| Western blot (WB): | 1:500-2000 |
| Immunohistochemistry (IHC): | 1:50-200 |
| Immunocytochemistry/Immunofluorescence (ICC/IF): | 1:50-200 |
| Flow Cytometry (FCM): | 1:20 |

Western blot analysis of Cyclin E2 expression in HeLa cell lysate.

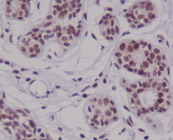
Immunohistochemical analysis of paraffin-embedded human breast carcinoma, using Cyclin E2 Antibody.

Immunofluorescent analysis of Hela cells, using Cyclin E2 Antibody.

Western blot analysis of Cyclin E2 expression in HeLa cell lysate.

Immunohistochemical analysis of paraffin-embedded human breast carcinoma, using Cyclin E2 Antibody.

Immunofluorescent analysis of Hela cells, using Cyclin E2 Antibody.




