| Western blot (WB): | 1:500-2000 |
| Immunohistochemistry (IHC): | 1:50-400 |
| Enzyme linked immunosorbent assay (ELISA): | 1:100-1000 |
| (Boiling the paraffin sections in 10mM citrate buffer,pH6.0,or PH8.0 EDTA repair liquid for 20 mins is required for the staining of formalin/paraffin sections.) Optimal working dilutions must be determined by end user. | |

Western blot analysis of AGR2 using anti-AGR2 antibody (A00599). The sample well of each lane was loaded with 30 ug of sample under reducing conditions.
Lane 1: human 293T whole cell lysates,
Lane 2: human U251 whole cell lysates,
Lane 3: human A549 whole cell lysates,
Lane 4: rat heart tissue lysates,
Lane 5: rat brain tissue lysates,
Lane 6: mouse heart tissue lysates,
Lane 7: mouse brain tissue lysates.
After electrophoresis, proteins were transferred to a membrane. Then the membrane was incubated with rabbit anti-AGR2 antigA03957-Aen affinity purified polyclonal antibody (A00599) at a dilution of 1:1000 and probed with a goat anti-rabbit IgG-HRP secondary antibody (Catalog # BA1054). The signal is developed using ECL Plus Western Blotting Substrate (Catalog # AR1197). A specific band was detected for AGR2 at approximately 43 kDa. The expected band size for AGR2 is at 43 kDa.

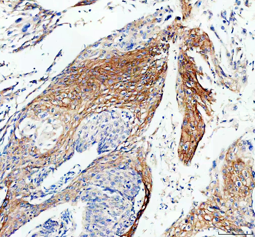
IHC analysis of AGR2 using anti-AGR2 antibody (A00599).
AGR2 was detected in a paraffin-embedded section of human cervical cancer tissue. The tissue section was incubated with rabbit anti-AGR2 Antibody (A00599) at a dilution of 1:200 and developed using HRP Conjugated Rabbit IgG Super Vision Assay Kit (Catalog # SV0002) with DAB (Catalog # AR1027) as the chromogen.

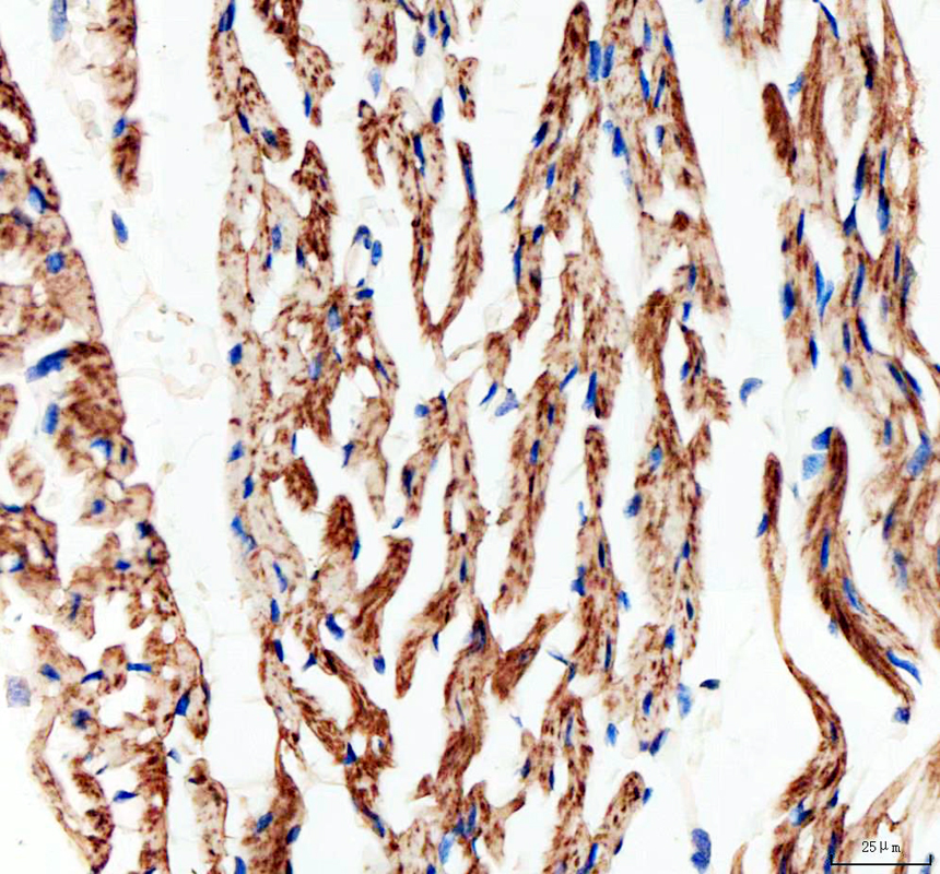
IHC analysis of AGR2 using anti-AGR2 antibody (A00599).
AGR2 was detected in a paraffin-embedded section of rat heart tissue. The tissue section was incubated with rabbit anti-AGR2 Antibody (A00599) at a dilution of 1:200 and developed using HRP Conjugated Rabbit IgG Super Vision Assay Kit (Catalog # SV0002) with DAB (Catalog # AR1027) as the chromogen.

