| Western blot (WB): | 1:500-2000 |
| Immunohistochemistry (IHC): | 1:50-200 |
| Immunocytochemistry/Immunofluorescence (ICC/IF): | 1:50-200 |
| ImmunoPrecipitation (IP): | 1:20 |
| Flow Cytometry (FCM): | 1:20 |

Western blot analysis of anti-Synaptophysin/SYP antibody (BM4152). The sample well of each lane was loaded with 30 ug of sample under reducing conditions.
Lane 1: rat brain tissue lysates,
Lane 2: mouse brain tissue lysates.
After electrophoresis, proteins were transferred to a membrane. Then the membrane was incubated with rabbit anti-Synaptophysin/SYP antigen affinity purified monoclonal antibody (BM4152) at a dilution of 1:1000 and probed with a goat anti-rabbit IgG-HRP secondary antibody (Catalog # BA1054). The signal is developed using ECL Plus Western Blotting Substrate (Catalog # AR1197). A specific band was detected for Synaptophysin/SYP at approximately 38 kDa. The expected band size for Synaptophysin/SYP is at 34 kDa.

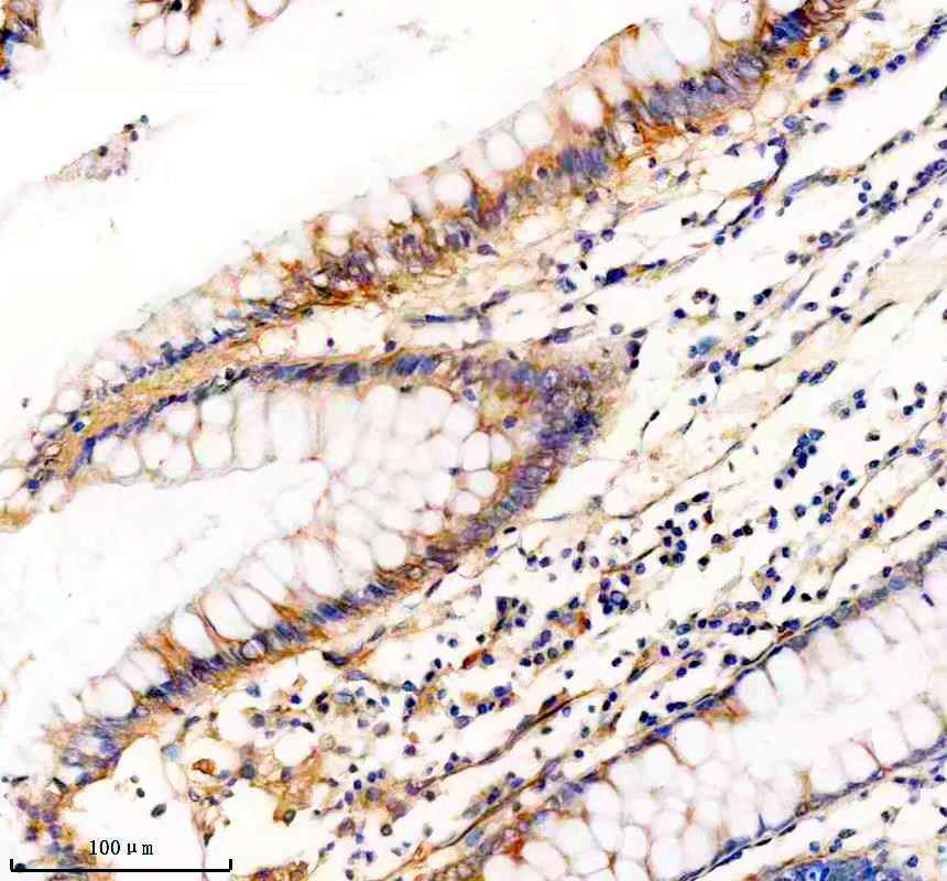
IHC analysis of Synaptophysin/SYP using anti-Synaptophysin/SYP antibody (BM4152).
Synaptophysin/SYP was detected in a paraffin-embedded section of human colon tissue. The tissue section was incubated with rabbit anti-Synaptophysin/SYP Antibody (BM4152) at a dilution of 1:200 and developed using HRP Conjugated Rabbit IgG Super Vision Assay Kit (Catalog # SV0002) with DAB (Catalog # AR1027) as the chromogen.

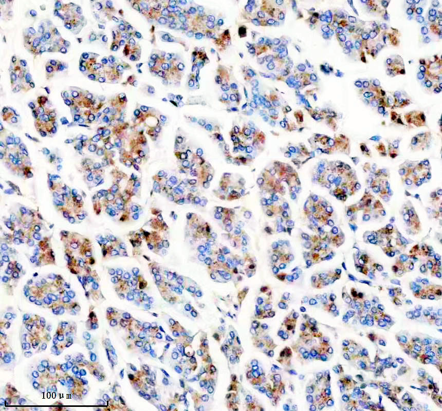
IHC analysis of Synaptophysin/SYP using anti-Synaptophysin/SYP antibody (BM4152).
Synaptophysin/SYP was detected in a paraffin-embedded section of human pancreas tissue. The tissue section was incubated with rabbit anti-Synaptophysin/SYP Antibody (BM4152) at a dilution of 1:200 and developed using HRP Conjugated Rabbit IgG Super Vision Assay Kit (Catalog # SV0002) with DAB (Catalog # AR1027) as the chromogen.

Immunofluorescent analysis of PC-12 cells, using Synaptophysin Antibody .

Western blot analysis of anti-Synaptophysin/SYP antibody (BM4152). The sample well of each lane was loaded with 30 ug of sample under reducing conditions.
Lane 1: rat brain tissue lysates,
Lane 2: mouse brain tissue lysates.
After electrophoresis, proteins were transferred to a membrane. Then the membrane was incubated with rabbit anti-Synaptophysin/SYP antigen affinity purified monoclonal antibody (BM4152) at a dilution of 1:1000 and probed with a goat anti-rabbit IgG-HRP secondary antibody (Catalog # BA1054). The signal is developed using ECL Plus Western Blotting Substrate (Catalog # AR1197). A specific band was detected for Synaptophysin/SYP at approximately 38 kDa. The expected band size for Synaptophysin/SYP is at 34 kDa.

IHC analysis of Synaptophysin/SYP using anti-Synaptophysin/SYP antibody (BM4152).
Synaptophysin/SYP was detected in a paraffin-embedded section of human colon tissue. The tissue section was incubated with rabbit anti-Synaptophysin/SYP Antibody (BM4152) at a dilution of 1:200 and developed using HRP Conjugated Rabbit IgG Super Vision Assay Kit (Catalog # SV0002) with DAB (Catalog # AR1027) as the chromogen.

IHC analysis of Synaptophysin/SYP using anti-Synaptophysin/SYP antibody (BM4152).
Synaptophysin/SYP was detected in a paraffin-embedded section of human pancreas tissue. The tissue section was incubated with rabbit anti-Synaptophysin/SYP Antibody (BM4152) at a dilution of 1:200 and developed using HRP Conjugated Rabbit IgG Super Vision Assay Kit (Catalog # SV0002) with DAB (Catalog # AR1027) as the chromogen.

Immunofluorescent analysis of PC-12 cells, using Synaptophysin Antibody .







