of ALDH1A1 using anti- ALDH1A1 antibody (A01392).
ALDH1A1 was detected in immunocytochemical section of A549 cell. Enzyme antigen retrieval was performed using IHC enzyme antigen retrieval reagent (AR0022) . Fluoro488 Conjugated Goat Anti-Rabbit IgG (BA1127) was used as secondary antibody The section was counterstained with DAPI. Visualize using a fluorescence microscope and filter sets appropriate for the label used.

ICC/IF analysis of ALDH1A1 using anti- ALDH1A1 antibody (A01392).
ALDH1A1 was detected in immunocytochemical section of A431 cell. Enzyme antigen retrieval was performed using IHC enzyme antigen retrieval reagent (AR0022) Fluoro488 Conjugated Goat Anti-Rabbit IgG (BA1127) was used as secondary antibody The section was counterstained with DAPI. Visualize using a fluorescence microscope and filter sets appropriate for the label used.

Flow Cytometry analysis of HepG2 cells using anti-ALDH1A1 antibody (A01392).
Overlay histogram showing HepG2 cells stained with A01392 (Blue line). Fluoro®488 conjugated goat anti-rabbit IgG (BA1127, 1:100) was used as secondary antibody . Isotype control antibody (Green line) was rabbit IgG (1:100) used under the same conditions. Unlabelled sample (Red line) was also used as a control.

Flow Cytometry analysis of HL-60 cells using anti-ALDH1A1 antibody (A01392).
Overlay histogram showing HL-60 cells stained with A01392 (Blue line).Fluoro®488 conjugated goat anti-rabbit IgG (BA1127, 1:100) was used as secondary antibody . Isotype control antibody (Green line) was rabbit IgG (1:100) used under the same conditions. Unlabelled sample (Red line) was also used as a control.

Western blot analysis of anti-ALDH1A1 antibody (A01392). The sample well of each lane was loaded with 30 ug of sample under reducing conditions.
Lane 1: human hepatocellular carcinoma tumor tissue (HCCT) lysates,
Lane 2: human hepatocellular carcinoma paracancerous tissue (HCCP) lysates.
Lane 3: human HepG2 whole cell lysates,
Lane 4: human A549 whole cell lysates,
Lane 5: rat liver tissue lysates,
Lane 6: rat kidney tissue lysates,
Lane 7: mouse lung tissue lysates.
After electrophoresis, proteins were transferred to a membrane. Then the membrane was incubated with rabbit anti-ALDH1A1 antigen affinity purified polyclonal antibody (A01392) and probed with a goat anti-rabbit IgG-HRP secondary antibody (Catalog # BA1054). The signal is developed using ECL Plus Western Blotting Substrate (Catalog # AR1197). A specific band was detected for ALDH1A1 at approximately 55 kDa. The expected band size for ALDH1A1 is at 55 kDa.

IHC analysis of ALDH1A1 using anti-ALDH1A1 antibody (A01392).
ALDH1A1 was detected in a paraffin-embedded section of human mammary cancer tissue. Biotinylated goat anti-rabbit IgG was used as secondary antibody. The tissue section was incubated with rabbit anti-ALDH1A1 Antibody (A01392) at a dilution of 1:200 and developed using Strepavidin-Biotin-Complex (SABC) (Catalog # SA1022) with DAB (Catalog # AR1027) as the chromogen.

IHC analysis of ALDH1A1 using anti-ALDH1A1 antibody (A01392).
ALDH1A1 was detected in a paraffin-embedded section of human renal cancer tissue. Biotinylated goat anti-rabbit IgG was used as secondary antibody. The tissue section was incubated with rabbit anti-ALDH1A1 Antibody (A01392) at a dilution of 1:200 and developed using Strepavidin-Biotin-Complex (SABC) (Catalog # SA1022) with DAB (Catalog # AR1027) as the chromogen.

IHC analysis of ALDH1A1 using anti-ALDH1A1 antibody (A01392).
ALDH1A1 was detected in a paraffin-embedded section of human renal cancer tissue. Biotinylated goat anti-rabbit IgG was used as secondary antibody. The tissue section was incubated with rabbit anti-ALDH1A1 Antibody (A01392) at a dilution of 1:200 and developed using Strepavidin-Biotin-Complex (SABC) (Catalog # SA1022) with DAB (Catalog # AR1027) as the chromogen.

IHC analysis of ALDH1A1 using anti-ALDH1A1 antibody (A01392).
ALDH1A1 was detected in a paraffin-embedded section of mouse gaster tissue. Biotinylated goat anti-rabbit IgG was used as secondary antibody. The tissue section was incubated with rabbit anti-ALDH1A1 Antibody (A01392) at a dilution of 1:200 and developed using Strepavidin-Biotin-Complex (SABC) (Catalog # SA1022) with DAB (Catalog # AR1027) as the chromogen.

IHC analysis of ALDH1A1 using anti-ALDH1A1 antibody (A01392).
ALDH1A1 was detected in a paraffin-embedded section of rat gaster tissue. Biotinylated goat anti-rabbit IgG was used as secondary antibody. The tissue section was incubated with rabbit anti-ALDH1A1 Antibody (A01392) at a dilution of 1:200 and developed using Strepavidin-Biotin-Complex (SABC) (Catalog # SA1022) with DAB (Catalog # AR1027) as the chromogen.

ICC/IF analysis of ALDH1A1 using anti- ALDH1A1 antibody (A01392).
ALDH1A1 was detected in immunocytochemical section of A549 cell. Enzyme antigen retrieval was performed using IHC enzyme antigen retrieval reagent (AR0022) . Fluoro488 Conjugated Goat Anti-Rabbit IgG (BA1127) was used as secondary antibody The section was counterstained with DAPI. Visualize using a fluorescence microscope and filter sets appropriate for the label used.

ICC/IF analysis of ALDH1A1 using anti- ALDH1A1 antibody (A01392).
ALDH1A1 was detected in immunocytochemical section of A431 cell. Enzyme antigen retrieval was performed using IHC enzyme antigen retrieval reagent (AR0022) Fluoro488 Conjugated Goat Anti-Rabbit IgG (BA1127) was used as secondary antibody The section was counterstained with DAPI. Visualize using a fluorescence microscope and filter sets appropriate for the label used.

Flow Cytometry analysis of HepG2 cells using anti-ALDH1A1 antibody (A01392).
Overlay histogram showing HepG2 cells stained with A01392 (Blue line). Fluoro®488 conjugated goat anti-rabbit IgG (BA1127, 1:100) was used as secondary antibody . Isotype control antibody (Green line) was rabbit IgG (1:100) used under the same conditions. Unlabelled sample (Red line) was also used as a control.

Flow Cytometry analysis of HL-60 cells using anti-ALDH1A1 antibody (A01392).
Overlay histogram showing HL-60 cells stained with A01392 (Blue line).Fluoro®488 conjugated goat anti-rabbit IgG (BA1127, 1:100) was used as secondary antibody . Isotype control antibody (Green line) was rabbit IgG (1:100) used under the same conditions. Unlabelled sample (Red line) was also used as a control.











