| Western blot (WB): | 1:500-2000 |
| Immunohistochemistry (IHC): | 1:50-200 |
| Immunofluorescence (IF): | 1:50-200 |

Western blot analysis of Nestin/NES using anti-Nestin/NES antibody (BM4494). The sample well of each lane was loaded with 30 ug of sample under reducing conditions.
Lane 1: human U251 whole cell lysates,
Lane 2: human SH-SY5Y whole cell lysates,
Lane 3: rat C6 whole cell lysates,
Lane 4: mouse Neuro-2a whole cell lysates.
After electrophoresis, proteins were transferred to a membrane. Then the membrane was incubated with rabbit anti-Nestin/NES antigen affinity purified monoclonal antibody (BM4494) at a dilution of 1:1000 and probed with a goat anti-rabbit IgG-HRP secondary antibody (Catalog # BA1054). The signal is developed using ECL Plus Western Blotting Substrate (Catalog # AR1197). A specific band was detected for Nestin/NES at approximately 270-300 kDa. The expected band size for Nestin/NES is at 177 kDa.

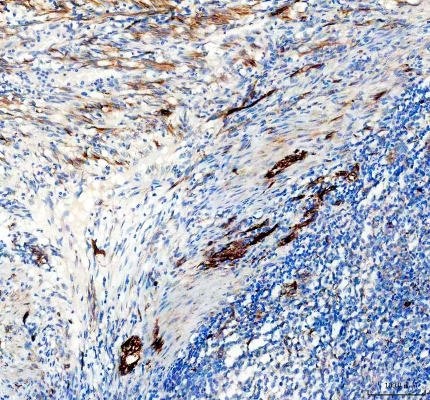
IHC analysis of Nestin/NES using anti-Nestin/NES antibody (BM4494).
Nestin/NES was detected in a paraffin-embedded section of human Diffuse large B-cell lymphoma of the intestine tissue. The tissue section was incubated with rabbit anti-Nestin/NES Antibody (BM4494) at a dilution of 1:200 and developed using HRP Conjugated Rabbit IgG Super Vision Assay Kit (Catalog # SV0002) with DAB (Catalog # AR1027) as the chromogen.

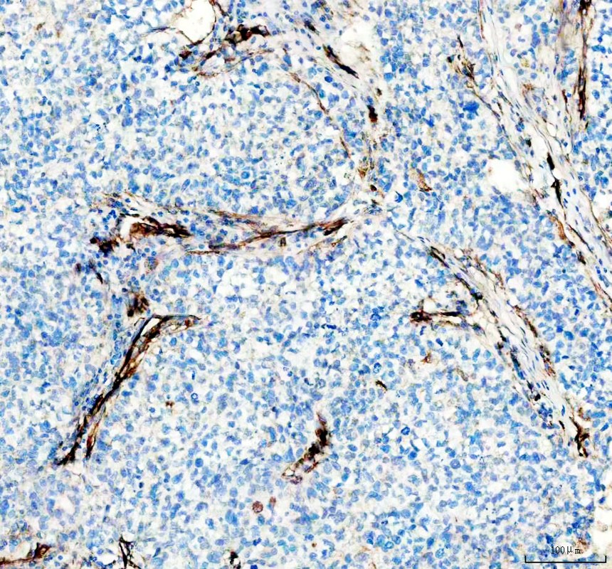
IHC analysis of Nestin/NES using anti-Nestin/NES antibody (BM4494).
Nestin/NES was detected in a paraffin-embedded section of human glioma tissue. The tissue section was incubated with rabbit anti-Nestin/NES Antibody (BM4494) at a dilution of 1:200 and developed using HRP Conjugated Rabbit IgG Super Vision Assay Kit (Catalog # SV0002) with DAB (Catalog # AR1027) as the chromogen.

IHC analysis of Nestin/NES using anti-Nestin/NES antibody (BM4494).
Nestin/NES was detected in a paraffin-embedded section of human non-small cell lung cancer tissue. The tissue section was incubated with rabbit anti-Nestin/NES Antibody (BM4494) at a dilution of 1:200 and developed using HRP Conjugated Rabbit IgG Super Vision Assay Kit (Catalog # SV0002) with DAB (Catalog # AR1027) as the chromogen.

IHC analysis of Nestin/NES using anti-Nestin/NES antibody (BM4494).
Nestin/NES was detected in a paraffin-embedded section of mouse brain tissue. The tissue section was incubated with rabbit anti-Nestin/NES Antibody (BM4494) at a dilution of 1:200 and developed using HRP Conjugated Rabbit IgG Super Vision Assay Kit (Catalog # SV0002) with DAB (Catalog # AR1027) as the chromogen.

IHC analysis of Nestin/NES using anti-Nestin/NES antibody (BM4494).
Nestin/NES was detected in a paraffin-embedded section of rat brain tissue. The tissue section was incubated with rabbit anti-Nestin/NES Antibody (BM4494) at a dilution of 1:200 and developed using HRP Conjugated Rabbit IgG Super Vision Assay Kit (Catalog # SV0002) with DAB (Catalog # AR1027) as the chromogen.

