| Western blot (WB): | 1:500-2000 |
| Immunohistochemistry (IHC): | 1:50-400 |
| Immunofluorescence (IF): | 1:50-400 |
| (Boiling the paraffin sections in 10mM citrate buffer,pH6.0,or PH8.0 EDTA repair liquid for 20 mins is required for the staining of formalin/paraffin sections.) Optimal working dilutions must be determined by end user. | |

Western blot analysis of Connexin 43/GJA1 using anti-Connexin 43/GJA1 antibody (BA1727). The sample well of each lane was loaded with 30 ug of sample under reducing conditions.
Lane 1: rat heart tissue lysates,
Lane 2: rat brain tissue lysates,
Lane 3: rat H9C2(2-1) whole cell lysates,
Lane 4: mouse heart tissue lysates,
Lane 5: mouse brain tissue lysates.
After electrophoresis, proteins were transferred to a membrane. Then the membrane was incubated with rabbit anti-Connexin 43/GJA1 antigA03957-Aen affinity purified polyclonal antibody (BA1727) at a dilution of 1:1000 and probed with a goat anti-rabbit IgG-HRP secondary antibody (Catalog # BA1054). The signal is developed using ECL Plus Western Blotting Substrate (Catalog # AR1197). A specific band was detected for Connexin 43/GJA1 at approximately 43 kDa. The expected band size for Connexin 43/GJA1 is at 43 kDa.

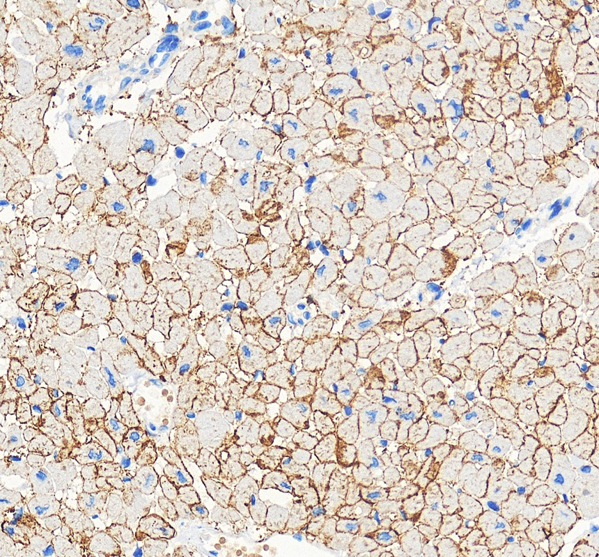
IHC analysis of Connexin 43/GJA1 using anti-Connexin 43/GJA1 antibody (BA1727).
Connexin 43/GJA1 was detected in a paraffin-embedded section of human heart tissue. The tissue section was incubated with rabbit anti-Connexin 43/GJA1 Antibody (BA1727) at a dilution of 1:200 and developed using HRP Conjugated Rabbit IgG Super Vision Assay Kit (Catalog # SV0002) with DAB (Catalog # AR1027) as the chromogen.

IHC analysis of Connexin 43/GJA1 using anti-Connexin 43/GJA1 antibody (BA1727).
Connexin 43/GJA1 was detected in a paraffin-embedded section of human heart tissue. The tissue section was incubated with rabbit anti-Connexin 43/GJA1 Antibody (BA1727) at a dilution of 1:200 and developed using HRP Conjugated Rabbit IgG Super Vision Assay Kit (Catalog # SV0002) with DAB (Catalog # AR1027) as the chromogen.

IHC analysis of Connexin 43/GJA1 using anti-Connexin 43/GJA1 antibody (BA1727).
Connexin 43/GJA1 was detected in a paraffin-embedded section of human heart tissue. The tissue section was incubated with rabbit anti-Connexin 43/GJA1 Antibody (BA1727) at a dilution of 1:200 and developed using HRP Conjugated Rabbit IgG Super Vision Assay Kit (Catalog # SV0002) with DAB (Catalog # AR1027) as the chromogen.

IHC analysis of Connexin 43/GJA1 using anti-Connexin 43/GJA1 antibody (BA1727).
Connexin 43/GJA1 was detected in a paraffin-embedded section of human heart tissue. The tissue section was incubated with rabbit anti-Connexin 43/GJA1 Antibody (BA1727) at a dilution of 1:200 and developed using HRP Conjugated Rabbit IgG Super Vision Assay Kit (Catalog # SV0002) with DAB (Catalog # AR1027) as the chromogen.

