| Western blot (WB): | 1:500-2000 |
| Immunohistochemistry (IHC): | 1:50-400 |
| ELISA: | 1:100-1000 |
| (Boiling the paraffin sections in 10mM citrate buffer,pH6.0,or PH8.0 EDTA repair liquid for 20 mins is required for the staining of formalin/paraffin sections.) Optimal working dilutions must be determined by end user. | |

Western blot analysis of mTOR using anti-mTOR antibody (A00003-2). The sample well of each lane was loaded with 30 ug of sample under reducing conditions.
Lane 1: human K562 whole cell lysates,
Lane 2: human HEK293 whole cell lysates,
Lane 3: human HELA whole cell lysates,
Lane 4: monkey COS-7 whole cell lysates,
Lane 5: human A431 whole cell lysates,
Lane 6: human Jurkat whole cell lysates.
After electrophoresis, proteins were transferred to a membrane. Then the membrane was incubated with rabbit anti-mTOR antigen affinity purified polyclonal antibody (A00003-2) at a dilution of 1:1000 and probed with a goat anti-rabbit IgG-HRP secondary antibody (Catalog # BA1054). The signal is developed using ECL Plus Western Blotting Substrate (Catalog # AR1197). A specific band was detected for mTOR at approximately 289 kDa. The expected band size for mTOR is at 289 kDa.

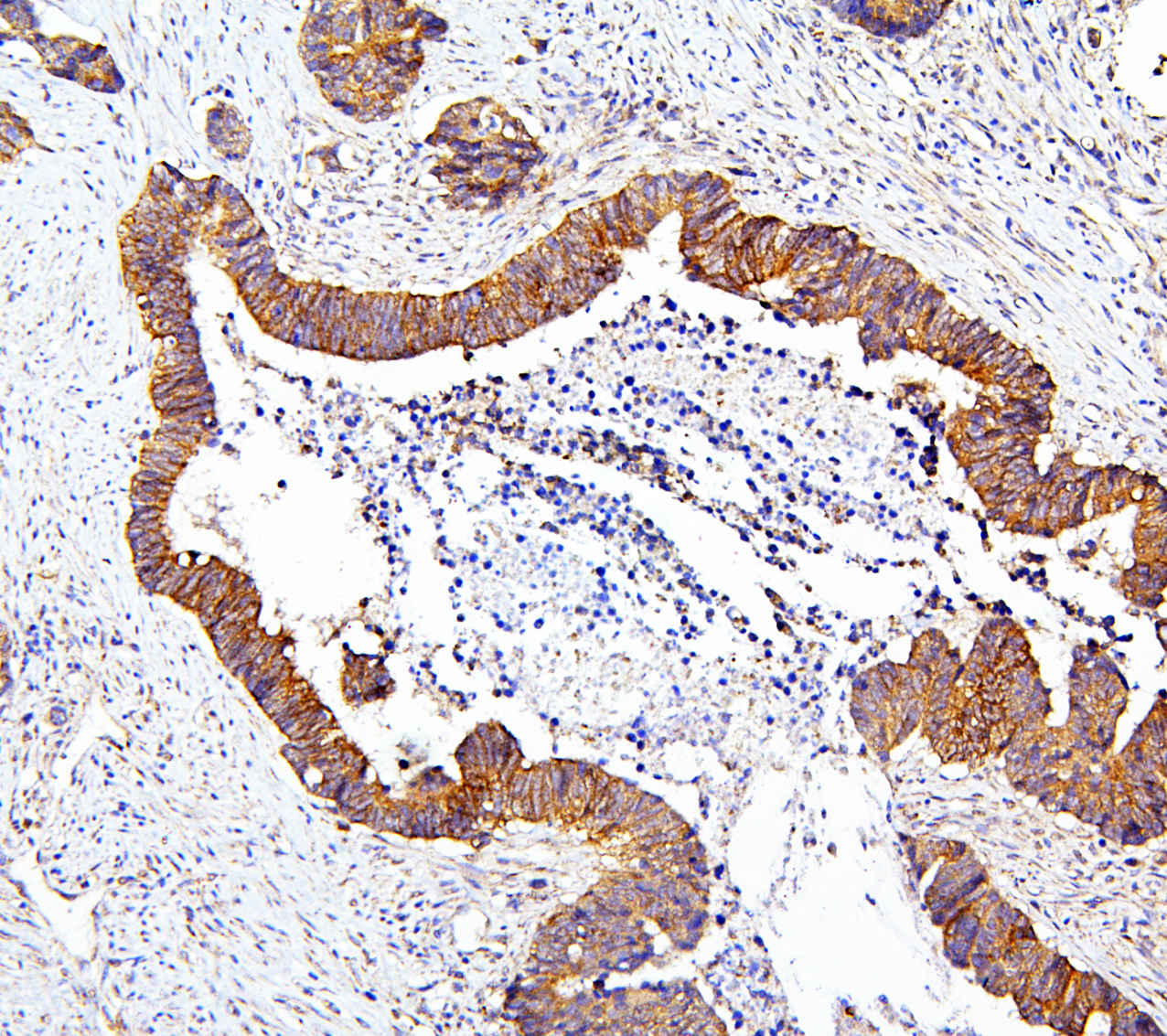
IHC analysis of mTOR using anti-mTOR antibody (A00003-2).
mTOR was detected in a paraffin-embedded section of human colon cancer tissue. Biotinylated goat anti-rabbit IgG was used as secondary antibody. The tissue section was incubated with rabbit anti-mTOR Antibody (A00003-2) at a dilution of 1:200 and developed using Strepavidin-Biotin-Complex (SABC) (Catalog # SA1022) with DAB (Catalog # AR1027) as the chromogen.

Western blot analysis of mTOR using anti-mTOR antibody (A00003-2). The sample well of each lane was loaded with 30 ug of sample under reducing conditions.
Lane 1: human K562 whole cell lysates,
Lane 2: human HEK293 whole cell lysates,
Lane 3: human HELA whole cell lysates,
Lane 4: monkey COS-7 whole cell lysates,
Lane 5: human A431 whole cell lysates,
Lane 6: human Jurkat whole cell lysates.
After electrophoresis, proteins were transferred to a membrane. Then the membrane was incubated with rabbit anti-mTOR antigen affinity purified polyclonal antibody (A00003-2) at a dilution of 1:1000 and probed with a goat anti-rabbit IgG-HRP secondary antibody (Catalog # BA1054). The signal is developed using ECL Plus Western Blotting Substrate (Catalog # AR1197). A specific band was detected for mTOR at approximately 289 kDa. The expected band size for mTOR is at 289 kDa.

IHC analysis of mTOR using anti-mTOR antibody (A00003-2).
mTOR was detected in a paraffin-embedded section of human colon cancer tissue. Biotinylated goat anti-rabbit IgG was used as secondary antibody. The tissue section was incubated with rabbit anti-mTOR Antibody (A00003-2) at a dilution of 1:200 and developed using Strepavidin-Biotin-Complex (SABC) (Catalog # SA1022) with DAB (Catalog # AR1027) as the chromogen.



