| Western blot (WB): | 1:500-2000 |
| Immunohistochemistry (IHC): | 1:50-400 |
| Immunocytochemistry/Immunofluorescence (ICC/IF): | 1:50-400 |
| Flow Cytometry (Fixed): | 1:50-200 |
| (Boiling the paraffin sections in 10mM citrate buffer,pH6.0,or PH8.0 EDTA repair liquid for 20 mins is required for the staining of formalin/paraffin sections.) Optimal working dilutions must be determined by end user. | |

Western blot analysis of YY1 using anti-YY1 antibody (M00833-3). The sample well of each lane was loaded with 30 ug of sample under reducing conditions.
Lane 1: Caco-2 whole cell lysates,
Lane 2: SW620 whole cell lysates,
Lane 3: MDA-MB-453 whole cell lysates,
Lane 4: PC-3 whole cell lysates,
Lane 5: rat thymus tissue lysates,
Lane 6: mouse thymus tissue lysates.
After electrophoresis, proteins were transferred to a membrane. Then the membrane was incubated with mouse anti-YY1 antigen affinity purified monoclonal antibody (M00833-3) at a dilution of 1:1000 and probed with a goat anti-mouse IgG-HRP secondary antibody (Catalog # BA1050). The signal is developed using ECL Plus Western Blotting Substrate (Catalog # AR1197). A specific band was detected for YY1 at approximately 65 kDa. The expected band size for YY1 is at 45 kDa.

IHC analysis of YY1 using anti-YY1 antibody (M00833-3).
YY1 was detected in a paraffin-embedded section of human thyroid cancer tissue. Biotinylated goat anti-mouse IgG was used as secondary antibody. The tissue section was incubated with mouse anti-YY1 Antibody (M00833-3) at a dilution of 1:200 and developed using Strepavidin-Biotin-Complex (SABC) (Catalog # SA1021) with DAB (Catalog # AR1027) as the chromogen.

IHC analysis of YY1 using anti-YY1 antibody (M00833-3).
YY1 was detected in a paraffin-embedded section of human Laryngeal squamous cell carcinomas tissue. Biotinylated goat anti-mouse IgG was used as secondary antibody. The tissue section was incubated with mouse anti-YY1 Antibody (M00833-3) at a dilution of 1:200 and developed using Strepavidin-Biotin-Complex (SABC) (Catalog # SA1021) with DAB (Catalog # AR1027) as the chromogen.

IHC analysis of YY1 using anti-YY1 antibody (M00833-3).
YY1 was detected in a paraffin-embedded section of human ovarian serous cancer tissue. Biotinylated goat anti-mouse IgG was used as secondary antibody. The tissue section was incubated with mouse anti-YY1 Antibody (M00833-3) at a dilution of 1:200 and developed using Strepavidin-Biotin-Complex (SABC) (Catalog # SA1021) with DAB (Catalog # AR1027) as the chromogen.