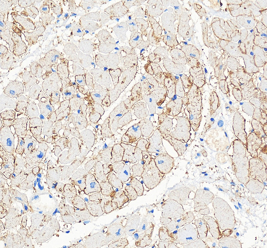
IHC analysis of Connexin 43/GJA1 using anti-Connexin 43/GJA1 antibody (BA1727).
Connexin 43/GJA1 was detected in a paraffin-embedded section of rat heart tissue. The tissue section was incubated with rabbit anti-Connexin 43/GJA1 Antibody (BA1727) at a dilution of 1:200 and developed using HRP Conjugated Rabbit IgG Super Vision Assay Kit (Catalog # SV0002) with DAB (Catalog # AR1027) as the chromogen.

IHC analysis of Connexin 43/GJA1 using anti-Connexin 43/GJA1 antibody (BA1727).
Connexin 43/GJA1 was detected in a paraffin-embedded section of rat heart tissue. The tissue section was incubated with rabbit anti-Connexin 43/GJA1 Antibody (BA1727) at a dilution of 1:200 and developed using HRP Conjugated Rabbit IgG Super Vision Assay Kit (Catalog # SV0002) with DAB (Catalog # AR1027) as the chromogen.

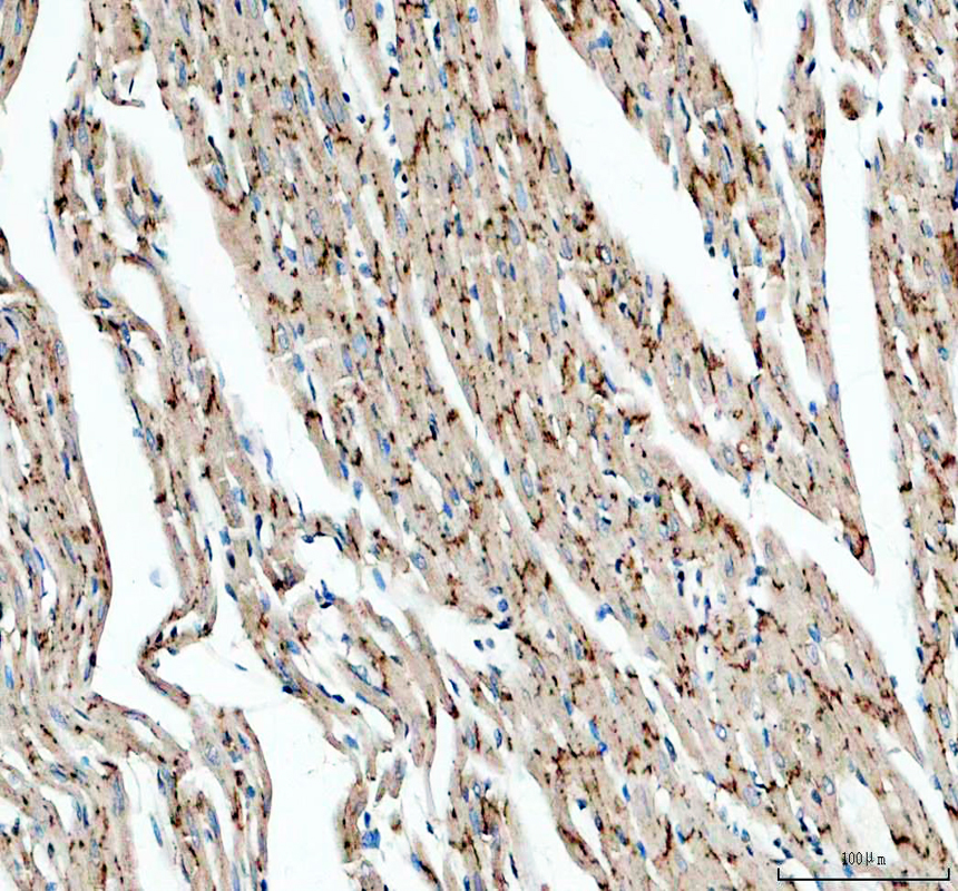
IF analysis of Connexin 43/GJA1 using anti-Connexin 43/GJA1 antibody (BA1727).
Connexin 43/GJA1 was detected in a paraffin-embedded section of rat heart tissue. The tissue section was incubated with rabbit anti-Connexin 43/GJA1 Antibody (BA1727) at a dilution of 1:100. Fluoro488-conjugated Anti-rabbit IgG Secondary Antibody (green) (Catalog # BA1127) was used as secondary antibody. The section was counterstained with DAPI (Catalog # AR1176) (Blue).

