| Western blot (WB): | 1:500-2000 |
| Immunohistochemistry (IHC): | 1:50-400 |
| Immunofluorescence (IF): | 1:50-400 |
| Flow Cytometry (Fixed): | 1:50-200 |
| Enzyme linked immunosorbent assay (ELISA): | 1:100-1000 |
| (Boiling the paraffin sections in 10mM citrate buffer,pH6.0,or PH8.0 EDTA repair liquid for 20 mins is required for the staining of formalin/paraffin sections.) Optimal working dilutions must be determined by end user. | |

Western blot analysis of CD45/PTPRC using anti-CD45/PTPRC antibody (A00555-3). The sample well of each lane was loaded with 30 ug of sample under reducing conditions.
Lane 1: human Jurkat whole cell lysates,
Lane 2: human Raji whole cell lysates.
After electrophoresis, proteins were transferred to a membrane. Then the membrane was incubated with rabbit anti-CD45/PTPRC antigen affinity purified polyclonal antibody (A00555-3) at a dilution of 1:1000 and probed with a goat anti-rabbit IgG-HRP secondary antibody (Catalog # BA1054). The signal is developed using ECL Plus Western Blotting Substrate (Catalog # AR1197). A specific band was detected for CD45/PTPRC at approximately 180-250 kDa. The expected band size for CD45/PTPRC is at 147 kDa.

Flow Cytometry analysis of THP-1 cells using anti-CD45/PTPRC antibody (A00555-3).
Overlay histogram showing THP-1 cells stained with A00555-3 (Blue line). The cells were fixed with 4% paraformaldehyde and blocked with 10% normal goat serum. And then incubated with rabbit anti-CD45/PTPRC Antibody (A00555-3) at 1:100 dilution for 30 min at 20°C. Fluoro488 conjugated goat anti-rabbit IgG (BA1127) was used as secondary antibody at 1:100 dilution for 30 minutes at 20°C. Isotype control antibody (Green line) was rabbit IgG at 1:100 dilution used under the same conditions. Unlabelled sample without incubation with primary antibody and secondary antibody (Red line) was used as a blank control.

