| Western blot (WB): | 1:500-2000 |
| Immunohistochemistry (IHC): | 1:50-400 |
| (Boiling the paraffin sections in 10mM citrate buffer,pH6.0,or PH8.0 EDTA repair liquid for 20 mins is required for the staining of formalin/paraffin sections.) Optimal working dilutions must be determined by end user. | |

IHC analysis of Nestin/NES using anti-Nestin/NES antibody (BA1289).
Nestin/NES was detected in a paraffin-embedded section of human brain cancer tissue. Biotinylated goat anti-rabbit IgG was used as secondary antibody. The tissue section was incubated with rabbit anti-Nestin/NES Antibody (BA1289) at a dilution of 1:200 and developed using Strepavidin-Biotin-Complex (SABC) (Catalog # SA1022) with DAB (Catalog # AR1027) as the chromogen.

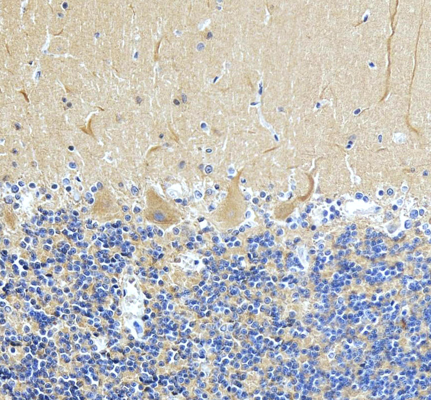
IHC analysis of Nestin/NES using anti-Nestin/NES antibody (BA1289).
Nestin/NES was detected in a paraffin-embedded section of human cerebellum tissue. The tissue section was incubated with rabbit anti-Nestin/NES Antibody (BA1289) at a dilution of 1:200 and developed using HRP Conjugated Rabbit IgG Super Vision Assay Kit (Catalog # SV0002) with DAB (Catalog # AR1027) as the chromogen.


IHC analysis of Nestin/NES using anti-Nestin/NES antibody (BA1289).
Nestin/NES was detected in a paraffin-embedded section of human brain cancer tissue. Biotinylated goat anti-rabbit IgG was used as secondary antibody. The tissue section was incubated with rabbit anti-Nestin/NES Antibody (BA1289) at a dilution of 1:200 and developed using Strepavidin-Biotin-Complex (SABC) (Catalog # SA1022) with DAB (Catalog # AR1027) as the chromogen.

IHC analysis of Nestin/NES using anti-Nestin/NES antibody (BA1289).
Nestin/NES was detected in a paraffin-embedded section of human cerebellum tissue. The tissue section was incubated with rabbit anti-Nestin/NES Antibody (BA1289) at a dilution of 1:200 and developed using HRP Conjugated Rabbit IgG Super Vision Assay Kit (Catalog # SV0002) with DAB (Catalog # AR1027) as the chromogen.