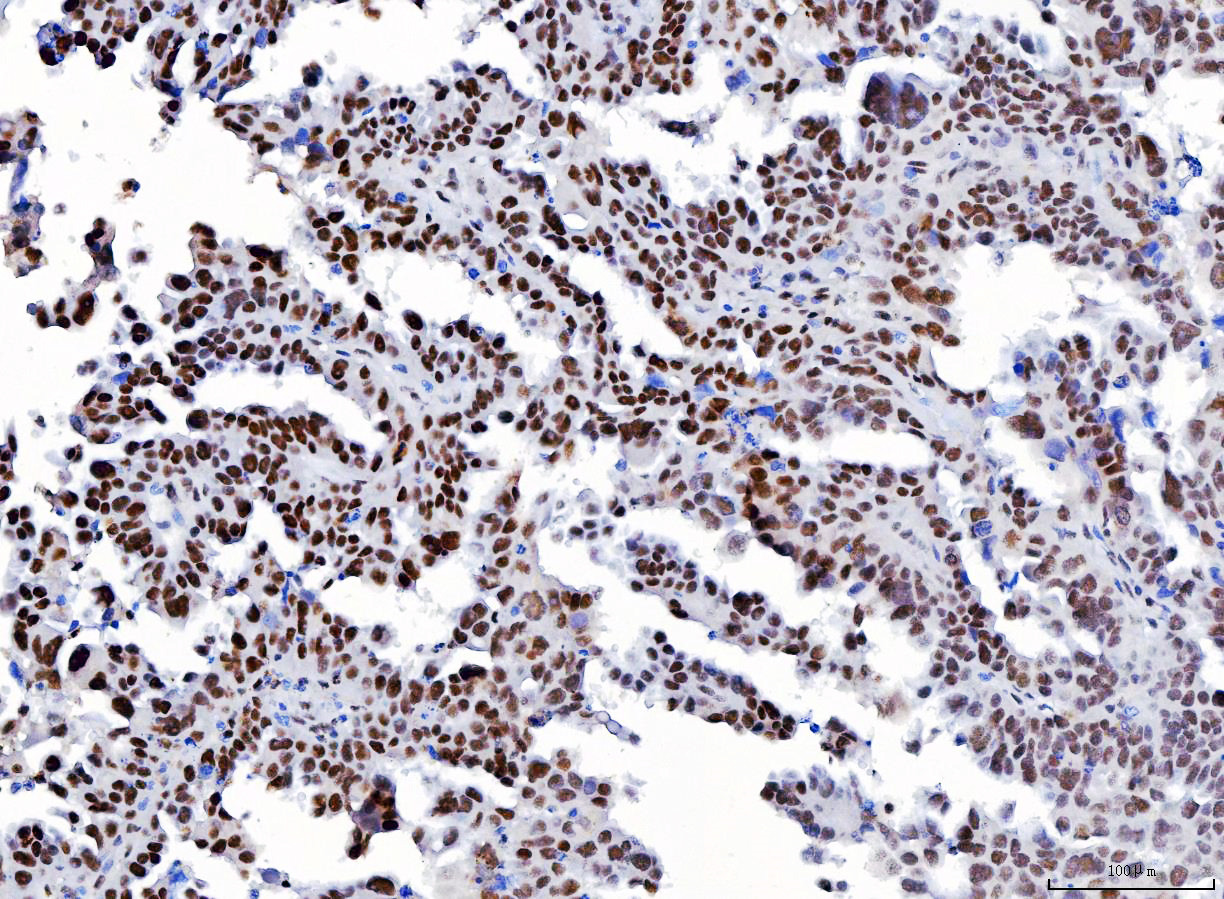
IHC analysis of YY1 using anti-YY1 antibody (M00833-3).
YY1 was detected in a paraffin-embedded section of human Pancreatic Ductal Adenocarcinoma tissue. Biotinylated goat anti-mouse IgG was used as secondary antibody. The tissue section was incubated with mouse anti-YY1 Antibody (M00833-3) at a dilution of 1:200 and developed using Strepavidin-Biotin-Complex (SABC) (Catalog # SA1021) with DAB (Catalog # AR1027) as the chromogen.

IHC analysis of YY1 using anti-YY1 antibody (M00833-3).
YY1 was detected in a paraffin-embedded section of human Serous adenocarcinoma of ovary tissue. Biotinylated goat anti-mouse IgG was used as secondary antibody. The tissue section was incubated with mouse anti-YY1 Antibody (M00833-3) at a dilution of 1:200 and developed using Strepavidin-Biotin-Complex (SABC) (Catalog # SA1021) with DAB (Catalog # AR1027) as the chromogen.

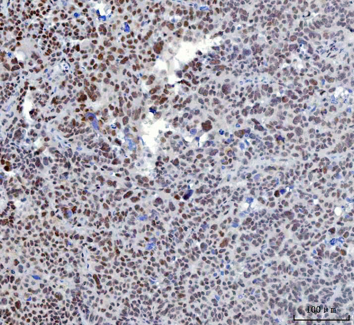
IHC analysis of YY1 using anti-YY1 antibody (M00833-3).
YY1 was detected in a paraffin-embedded section of muscular layer of a colonic adenocarcinoma tissue. Biotinylated goat anti-mouse IgG was used as secondary antibody. The tissue section was incubated with mouse anti-YY1 Antibody (M00833-3) at a dilution of 1:200 and developed using Strepavidin-Biotin-Complex (SABC) (Catalog # SA1021) with DAB (Catalog # AR1027) as the chromogen.

ICC/IF analysis of YY1 using anti-YY1 antibody (M00833-3).
YY1 was detected in an immunocytochemical section of T-47D cells. The section was incubated with mouse anti-YY1 Antibody (M00833-3) at a dilution of 1:100. Fluoro594-conjugated Anti-mouse IgG Secondary Antibody (red)(Catalog#BA1141) was used as secondary antibody. The section was counterstained with DAPI (Catalog # AR1176) (Blue).

Flow Cytometry analysis of A431 cells using anti-YY1 antibody (M00833-3).
Overlay histogram showing A431 cells stained with M00833-3 (Blue line). To facilitate intracellular staining, cells were fixed with 4% paraformaldehyde and permeabilized with permeabilization buffer. The cells were blocked with 10% normal goat serum. And then incubated with mouse anti-YY1 Antibody (M00833-3) at 1:100 dilution for 30 min at 20°C. Fluoro488 conjugated goat anti-mouse IgG (BA1126) was used as secondary antibody at 1:100 dilution for 30 minutes at 20°C. Isotype control antibody (Green line) was mouse IgG at 1:100 dilution used under the same conditions. Unlabelled sample without incubation with primary antibody and secondary antibody (Red line) was used as a blank control.

