| Western blot (WB): | 1:500-2000 |
| Immunohistochemistry (IHC): | 1:50-200 |
| Flow Cytometry (FCM): | 1:10 |

Western blot analysis of Presenilin 1 expression in Jurkat cell lysate.

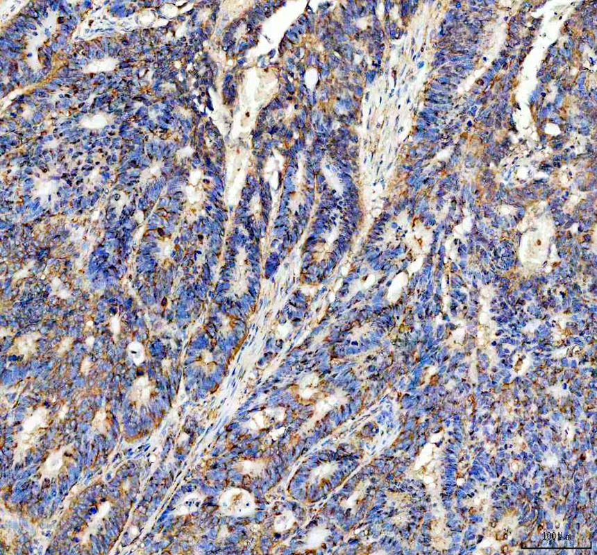
IHC analysis of PSEN1 using anti-PSEN1 antibody (BM5520) .
PSEN1 was detected in a paraffin-embedded section of human stomach cancer tissue. The tissue section was incubated with rabbit anti-PSEN1 Antibody (BM5520) at a dilution of 1:200 and developed using HRP Conjugated Rabbit IgG Super Vision Assay Kit (Catalog # SV0002) with DAB (Catalog # AR1027) as the chromogen.

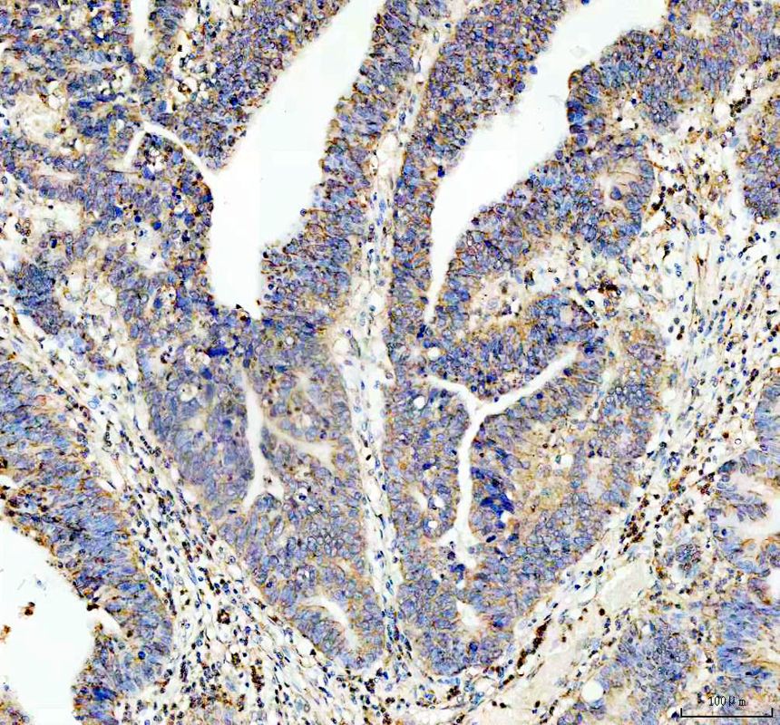
IHC analysis of PSEN1 using anti-PSEN1 antibody (BM5520) .
PSEN1 was detected in a paraffin-embedded section of human stomach cancer tissue. The tissue section was incubated with rabbit anti-PSEN1 Antibody (BM5520) at a dilution of 1:200 and developed using HRP Conjugated Rabbit IgG Super Vision Assay Kit (Catalog # SV0002) with DAB (Catalog # AR1027) as the chromogen.

Western blot analysis of Presenilin 1 expression in Jurkat cell lysate.

IHC analysis of PSEN1 using anti-PSEN1 antibody (BM5520) .
PSEN1 was detected in a paraffin-embedded section of human stomach cancer tissue. The tissue section was incubated with rabbit anti-PSEN1 Antibody (BM5520) at a dilution of 1:200 and developed using HRP Conjugated Rabbit IgG Super Vision Assay Kit (Catalog # SV0002) with DAB (Catalog # AR1027) as the chromogen.

IHC analysis of PSEN1 using anti-PSEN1 antibody (BM5520) .
PSEN1 was detected in a paraffin-embedded section of human stomach cancer tissue. The tissue section was incubated with rabbit anti-PSEN1 Antibody (BM5520) at a dilution of 1:200 and developed using HRP Conjugated Rabbit IgG Super Vision Assay Kit (Catalog # SV0002) with DAB (Catalog # AR1027) as the chromogen.