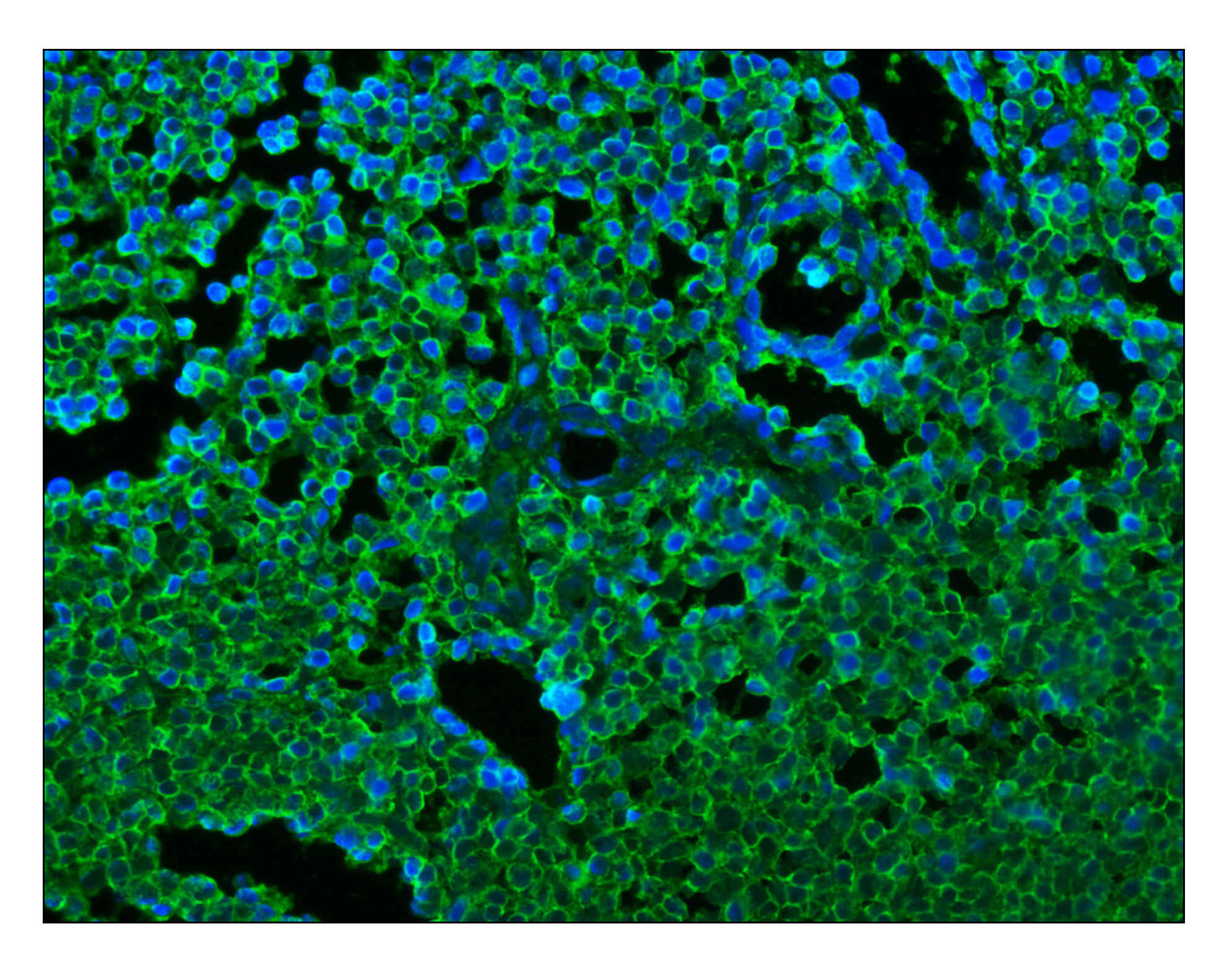
IF analysis using anti- PTPRC antibody (A00555-3). detected in paraffin-embedded section of human tonsil tissue. The tissue section were stained using the Fluoro488-conjugated Anti-rabbit IgG Secondary Antibody (green) (Catalog # BA1127) and counterstained with DAPI (blue).

Western blot analysis of CD45/PTPRC using anti-CD45/PTPRC antibody (A00555-3). The sample well of each lane was loaded with 30 ug of sample under reducing conditions.
Lane 1: human Jurkat whole cell lysates,
Lane 2: human Raji whole cell lysates.
After electrophoresis, proteins were transferred to a membrane. Then the membrane was incubated with rabbit anti-CD45/PTPRC antigen affinity purified polyclonal antibody (A00555-3) at a dilution of 1:1000 and probed with a goat anti-rabbit IgG-HRP secondary antibody (Catalog # BA1054). The signal is developed using ECL Plus Western Blotting Substrate (Catalog # AR1197). A specific band was detected for CD45/PTPRC at approximately 180-250 kDa. The expected band size for CD45/PTPRC is at 147 kDa.


Flow Cytometry analysis of THP-1 cells using anti-CD45/PTPRC antibody (A00555-3).
Overlay histogram showing THP-1 cells stained with A00555-3 (Blue line). The cells were fixed with 4% paraformaldehyde and blocked with 10% normal goat serum. And then incubated with rabbit anti-CD45/PTPRC Antibody (A00555-3) at 1:100 dilution for 30 min at 20°C. Fluoro488 conjugated goat anti-rabbit IgG (BA1127) was used as secondary antibody at 1:100 dilution for 30 minutes at 20°C. Isotype control antibody (Green line) was rabbit IgG at 1:100 dilution used under the same conditions. Unlabelled sample without incubation with primary antibody and secondary antibody (Red line) was used as a blank control.

IF analysis using anti- PTPRC antibody (A00555-3). detected in paraffin-embedded section of human tonsil tissue. The tissue section were stained using the Fluoro488-conjugated Anti-rabbit IgG Secondary Antibody (green) (Catalog # BA1127) and counterstained with DAPI (blue).





