| Western blot (WB): | 1:500-2000 |
| Immunohistochemistry (IHC): | 1:50-200 |
| Immunocytochemistry/Immunofluorescence (ICC/IF): | 1:50-200 |
| ImmunoPrecipitation (IP): | 1:20 |

Western blot analysis of anti-Vinculin/VCL antibody (BM4051). The sample well of each lane was loaded with 30 ug of sample under reducing conditions.
Lane 1: human Hela whole cell lysates,
Lane 2: human HepG2 whole cell lysates,
Lane 3: human U-87 MG whole cell lysates,
Lane 4: rat PC-12 whole cell lysates,
Lane 5: mouse NIH/3T3 whole cell lysates.
After electrophoresis, proteins were transferred to a membrane. Then the membrane was incubated with rabbit anti-Vinculin/VCL antigen affinity purified monoclonal antibody (BM4051) at a dilution of 1:1000 and probed with a goat anti-rabbit IgG-HRP secondary antibody (Catalog # BA1054). The signal is developed using ECL Plus Western Blotting Substrate (Catalog # AR1197). A specific band was detected for Vinculin/VCL at approximately 124 kDa. The expected band size for Vinculin/VCL is at 124 kDa.

IHC analysis of Vinculin/VCL using anti-Vinculin/VCL antibody (BM4051) .
Vinculin/VCL was detected in a paraffin-embedded section of human colorectal adenocarcinoma tissue. The tissue section was incubated with rabbit anti-Vinculin/VCL Antibody (BM4051) at a dilution of 1:200 and developed using HRP Conjugated Rabbit IgG Super Vision Assay Kit (Catalog # SV0002) with DAB (Catalog # AR1027) as the chromogen.

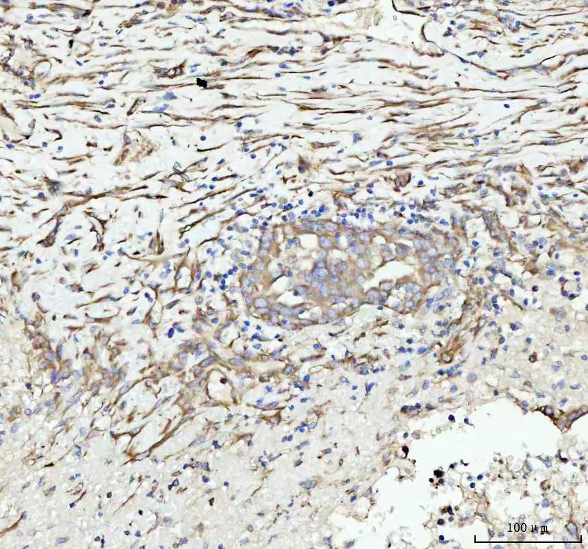
IHC analysis of Vinculin/VCL using anti-Vinculin/VCL antibody (BM4051) .
Vinculin/VCL was detected in a paraffin-embedded section of human renal cell carcinoma tissue. The tissue section was incubated with rabbit anti-Vinculin/VCL Antibody (BM4051) at a dilution of 1:200 and developed using HRP Conjugated Rabbit IgG Super Vision Assay Kit (Catalog # SV0002) with DAB (Catalog # AR1027) as the chromogen.

Western blot analysis of anti-Vinculin/VCL antibody (BM4051). The sample well of each lane was loaded with 30 ug of sample under reducing conditions.
Lane 1: human Hela whole cell lysates,
Lane 2: human HepG2 whole cell lysates,
Lane 3: human U-87 MG whole cell lysates,
Lane 4: rat PC-12 whole cell lysates,
Lane 5: mouse NIH/3T3 whole cell lysates.
After electrophoresis, proteins were transferred to a membrane. Then the membrane was incubated with rabbit anti-Vinculin/VCL antigen affinity purified monoclonal antibody (BM4051) at a dilution of 1:1000 and probed with a goat anti-rabbit IgG-HRP secondary antibody (Catalog # BA1054). The signal is developed using ECL Plus Western Blotting Substrate (Catalog # AR1197). A specific band was detected for Vinculin/VCL at approximately 124 kDa. The expected band size for Vinculin/VCL is at 124 kDa.

IHC analysis of Vinculin/VCL using anti-Vinculin/VCL antibody (BM4051) .
Vinculin/VCL was detected in a paraffin-embedded section of human colorectal adenocarcinoma tissue. The tissue section was incubated with rabbit anti-Vinculin/VCL Antibody (BM4051) at a dilution of 1:200 and developed using HRP Conjugated Rabbit IgG Super Vision Assay Kit (Catalog # SV0002) with DAB (Catalog # AR1027) as the chromogen.

IHC analysis of Vinculin/VCL using anti-Vinculin/VCL antibody (BM4051) .
Vinculin/VCL was detected in a paraffin-embedded section of human renal cell carcinoma tissue. The tissue section was incubated with rabbit anti-Vinculin/VCL Antibody (BM4051) at a dilution of 1:200 and developed using HRP Conjugated Rabbit IgG Super Vision Assay Kit (Catalog # SV0002) with DAB (Catalog # AR1027) as the chromogen.






