| Western blot (WB): | 1:500-2000 |
| Immunohistochemistry (IHC): | 1:50-200 |

Western blot analysis of anti-MCT1/SLC16A1 antibody (BM5736). The sample well of each lane was loaded with 30 ug of sample under reducing conditions.
Lane 1: human K562 whole cell lysates,
Lane 2: human A431 whole cell lysates,
Lane 3: human HepG2 whole cell lysates,
Lane 4: human 293T whole cell lysates,
Lane 5: human PC-3 whole cell lysates,
Lane 6: human SIHA whole cell lysates.
After electrophoresis, proteins were transferred to a membrane. Then the membrane was incubated with rabbit anti-MCT1/SLC16A1 antigen affinity purified monoclonal antibody (BM5736) at a dilution of 1:1000 and probed with a goat anti-rabbit IgG-HRP secondary antibody (Catalog # BA1054). The signal is developed using ECL Plus Western Blotting Substrate (Catalog # AR1197). A specific band was detected for MCT1/SLC16A1 at approximately 50 kDa. The expected band size for MCT1/SLC16A1 is at 54 kDa.

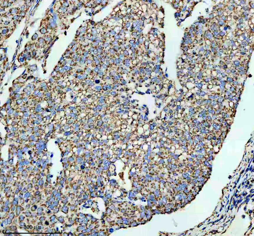
IHC analysis of MCT1/SLC16A1 using anti-MCT1/SLC16A1 antibody (BM5736) .
MCT1/SLC16A1 was detected in a paraffin-embedded section of human breast cancer tissue. The tissue section was incubated with rabbit anti-MCT1/SLC16A1 Antibody (BM5736) at a dilution of 1:200 and developed using HRP Conjugated Rabbit IgG Super Vision Assay Kit (Catalog # SV0002) with DAB (Catalog # AR1027) as the chromogen.

IHC analysis of MCT1/SLC16A1 using anti-MCT1/SLC16A1 antibody (BM5736) .
MCT1/SLC16A1 was detected in a paraffin-embedded section of human cervical cancer tissue. The tissue section was incubated with rabbit anti-MCT1/SLC16A1 Antibody (BM5736) at a dilution of 1:200 and developed using HRP Conjugated Rabbit IgG Super Vision Assay Kit (Catalog # SV0002) with DAB (Catalog # AR1027) as the chromogen.

Western blot analysis of anti-MCT1/SLC16A1 antibody (BM5736). The sample well of each lane was loaded with 30 ug of sample under reducing conditions.
Lane 1: human K562 whole cell lysates,
Lane 2: human A431 whole cell lysates,
Lane 3: human HepG2 whole cell lysates,
Lane 4: human 293T whole cell lysates,
Lane 5: human PC-3 whole cell lysates,
Lane 6: human SIHA whole cell lysates.
After electrophoresis, proteins were transferred to a membrane. Then the membrane was incubated with rabbit anti-MCT1/SLC16A1 antigen affinity purified monoclonal antibody (BM5736) at a dilution of 1:1000 and probed with a goat anti-rabbit IgG-HRP secondary antibody (Catalog # BA1054). The signal is developed using ECL Plus Western Blotting Substrate (Catalog # AR1197). A specific band was detected for MCT1/SLC16A1 at approximately 50 kDa. The expected band size for MCT1/SLC16A1 is at 54 kDa.

IHC analysis of MCT1/SLC16A1 using anti-MCT1/SLC16A1 antibody (BM5736) .
MCT1/SLC16A1 was detected in a paraffin-embedded section of human breast cancer tissue. The tissue section was incubated with rabbit anti-MCT1/SLC16A1 Antibody (BM5736) at a dilution of 1:200 and developed using HRP Conjugated Rabbit IgG Super Vision Assay Kit (Catalog # SV0002) with DAB (Catalog # AR1027) as the chromogen.

IHC analysis of MCT1/SLC16A1 using anti-MCT1/SLC16A1 antibody (BM5736) .
MCT1/SLC16A1 was detected in a paraffin-embedded section of human cervical cancer tissue. The tissue section was incubated with rabbit anti-MCT1/SLC16A1 Antibody (BM5736) at a dilution of 1:200 and developed using HRP Conjugated Rabbit IgG Super Vision Assay Kit (Catalog # SV0002) with DAB (Catalog # AR1027) as the chromogen.


