| Western blot (WB): | 1:500-2000 |
| Immunohistochemistry (IHC): | 1:50-400 |
| Immunofluorescence (IF): | 1:50-400 |
| Flow Cytometry (Fixed): | 1:50-200 |
| (Boiling the paraffin sections in 10mM citrate buffer,pH6.0,or PH8.0 EDTA repair liquid for 20 mins is required for the staining of formalin/paraffin sections.) Optimal working dilutions must be determined by end user. | |

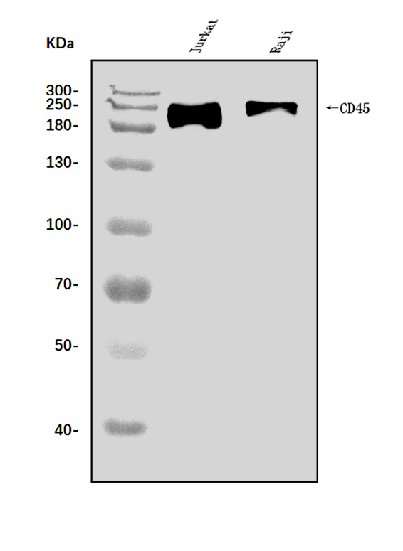
Western blot analysis of CD45/PTPRC using anti-CD45/PTPRC antibody (M00555-5). The sample well of each lane was loaded with 30 ug of sample under reducing conditions.
Lane 1: Jurkat tissue lysates,
Lane 2: Raji tissue lysates.
After electrophoresis, proteins were transferred to a membrane. Then the membrane was incubated with mouse anti-CD45/PTPRC antigen affinity purified monoclonal antibody (M00555-5) at a dilution of 1:1000 and probed with a goat anti-mouse IgG-HRP secondary antibody (Catalog # BA1050). The signal is developed using ECL Plus Western Blotting Substrate (Catalog # AR1197). A specific band was detected for CD45/PTPRC at approximately 180-250 kDa. The expected band size for CD45/PTPRC is at 147 kDa.

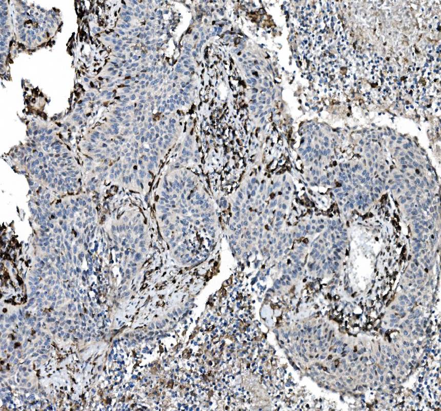
IHC analysis of CD45/PTPRC using anti-CD45/PTPRC antibody (M00555-5).
CD45/PTPRC was detected in a paraffin-embedded section of human lung cancer tissue. The tissue section was incubated with mouse anti-CD45/PTPRC Antibody (M00555-5) at a dilution of 1:200 and developed using HRP Conjugated mouse IgG Super Vision Assay Kit (Catalog # SV0001) with DAB (Catalog # AR1027) as the chromogen.

IF analysis using anti- CD45/PTPRC Antibody (M00555-5).detected in paraffin-embedded section of human tonsli tissues. The tissue section were stained using the Fluoro488 conjugated Anti-mouse IgG Secondary Antibody ((green)(Catalog # BA1126) and counterstained with DAPI (blue).

Flow Cytometry analysis of Raji cells using anti-CD45/PTPRC antibody (M00555-5).
Overlay histogram showing Raji cells stained with M00555-5 (Blue line). The cells were fixed with 4% paraformaldehyde and blocked with 10% normal goat serum. And then incubated with mouse anti-CD45/PTPRC Antibody (M00555-5) at 1:100 dilution for 30 min at 20°C. Fluoro488 conjugated goat anti-mouse IgG (BA1126) was used as secondary antibody at 1:100 dilution for 30 minutes at 20°C. Isotype control antibody (Green line) was mouse IgG at 1:100 dilution used under the same conditions. Unlabelled sample without incubation with primary antibody and secondary antibody (Red line) was used as a blank control.

