| Western blot (WB): | 1:500-2000 |
| Immunohistochemistry (IHC): | 1:50-400 |
| Immunocytochemistry/Immunofluorescence (ICC/IF): | 1:50-400 |
| Immunofluorescence (IF) : | 1:50-400 |
| (Boiling the paraffin sections in 10mM citrate buffer,pH6.0,or PH8.0 EDTA repair liquid for 20 mins is required for the staining of formalin/paraffin sections.) Optimal working dilutions must be determined by end user. | |

Western blot analysis of Synaptophysin/SYP using anti-Synaptophysin/SYP antibody (A05049). The sample well of each lane was loaded with 30 ug of sample under reducing conditions.
Lane 1: rat brain tissue lysates,
Lane 2: mouse brain tissue lysates.
After electrophoresis, proteins were transferred to a membrane. Then the membrane was incubated with rabbit anti-Synaptophysin/SYP antigen affinity purified polyclonal antibody (A05049) at a dilution of 1:1000 and probed with a goat anti-rabbit IgG-HRP secondary antibody (Catalog # BA1054). The signal is developed using ECL Plus Western Blotting Substrate (Catalog # AR1197). A specific band was detected for Synaptophysin/SYP at approximately 38 kDa. The expected band size for Synaptophysin/SYP is at 34 kDa.

ICC/IF analysis of Synaptophysin/SYP using anti-Synaptophysin/SYP antibody (A05049).
Synaptophysin/SYP was detected in an immunocytochemical section of SH-SY5Y cells. The section was incubated with rabbit anti-Synaptophysin/SYP Antibody (A05049) at a dilution of 1:100. Fluoro488 Conjugated Goat Anti-Rabbit IgG (Green) (Catalog # BA1127) was used as secondary antibody. The section was counterstained with DAPI (Catalog # AR1176) (Blue).

IHC analysis of Synaptophysin/SYP using anti-Synaptophysin/SYP antibody (A05049).
Synaptophysin/SYP was detected in a paraffin-embedded section of human appendicitis tissue. Biotinylated goat anti-rabbit IgG was used as secondary antibody. The tissue section was incubated with rabbit anti-Synaptophysin/SYP Antibody (A05049) at a dilution of 1:200 and developed using Strepavidin-Biotin-Complex (SABC) (Catalog # SA1022) with DAB (Catalog # AR1027) as the chromogen.

IHC analysis of Synaptophysin/SYP using anti-Synaptophysin/SYP antibody (A05049).
Synaptophysin/SYP was detected in a paraffin-embedded section of human glioma tissue. Biotinylated goat anti-rabbit IgG was used as secondary antibody. The tissue section was incubated with rabbit anti-Synaptophysin/SYP Antibody (A05049) at a dilution of 1:200 and developed using Strepavidin-Biotin-Complex (SABC) (Catalog # SA1022) with DAB (Catalog # AR1027) as the chromogen.

IHC analysis of Synaptophysin/SYP using anti-Synaptophysin/SYP antibody (A05049).
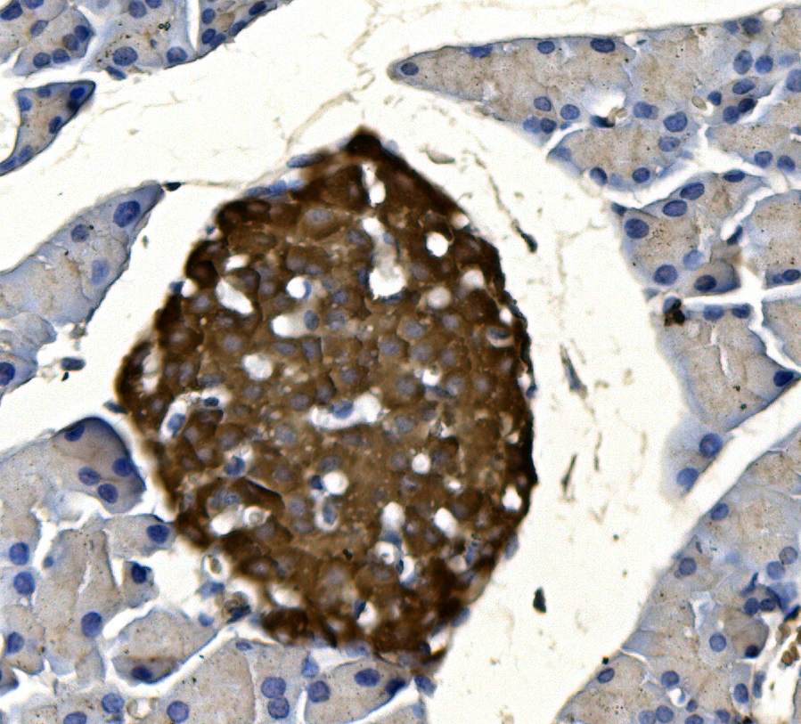
Synaptophysin/SYP was detected in a paraffin-embedded section of mouse pancreas tissue. Biotinylated goat anti-rabbit IgG was used as secondary antibody. The tissue section was incubated with rabbit anti-Synaptophysin/SYP Antibody (A05049) at a dilution of 1:200 and developed using Strepavidin-Biotin-Complex (SABC) (Catalog # SA1022) with DAB (Catalog # AR1027) as the chromogen.

