| Western blot (WB): | 1:500-2000 |
| Immunohistochemistry (IHC): | 1:50-200 |

Western blot analysis of anti-mTOR (Phospho-S2448) antibody (BM4840). The sample well of each lane was loaded with 30 ug of sample under reducing conditions.
Lane 1: human HepG2 whole cell lysates,
Lane 2: human PC-3 whole cell lysates,
Lane 3: human MCF-7 whole cell lysates,
Lane 4: rat brain tissue lysates,
Lane 5: mouse brain tissue lysates.
After electrophoresis, proteins were transferred to a membrane. Then the membrane was incubated with rabbit anti-mTOR (Phospho-S2448) antigen affinity purified monoclonal antibody (BM4840) at a dilution of 1:1000 and probed with a goat anti-rabbit IgG-HRP secondary antibody (Catalog # BA1054). The signal is developed using ECL Plus Western Blotting Substrate (Catalog # AR1197). A specific band was detected for mTOR (Phospho-S2448) at approximately 289 kDa. The expected band size for mTOR (Phospho-S2448) is at 289 kDa.

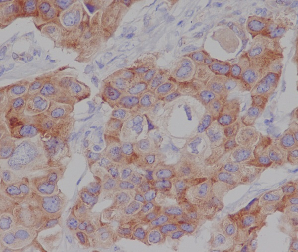
Immunohistochemical analysis of paraffin-embedded human breast cancer, using Phospho-mTOR (S2448) Antibody.

Western blot analysis of anti-mTOR (Phospho-S2448) antibody (BM4840). The sample well of each lane was loaded with 30 ug of sample under reducing conditions.
Lane 1: human HepG2 whole cell lysates,
Lane 2: human PC-3 whole cell lysates,
Lane 3: human MCF-7 whole cell lysates,
Lane 4: rat brain tissue lysates,
Lane 5: mouse brain tissue lysates.
After electrophoresis, proteins were transferred to a membrane. Then the membrane was incubated with rabbit anti-mTOR (Phospho-S2448) antigen affinity purified monoclonal antibody (BM4840) at a dilution of 1:1000 and probed with a goat anti-rabbit IgG-HRP secondary antibody (Catalog # BA1054). The signal is developed using ECL Plus Western Blotting Substrate (Catalog # AR1197). A specific band was detected for mTOR (Phospho-S2448) at approximately 289 kDa. The expected band size for mTOR (Phospho-S2448) is at 289 kDa.

Immunohistochemical analysis of paraffin-embedded human breast cancer, using Phospho-mTOR (S2448) Antibody.

