欢迎访问博士德生物官网! 服务热线:027-67845390 |
您当前的位置: 首页 > 产品中心 > 一抗 > 磷酸化抗体

Anti-EGFR (Phospho-Y1173) Antibody (Clone#EHG-5)

Rabbit Monoclonal antibody

说明书 一键复制产品信息

筛选器: All WB IHC ICC/IF IP

BM4453

  • 50μl ¥1280 100μl ¥2180 150μl ¥2800
  • 货期: 现货
  • Western blot analysis of Phospho-EGFR (Y1197) expression in A431 cell lysate treated with EGF.

    all(4)
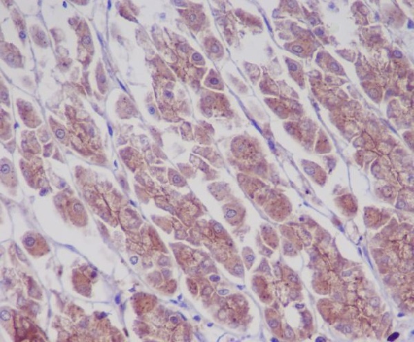
  • Immunohistochemical analysis of paraffin-embedded rat stomach, using Phospho-EGFR (Y1197) Antibody.

    all(4)
  • Immunofluorescent analysis using the Antibody.

    all(4)

产品简介 实验方案 引用文献 相关产品

产品简介>

产品名称
Anti-EGFR (Phospho-Y1173) Antibody (Clone#EHG-5)
规格/价格
50μl|1280 100μl|2180 150μl|2800
指标别称
EGFR; ERBB; ERBB1; HER1; mENA; PIG61; Proto oncogene c ErbB 1
产品类型
Monoclonal
检验物种
human
应用范围
WB, IHC, ICC/IF, IP
基因名称
EGFR
克隆号
EHG-5
宿主
Rabbit
抗体亚型
IgG
免疫原
A synthesized peptide derived from human Phospho-EGFR (Y1173)
计算分子量
134 kDa
实际分子量
175 kDa
成分
500 ug/ml; Rabbit IgG in phosphate buffered saline, pH 7.4, 150mM NaCl, 0.02% sodium azide, 0.4-0.5 mg/ml BSA and 50% glycerol.
纯化方式
Affinity-chromatography
浓度
500 ug/ml
产品形态
Liquid
保存条件
12 months from date of receipt,-20℃ as supplied.
背景资料
The epidermal growth factor receptor (EGFR; ErbB-1; HER1 in humans) is the cell-surface receptor for members of the epidermal growth factor family (EGF-family) of extracellular protein ligands. It is a member of the ErbB family of receptors, a subfamily of four closely related receptor tyrosine kinases: EGFR (ErbB-1), HER2/c-neu (ErbB-2), Her 3 (ErbB-3) and Her 4 (ErbB-4). EGFR exists on the cell surface and is activated by binding of its specific ligands, including epidermal growth factor and transforming growth factor α (TGFα). EGFR and its ligands are cell signaling molecules involved in diverse cellular functions, including cell proliferation, differentiation, motility, and survival, and in tissue development. Mutations that lead to EGFR overexpression (known as upregulation) or overactivity have been associated with a number of cancers, including lung cancer and glioblastoma multiforme. In this latter case a more or less specific mutation of EGFR, called EGFRvIII is often observed.
Uniprot ID
P00533  
文献引用格式
EGFR (Phospho-Y1173) Antibody (Clone#EHG-5) (Boster Biological Technology, Wuhan, China. Catalog#BM4453)
应用释义
WB-蛋白质免疫印迹法; IHC- 免疫组织化学法; ICC/IF-免疫细胞荧光和免疫细胞化学; FCM-流式细胞术; ELISA-酶联免疫吸附测定; IP-免疫沉淀法; IF-免疫组织荧光法; ChIP-染色质免疫沉淀法;
基因名全称
Epidermal growth factor receptor
推荐稀释比
Western blot (WB):1:500-2000
Immunohistochemistry (IHC):1:50-200
Immunocytochemistry/Immunofluorescence (ICC/IF):1:50-200
ImmunoPrecipitation (IP):1:20

实验方案>

实验步骤

引用文献(0)>

    相关产品>

    成功添加到购物车

    查看购物车 继续购物

    Anti-EGFR (Phospho-Y1173) Antibody (Clone#EHG-5)

    筛选器: All WB IHC ICC/IF IP

    亮暗模式切换
    X
    亮暗模式切换
    X

    在线
    客服

    在线客服
    服务时间:08:30 - 17:30

    点击下列客服在线咨询:

    服务热线

    服务
    热线

    客服服务热线

    027-67845390
    客服服务热线

    扫码

    扫码
    咨询

    微信二维码 微信扫一扫立即咨询
    返回顶部 顶部