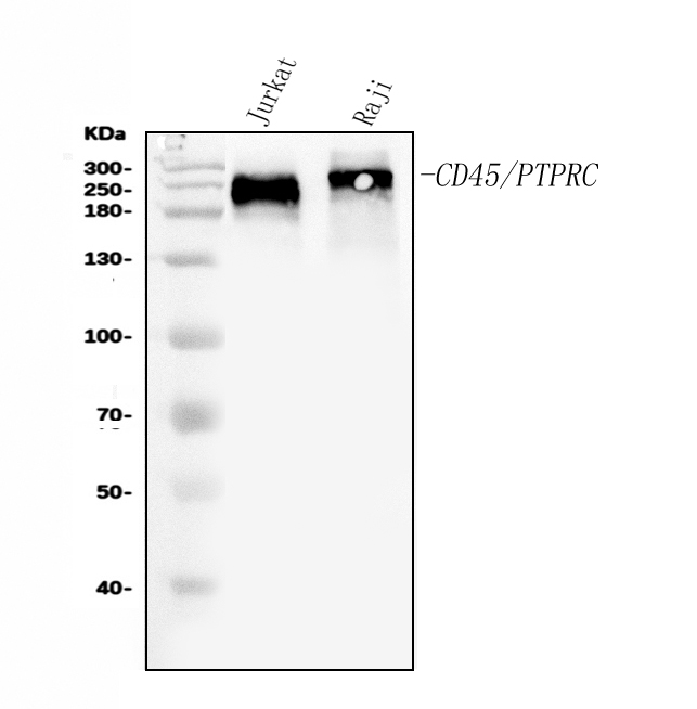
Western blot analysis of CD45/PTPRC using anti-CD45/PTPRC antibody (M00555-5). The sample well of each lane was loaded with 30 ug of sample under reducing conditions.
Lane 1: Jurkat tissue lysates,
Lane 2: Raji tissue lysates.
After electrophoresis, proteins were transferred to a membrane. Then the membrane was incubated with mouse anti-CD45/PTPRC antigen affinity purified monoclonal antibody (M00555-5) at a dilution of 1:1000 and probed with a goat anti-mouse IgG-HRP secondary antibody (Catalog # BA1050). The signal is developed using ECL Plus Western Blotting Substrate (Catalog # AR1197). A specific band was detected for CD45/PTPRC at approximately 180-250 kDa. The expected band size for CD45/PTPRC is at 147 kDa.

IHC analysis of CD45/PTPRC using anti-CD45/PTPRC antibody (M00555-5).
CD45/PTPRC was detected in a paraffin-embedded section of human lung cancer tissue. The tissue section was incubated with mouse anti-CD45/PTPRC Antibody (M00555-5) at a dilution of 1:200 and developed using HRP Conjugated mouse IgG Super Vision Assay Kit (Catalog # SV0001) with DAB (Catalog # AR1027) as the chromogen.

IF analysis using anti- CD45/PTPRC Antibody (M00555-5).detected in paraffin-embedded section of human tonsli tissues. The tissue section were stained using the Fluoro488 conjugated Anti-mouse IgG Secondary Antibody ((green)(Catalog # BA1126) and counterstained with DAPI (blue).

Flow Cytometry analysis of Raji cells using anti-CD45/PTPRC antibody (M00555-5).
Overlay histogram showing Raji cells stained with M00555-5 (Blue line). The cells were fixed with 4% paraformaldehyde and blocked with 10% normal goat serum. And then incubated with mouse anti-CD45/PTPRC Antibody (M00555-5) at 1:100 dilution for 30 min at 20°C. Fluoro488 conjugated goat anti-mouse IgG (BA1126) was used as secondary antibody at 1:100 dilution for 30 minutes at 20°C. Isotype control antibody (Green line) was mouse IgG at 1:100 dilution used under the same conditions. Unlabelled sample without incubation with primary antibody and secondary antibody (Red line) was used as a blank control.