IHC analysis of AGR2 using anti-AGR2 antibody (A00599).
AGR2 was detected in a paraffin-embedded section of rat heart tissue. The tissue section was incubated with rabbit anti-AGR2 Antibody (A00599) at a dilution of 1:200 and developed using HRP Conjugated Rabbit IgG Super Vision Assay Kit (Catalog # SV0002) with DAB (Catalog # AR1027) as the chromogen.

IHC analysis of AGR2 using anti-AGR2 antibody (A00599).
AGR2 was detected in a paraffin-embedded section of mouse heart tissue. The tissue section was incubated with rabbit anti-AGR2 Antibody (A00599) at a dilution of 1:200 and developed using HRP Conjugated Rabbit IgG Super Vision Assay Kit (Catalog # SV0002) with DAB (Catalog # AR1027) as the chromogen.

Western blot analysis of AGR2 using anti-AGR2 antibody (A00599). The sample well of each lane was loaded with 30 ug of sample under reducing conditions.
Lane 1: human 293T whole cell lysates,
Lane 2: human U251 whole cell lysates,
Lane 3: human A549 whole cell lysates,
Lane 4: rat heart tissue lysates,
Lane 5: rat brain tissue lysates,
Lane 6: mouse heart tissue lysates,
Lane 7: mouse brain tissue lysates.
After electrophoresis, proteins were transferred to a membrane. Then the membrane was incubated with rabbit anti-AGR2 antigA03957-Aen affinity purified polyclonal antibody (A00599) at a dilution of 1:1000 and probed with a goat anti-rabbit IgG-HRP secondary antibody (Catalog # BA1054). The signal is developed using ECL Plus Western Blotting Substrate (Catalog # AR1197). A specific band was detected for AGR2 at approximately 43 kDa. The expected band size for AGR2 is at 43 kDa.

IHC analysis of AGR2 using anti-AGR2 antibody (A00599).
AGR2 was detected in a paraffin-embedded section of human cervical cancer tissue. The tissue section was incubated with rabbit anti-AGR2 Antibody (A00599) at a dilution of 1:200 and developed using HRP Conjugated Rabbit IgG Super Vision Assay Kit (Catalog # SV0002) with DAB (Catalog # AR1027) as the chromogen.

IHC analysis of AGR2 using anti-AGR2 antibody (A00599).
AGR2 was detected in a paraffin-embedded section of rat heart tissue. The tissue section was incubated with rabbit anti-AGR2 Antibody (A00599) at a dilution of 1:200 and developed using HRP Conjugated Rabbit IgG Super Vision Assay Kit (Catalog # SV0002) with DAB (Catalog # AR1027) as the chromogen.

IHC analysis of AGR2 using anti-AGR2 antibody (A00599).
AGR2 was detected in a paraffin-embedded section of rat heart tissue. The tissue section was incubated with rabbit anti-AGR2 Antibody (A00599) at a dilution of 1:200 and developed using HRP Conjugated Rabbit IgG Super Vision Assay Kit (Catalog # SV0002) with DAB (Catalog # AR1027) as the chromogen.

IHC analysis of AGR2 using anti-AGR2 antibody (A00599).
AGR2 was detected in a paraffin-embedded section of mouse heart tissue. The tissue section was incubated with rabbit anti-AGR2 Antibody (A00599) at a dilution of 1:200 and developed using HRP Conjugated Rabbit IgG Super Vision Assay Kit (Catalog # SV0002) with DAB (Catalog # AR1027) as the chromogen.