IHC analysis of Synaptophysin/SYP using anti-Synaptophysin/SYP antibody (A05049).
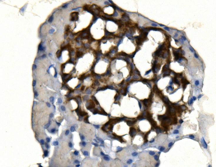
Synaptophysin/SYP was detected in a paraffin-embedded section of rat pancreas tissue. Biotinylated goat anti-rabbit IgG was used as secondary antibody. The tissue section was incubated with rabbit anti-Synaptophysin/SYP Antibody (A05049) at a dilution of 1:200 and developed using Strepavidin-Biotin-Complex (SABC) (Catalog # SA1022) with DAB (Catalog # AR1027) as the chromogen.

IHC analysis of Synaptophysin/SYP using anti-Synaptophysin/SYP antibody (A05049).
Synaptophysin/SYP was detected in a paraffin-embedded section of mouse brain tissue. Biotinylated goat anti-rabbit IgG was used as secondary antibody. The tissue section was incubated with rabbit anti-Synaptophysin/SYP Antibody (A05049) at a dilution of 1:200 and developed using Strepavidin-Biotin-Complex (SABC) (Catalog # SA1022) with DAB (Catalog # AR1027) as the chromogen.

IHC analysis of Synaptophysin/SYP using anti-Synaptophysin/SYP antibody (A05049).
Synaptophysin/SYP was detected in a paraffin-embedded section of rat brain tissue. Biotinylated goat anti-rabbit IgG was used as secondary antibody. The tissue section was incubated with rabbit anti-Synaptophysin/SYP Antibody (A05049) at a dilution of 1:200 and developed using Strepavidin-Biotin-Complex (SABC) (Catalog # SA1022) with DAB (Catalog # AR1027) as the chromogen.

IF analysis using anti- SYP antibody (A05049). detected in paraffin-embedded section of mouse pancreas tissue. The tissue section were stained using the Fluoro488-conjugated Anti-rabbit IgG Secondary Antibody (green) (Catalog # BA1127) and counterstained with DAPI (blue).

IF analysis using anti- SYP antibody (A05049). detected in paraffin-embedded section of rat pancreas tissue. The tissue section were stained using the Fluoro488-conjugated Anti-rabbit IgG Secondary Antibody (green) (Catalog # BA1127) and counterstained with DAPI (blue).

IF analysis using anti- SYP antibody (A05049). detected in paraffin-embedded section of mouse brain tissue. The tissue section were stained using the Fluoro488-conjugated Anti-rabbit IgG Secondary Antibody (green) (Catalog # BA1127) and counterstained with DAPI (blue).

Western blot analysis of Synaptophysin/SYP using anti-Synaptophysin/SYP antibody (A05049). The sample well of each lane was loaded with 30 ug of sample under reducing conditions.
Lane 1: rat brain tissue lysates,
Lane 2: mouse brain tissue lysates.
After electrophoresis, proteins were transferred to a membrane. Then the membrane was incubated with rabbit anti-Synaptophysin/SYP antigen affinity purified polyclonal antibody (A05049) at a dilution of 1:1000 and probed with a goat anti-rabbit IgG-HRP secondary antibody (Catalog # BA1054). The signal is developed using ECL Plus Western Blotting Substrate (Catalog # AR1197). A specific band was detected for Synaptophysin/SYP at approximately 38 kDa. The expected band size for Synaptophysin/SYP is at 34 kDa.

ICC/IF analysis of Synaptophysin/SYP using anti-Synaptophysin/SYP antibody (A05049).
Synaptophysin/SYP was detected in an immunocytochemical section of SH-SY5Y cells. The section was incubated with rabbit anti-Synaptophysin/SYP Antibody (A05049) at a dilution of 1:100. Fluoro488 Conjugated Goat Anti-Rabbit IgG (Green) (Catalog # BA1127) was used as secondary antibody. The section was counterstained with DAPI (Catalog # AR1176) (Blue).