Western blot analysis of Connexin 43/GJA1 using anti-Connexin 43/GJA1 antibody (BA1727). The sample well of each lane was loaded with 30 ug of sample under reducing conditions.
Lane 1: rat heart tissue lysates,
Lane 2: rat brain tissue lysates,
Lane 3: rat H9C2(2-1) whole cell lysates,
Lane 4: mouse heart tissue lysates,
Lane 5: mouse brain tissue lysates.
After electrophoresis, proteins were transferred to a membrane. Then the membrane was incubated with rabbit anti-Connexin 43/GJA1 antigA03957-Aen affinity purified polyclonal antibody (BA1727) at a dilution of 1:1000 and probed with a goat anti-rabbit IgG-HRP secondary antibody (Catalog # BA1054). The signal is developed using ECL Plus Western Blotting Substrate (Catalog # AR1197). A specific band was detected for Connexin 43/GJA1 at approximately 43 kDa. The expected band size for Connexin 43/GJA1 is at 43 kDa.

IHC analysis of Connexin 43/GJA1 using anti-Connexin 43/GJA1 antibody (BA1727).
Connexin 43/GJA1 was detected in a paraffin-embedded section of human heart tissue. The tissue section was incubated with rabbit anti-Connexin 43/GJA1 Antibody (BA1727) at a dilution of 1:200 and developed using HRP Conjugated Rabbit IgG Super Vision Assay Kit (Catalog # SV0002) with DAB (Catalog # AR1027) as the chromogen.

IHC analysis of Connexin 43/GJA1 using anti-Connexin 43/GJA1 antibody (BA1727).
Connexin 43/GJA1 was detected in a paraffin-embedded section of human heart tissue. The tissue section was incubated with rabbit anti-Connexin 43/GJA1 Antibody (BA1727) at a dilution of 1:200 and developed using HRP Conjugated Rabbit IgG Super Vision Assay Kit (Catalog # SV0002) with DAB (Catalog # AR1027) as the chromogen.

IHC analysis of Connexin 43/GJA1 using anti-Connexin 43/GJA1 antibody (BA1727).
Connexin 43/GJA1 was detected in a paraffin-embedded section of human heart tissue. The tissue section was incubated with rabbit anti-Connexin 43/GJA1 Antibody (BA1727) at a dilution of 1:200 and developed using HRP Conjugated Rabbit IgG Super Vision Assay Kit (Catalog # SV0002) with DAB (Catalog # AR1027) as the chromogen.

IHC analysis of Connexin 43/GJA1 using anti-Connexin 43/GJA1 antibody (BA1727).
Connexin 43/GJA1 was detected in a paraffin-embedded section of human heart tissue. The tissue section was incubated with rabbit anti-Connexin 43/GJA1 Antibody (BA1727) at a dilution of 1:200 and developed using HRP Conjugated Rabbit IgG Super Vision Assay Kit (Catalog # SV0002) with DAB (Catalog # AR1027) as the chromogen.

IHC analysis of Connexin 43/GJA1 using anti-Connexin 43/GJA1 antibody (BA1727).
Connexin 43/GJA1 was detected in a paraffin-embedded section of rat heart tissue. The tissue section was incubated with rabbit anti-Connexin 43/GJA1 Antibody (BA1727) at a dilution of 1:200 and developed using HRP Conjugated Rabbit IgG Super Vision Assay Kit (Catalog # SV0002) with DAB (Catalog # AR1027) as the chromogen.

IHC analysis of Connexin 43/GJA1 using anti-Connexin 43/GJA1 antibody (BA1727).
Connexin 43/GJA1 was detected in a paraffin-embedded section of rat heart tissue. The tissue section was incubated with rabbit anti-Connexin 43/GJA1 Antibody (BA1727) at a dilution of 1:200 and developed using HRP Conjugated Rabbit IgG Super Vision Assay Kit (Catalog # SV0002) with DAB (Catalog # AR1027) as the chromogen.

IF analysis of Connexin 43/GJA1 using anti-Connexin 43/GJA1 antibody (BA1727).
Connexin 43/GJA1 was detected in a paraffin-embedded section of rat heart tissue. The tissue section was incubated with rabbit anti-Connexin 43/GJA1 Antibody (BA1727) at a dilution of 1:100. Fluoro488-conjugated Anti-rabbit IgG Secondary Antibody (green) (Catalog # BA1127) was used as secondary antibody. The section was counterstained with DAPI (Catalog # AR1176) (Blue).







