| Western blot (WB): | 1:100-400 |
| Immunohistochemistry (IHC): | 1:10-50 |
| (Boiling the paraffin sections in 10mM citrate buffer,pH6.0,or PH8.0 EDTA repair liquid for 20 mins is required for the staining of formalin/paraffin sections.) Optimal working dilutions must be determined by end user. | |

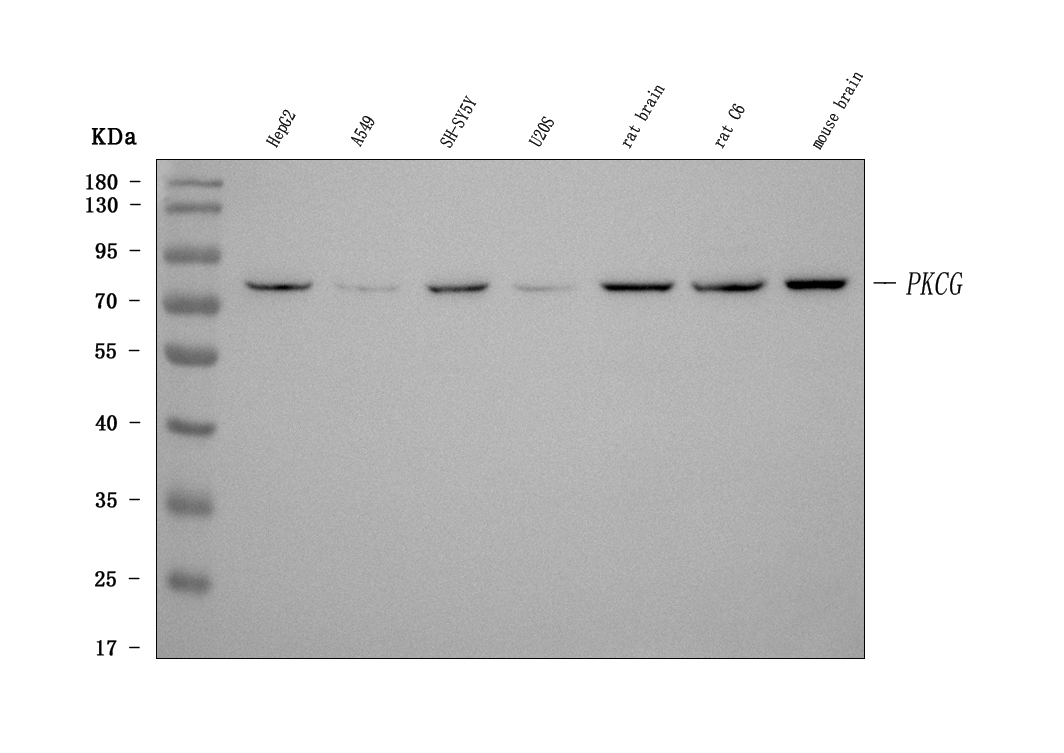
Western blot analysis of anti- PKCG antibody (BM0401). The sample well of each lane was loaded with 50ug of sample under reducing conditions.
Lane 1: HepG2 whole cell lysates,
Lane 2: A549 whole cell lysates,
Lane 3: SH-SY5Y whole cell lysates,
Lane 4: U20S whole cell lysates,
Lane 5: rat brain tissue lysates,
Lane 6: rat C6 tissue lysates,
Lane 7: mouse brain tissue lysates.
Use mouse anti- PKCG 1:1000, probed with a goat anti-mouse IgG-HRP secondary antibody. The signal is developed using an Enhanced Chemiluminescent detection (ECL) kit (Catalog # EK1001). A specific band was detected for PKCG at approximately 80KD. The expected band size for PKCG is at 78KD.

Western blot analysis of anti- PKCG antibody (BM0401). The sample well of each lane was loaded with 50ug of sample under reducing conditions.
Lane 1: HepG2 whole cell lysates,
Lane 2: A549 whole cell lysates,
Lane 3: SH-SY5Y whole cell lysates,
Lane 4: U20S whole cell lysates,
Lane 5: rat brain tissue lysates,
Lane 6: rat C6 tissue lysates,
Lane 7: mouse brain tissue lysates.
Use mouse anti- PKCG 1:1000, probed with a goat anti-mouse IgG-HRP secondary antibody. The signal is developed using an Enhanced Chemiluminescent detection (ECL) kit (Catalog # EK1001). A specific band was detected for PKCG at approximately 80KD. The expected band size for PKCG is at 78KD.