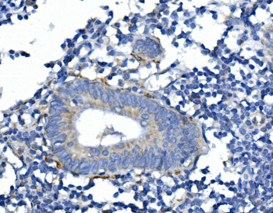
IHC analysis of Synaptophysin/SYP using anti-Synaptophysin/SYP antibody (A05049).
Synaptophysin/SYP was detected in a paraffin-embedded section of human appendicitis tissue. Biotinylated goat anti-rabbit IgG was used as secondary antibody. The tissue section was incubated with rabbit anti-Synaptophysin/SYP Antibody (A05049) at a dilution of 1:200 and developed using Strepavidin-Biotin-Complex (SABC) (Catalog # SA1022) with DAB (Catalog # AR1027) as the chromogen.

IHC analysis of Synaptophysin/SYP using anti-Synaptophysin/SYP antibody (A05049).
Synaptophysin/SYP was detected in a paraffin-embedded section of human glioma tissue. Biotinylated goat anti-rabbit IgG was used as secondary antibody. The tissue section was incubated with rabbit anti-Synaptophysin/SYP Antibody (A05049) at a dilution of 1:200 and developed using Strepavidin-Biotin-Complex (SABC) (Catalog # SA1022) with DAB (Catalog # AR1027) as the chromogen.

IHC analysis of Synaptophysin/SYP using anti-Synaptophysin/SYP antibody (A05049).
Synaptophysin/SYP was detected in a paraffin-embedded section of mouse pancreas tissue. Biotinylated goat anti-rabbit IgG was used as secondary antibody. The tissue section was incubated with rabbit anti-Synaptophysin/SYP Antibody (A05049) at a dilution of 1:200 and developed using Strepavidin-Biotin-Complex (SABC) (Catalog # SA1022) with DAB (Catalog # AR1027) as the chromogen.

IHC analysis of Synaptophysin/SYP using anti-Synaptophysin/SYP antibody (A05049).
Synaptophysin/SYP was detected in a paraffin-embedded section of rat pancreas tissue. Biotinylated goat anti-rabbit IgG was used as secondary antibody. The tissue section was incubated with rabbit anti-Synaptophysin/SYP Antibody (A05049) at a dilution of 1:200 and developed using Strepavidin-Biotin-Complex (SABC) (Catalog # SA1022) with DAB (Catalog # AR1027) as the chromogen.

IHC analysis of Synaptophysin/SYP using anti-Synaptophysin/SYP antibody (A05049).
Synaptophysin/SYP was detected in a paraffin-embedded section of mouse brain tissue. Biotinylated goat anti-rabbit IgG was used as secondary antibody. The tissue section was incubated with rabbit anti-Synaptophysin/SYP Antibody (A05049) at a dilution of 1:200 and developed using Strepavidin-Biotin-Complex (SABC) (Catalog # SA1022) with DAB (Catalog # AR1027) as the chromogen.

IHC analysis of Synaptophysin/SYP using anti-Synaptophysin/SYP antibody (A05049).
Synaptophysin/SYP was detected in a paraffin-embedded section of rat brain tissue. Biotinylated goat anti-rabbit IgG was used as secondary antibody. The tissue section was incubated with rabbit anti-Synaptophysin/SYP Antibody (A05049) at a dilution of 1:200 and developed using Strepavidin-Biotin-Complex (SABC) (Catalog # SA1022) with DAB (Catalog # AR1027) as the chromogen.

IF analysis using anti- SYP antibody (A05049). detected in paraffin-embedded section of mouse pancreas tissue. The tissue section were stained using the Fluoro488-conjugated Anti-rabbit IgG Secondary Antibody (green) (Catalog # BA1127) and counterstained with DAPI (blue).

IF analysis using anti- SYP antibody (A05049). detected in paraffin-embedded section of rat pancreas tissue. The tissue section were stained using the Fluoro488-conjugated Anti-rabbit IgG Secondary Antibody (green) (Catalog # BA1127) and counterstained with DAPI (blue).

IF analysis using anti- SYP antibody (A05049). detected in paraffin-embedded section of mouse brain tissue. The tissue section were stained using the Fluoro488-conjugated Anti-rabbit IgG Secondary Antibody (green) (Catalog # BA1127) and counterstained with DAPI (blue).