IHC analysis of Nestin/NES using anti-Nestin/NES antibody (BM4494).
Nestin/NES was detected in a paraffin-embedded section of pig brain tissue. The tissue section was incubated with rabbit anti-Nestin/NES Antibody (BM4494) at a dilution of 1:200 and developed using HRP Conjugated Rabbit IgG Super Vision Assay Kit (Catalog # SV0002) with DAB (Catalog # AR1027) as the chromogen.

IF analysis of Nestin/NES using anti-Nestin/NES antibody (BM4494).
Nestin/NES was detected in a paraffin-embedded section of rat brain tissue. The tissue section was incubated with rabbit anti-Nestin/NES Antibody (BM4494) at a dilution of 1:100. Fluoro488-conjugated Anti-rabbit IgG Secondary Antibody (green) (Catalog # BA1127) was used as secondary antibody.

Western blot analysis of Nestin/NES using anti-Nestin/NES antibody (BM4494). The sample well of each lane was loaded with 30 ug of sample under reducing conditions.
Lane 1: human U251 whole cell lysates,
Lane 2: human SH-SY5Y whole cell lysates,
Lane 3: rat C6 whole cell lysates,
Lane 4: mouse Neuro-2a whole cell lysates.
After electrophoresis, proteins were transferred to a membrane. Then the membrane was incubated with rabbit anti-Nestin/NES antigen affinity purified monoclonal antibody (BM4494) at a dilution of 1:1000 and probed with a goat anti-rabbit IgG-HRP secondary antibody (Catalog # BA1054). The signal is developed using ECL Plus Western Blotting Substrate (Catalog # AR1197). A specific band was detected for Nestin/NES at approximately 270-300 kDa. The expected band size for Nestin/NES is at 177 kDa.

IHC analysis of Nestin/NES using anti-Nestin/NES antibody (BM4494).
Nestin/NES was detected in a paraffin-embedded section of human Diffuse large B-cell lymphoma of the intestine tissue. The tissue section was incubated with rabbit anti-Nestin/NES Antibody (BM4494) at a dilution of 1:200 and developed using HRP Conjugated Rabbit IgG Super Vision Assay Kit (Catalog # SV0002) with DAB (Catalog # AR1027) as the chromogen.

IHC analysis of Nestin/NES using anti-Nestin/NES antibody (BM4494).
Nestin/NES was detected in a paraffin-embedded section of human glioma tissue. The tissue section was incubated with rabbit anti-Nestin/NES Antibody (BM4494) at a dilution of 1:200 and developed using HRP Conjugated Rabbit IgG Super Vision Assay Kit (Catalog # SV0002) with DAB (Catalog # AR1027) as the chromogen.

IHC analysis of Nestin/NES using anti-Nestin/NES antibody (BM4494).
Nestin/NES was detected in a paraffin-embedded section of human non-small cell lung cancer tissue. The tissue section was incubated with rabbit anti-Nestin/NES Antibody (BM4494) at a dilution of 1:200 and developed using HRP Conjugated Rabbit IgG Super Vision Assay Kit (Catalog # SV0002) with DAB (Catalog # AR1027) as the chromogen.

IHC analysis of Nestin/NES using anti-Nestin/NES antibody (BM4494).
Nestin/NES was detected in a paraffin-embedded section of mouse brain tissue. The tissue section was incubated with rabbit anti-Nestin/NES Antibody (BM4494) at a dilution of 1:200 and developed using HRP Conjugated Rabbit IgG Super Vision Assay Kit (Catalog # SV0002) with DAB (Catalog # AR1027) as the chromogen.

IHC analysis of Nestin/NES using anti-Nestin/NES antibody (BM4494).
Nestin/NES was detected in a paraffin-embedded section of rat brain tissue. The tissue section was incubated with rabbit anti-Nestin/NES Antibody (BM4494) at a dilution of 1:200 and developed using HRP Conjugated Rabbit IgG Super Vision Assay Kit (Catalog # SV0002) with DAB (Catalog # AR1027) as the chromogen.

IHC analysis of Nestin/NES using anti-Nestin/NES antibody (BM4494).
Nestin/NES was detected in a paraffin-embedded section of pig brain tissue. The tissue section was incubated with rabbit anti-Nestin/NES Antibody (BM4494) at a dilution of 1:200 and developed using HRP Conjugated Rabbit IgG Super Vision Assay Kit (Catalog # SV0002) with DAB (Catalog # AR1027) as the chromogen.

IF analysis of Nestin/NES using anti-Nestin/NES antibody (BM4494).
Nestin/NES was detected in a paraffin-embedded section of rat brain tissue. The tissue section was incubated with rabbit anti-Nestin/NES Antibody (BM4494) at a dilution of 1:100. Fluoro488-conjugated Anti-rabbit IgG Secondary Antibody (green) (Catalog # BA1127) was used as secondary antibody.