Western blot analysis of YY1 using anti-YY1 antibody (M00833-3). The sample well of each lane was loaded with 30 ug of sample under reducing conditions.
Lane 1: Caco-2 whole cell lysates,
Lane 2: SW620 whole cell lysates,
Lane 3: MDA-MB-453 whole cell lysates,
Lane 4: PC-3 whole cell lysates,
Lane 5: rat thymus tissue lysates,
Lane 6: mouse thymus tissue lysates.
After electrophoresis, proteins were transferred to a membrane. Then the membrane was incubated with mouse anti-YY1 antigen affinity purified monoclonal antibody (M00833-3) at a dilution of 1:1000 and probed with a goat anti-mouse IgG-HRP secondary antibody (Catalog # BA1050). The signal is developed using ECL Plus Western Blotting Substrate (Catalog # AR1197). A specific band was detected for YY1 at approximately 65 kDa. The expected band size for YY1 is at 45 kDa.

IHC analysis of YY1 using anti-YY1 antibody (M00833-3).
YY1 was detected in a paraffin-embedded section of human thyroid cancer tissue. Biotinylated goat anti-mouse IgG was used as secondary antibody. The tissue section was incubated with mouse anti-YY1 Antibody (M00833-3) at a dilution of 1:200 and developed using Strepavidin-Biotin-Complex (SABC) (Catalog # SA1021) with DAB (Catalog # AR1027) as the chromogen.

IHC analysis of YY1 using anti-YY1 antibody (M00833-3).
YY1 was detected in a paraffin-embedded section of human Laryngeal squamous cell carcinomas tissue. Biotinylated goat anti-mouse IgG was used as secondary antibody. The tissue section was incubated with mouse anti-YY1 Antibody (M00833-3) at a dilution of 1:200 and developed using Strepavidin-Biotin-Complex (SABC) (Catalog # SA1021) with DAB (Catalog # AR1027) as the chromogen.

IHC analysis of YY1 using anti-YY1 antibody (M00833-3).
YY1 was detected in a paraffin-embedded section of human ovarian serous cancer tissue. Biotinylated goat anti-mouse IgG was used as secondary antibody. The tissue section was incubated with mouse anti-YY1 Antibody (M00833-3) at a dilution of 1:200 and developed using Strepavidin-Biotin-Complex (SABC) (Catalog # SA1021) with DAB (Catalog # AR1027) as the chromogen.

IHC analysis of YY1 using anti-YY1 antibody (M00833-3).
YY1 was detected in a paraffin-embedded section of human Pancreatic Ductal Adenocarcinoma tissue. Biotinylated goat anti-mouse IgG was used as secondary antibody. The tissue section was incubated with mouse anti-YY1 Antibody (M00833-3) at a dilution of 1:200 and developed using Strepavidin-Biotin-Complex (SABC) (Catalog # SA1021) with DAB (Catalog # AR1027) as the chromogen.

IHC analysis of YY1 using anti-YY1 antibody (M00833-3).
YY1 was detected in a paraffin-embedded section of human Serous adenocarcinoma of ovary tissue. Biotinylated goat anti-mouse IgG was used as secondary antibody. The tissue section was incubated with mouse anti-YY1 Antibody (M00833-3) at a dilution of 1:200 and developed using Strepavidin-Biotin-Complex (SABC) (Catalog # SA1021) with DAB (Catalog # AR1027) as the chromogen.

IHC analysis of YY1 using anti-YY1 antibody (M00833-3).
YY1 was detected in a paraffin-embedded section of muscular layer of a colonic adenocarcinoma tissue. Biotinylated goat anti-mouse IgG was used as secondary antibody. The tissue section was incubated with mouse anti-YY1 Antibody (M00833-3) at a dilution of 1:200 and developed using Strepavidin-Biotin-Complex (SABC) (Catalog # SA1021) with DAB (Catalog # AR1027) as the chromogen.

ICC/IF analysis of YY1 using anti-YY1 antibody (M00833-3).
YY1 was detected in an immunocytochemical section of T-47D cells. The section was incubated with mouse anti-YY1 Antibody (M00833-3) at a dilution of 1:100. Fluoro594-conjugated Anti-mouse IgG Secondary Antibody (red)(Catalog#BA1141) was used as secondary antibody. The section was counterstained with DAPI (Catalog # AR1176) (Blue).

Flow Cytometry analysis of A431 cells using anti-YY1 antibody (M00833-3).
Overlay histogram showing A431 cells stained with M00833-3 (Blue line). To facilitate intracellular staining, cells were fixed with 4% paraformaldehyde and permeabilized with permeabilization buffer. The cells were blocked with 10% normal goat serum. And then incubated with mouse anti-YY1 Antibody (M00833-3) at 1:100 dilution for 30 min at 20°C. Fluoro488 conjugated goat anti-mouse IgG (BA1126) was used as secondary antibody at 1:100 dilution for 30 minutes at 20°C. Isotype control antibody (Green line) was mouse IgG at 1:100 dilution used under the same conditions. Unlabelled sample without incubation with primary antibody and secondary antibody (Red line) was used as a blank control.








