| Western blot (WB): | 1:500-2000 |
| Immunohistochemistry (IHC): | 1:50-400 |
| Immunocytochemistry/Immunofluorescence (ICC/IF): | 1:50-400 |
| (Boiling the paraffin sections in 10mM citrate buffer,pH6.0,or PH8.0 EDTA repair liquid for 20 mins is required for the staining of formalin/paraffin sections.) Optimal working dilutions must be determined by end user. | |

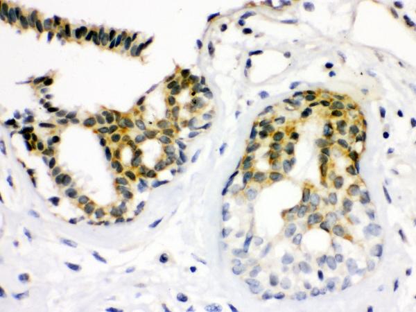
IHC analysis of anti- CDK7 antibody (BM1617).detected in paraffin-embedded section of human Breast cancer tissue. Biotinylated goat anti-mouse IgG was used as secondary antibody. The tissue section was developed using Strepavidin-Biotin-Complex (SABC) (Catalog # SA1022) with DAB as the chromogen.

IHC analysis of anti- CDK7 antibody (BM1617).detected in paraffin-embedded section of human Breast cancer tissue. Biotinylated goat anti-mouse IgG was used as secondary antibody. The tissue section was developed using Strepavidin-Biotin-Complex (SABC) (Catalog # SA1022) with DAB as the chromogen.




