| Western blot (WB): | 1:500-2000 |
| Immunohistochemistry (IHC): | 1:50-400 |
| Immunocytochemistry/Immunofluorescence(ICC/IF): | 1:50-400 |
| (Boiling the paraffin sections in 10mM citrate buffer,pH6.0,or PH8.0 EDTA repair liquid for 20 mins is required for the staining of formalin/paraffin sections.) Optimal working dilutions must be determined by end user. | |

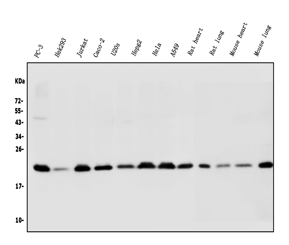
Western blot analysis of BAK/BAK1 using anti-BAK/BAK1 antibody (BA0411). The sample well of each lane was loaded with 30 ug of sample under reducing conditions.
Lane 1: human PC-3 whole cell lysates,
Lane 2: human HEK293 whole cell lysates,
Lane 3: human Jurkat whole cell lysates,
Lane 4: human CACO-2 whole cell lysates,
Lane 5: human U2OS whole cell lysates,
Lane 6: human HEPG2 whole cell lysates,
Lane 7: human HELA whole cell lysates,
Lane 8: human A549 whole cell lysates,
Lane 9: rat heart tissue lysates,
Lane 10: rat lung tissue lysates,
Lane 11: mouse heart tissue lysates,
Lane 12: mouse lung tissue lysates.
After electrophoresis, proteins were transferred to a membrane. Then the membrane was incubated with rabbit anti-BAK/BAK1 antigen affinity purified polyclonal antibody (BA0411) at a dilution of 1:1000 and probed with a goat anti-rabbit IgG-HRP secondary antibody (Catalog # BA1054). The signal is developed using ECL Plus Western Blotting Substrate (Catalog # AR1197). A specific band was detected for BAK/BAK1 at approximately 23-25 kDa. The expected band size for BAK/BAK1 is at 23 kDa.

IHC analysis of BAK/BAK1 using anti-BAK/BAK1 antibody (BA0411).
BAK/BAK1 was detected in a paraffin-embedded section of human mammary cancer tissue. Biotinylated goat anti-rabbit IgG was used as secondary antibody. The tissue section was incubated with rabbit anti-BAK/BAK1 Antibody (BA0411) at a dilution of 1:200 and developed using Strepavidin-Biotin-Complex (SABC) (Catalog # SA1022) with DAB (Catalog # AR1027) as the chromogen.

IHC analysis of BAK/BAK1 using anti-BAK/BAK1 antibody (BA0411).
BAK/BAK1 was detected in a paraffin-embedded section of rat intestine tissue. Biotinylated goat anti-rabbit IgG was used as secondary antibody. The tissue section was incubated with rabbit anti-BAK/BAK1 Antibody (BA0411) at a dilution of 1:200 and developed using Strepavidin-Biotin-Complex (SABC) (Catalog # SA1022) with DAB (Catalog # AR1027) as the chromogen.

ICC/IF analysis of BAK/BAK1 using anti-BAK/BAK1 antibody (BA0411).
BAK/BAK1 was detected in an immunocytochemical section of MCF-7 cells. The section was incubated with rabbit anti-BAK/BAK1 Antibody (BA0411) at a dilution of 1:100. Fluoro488 Conjugated Goat Anti-Rabbit IgG (Green) (Catalog # BA1127) was used as secondary antibody. The section was counterstained with DAPI (Catalog # AR1176) (Blue).

Western blot analysis of BAK/BAK1 using anti-BAK/BAK1 antibody (BA0411). The sample well of each lane was loaded with 30 ug of sample under reducing conditions.
Lane 1: human PC-3 whole cell lysates,
Lane 2: human HEK293 whole cell lysates,
Lane 3: human Jurkat whole cell lysates,
Lane 4: human CACO-2 whole cell lysates,
Lane 5: human U2OS whole cell lysates,
Lane 6: human HEPG2 whole cell lysates,
Lane 7: human HELA whole cell lysates,
Lane 8: human A549 whole cell lysates,
Lane 9: rat heart tissue lysates,
Lane 10: rat lung tissue lysates,
Lane 11: mouse heart tissue lysates,
Lane 12: mouse lung tissue lysates.
After electrophoresis, proteins were transferred to a membrane. Then the membrane was incubated with rabbit anti-BAK/BAK1 antigen affinity purified polyclonal antibody (BA0411) at a dilution of 1:1000 and probed with a goat anti-rabbit IgG-HRP secondary antibody (Catalog # BA1054). The signal is developed using ECL Plus Western Blotting Substrate (Catalog # AR1197). A specific band was detected for BAK/BAK1 at approximately 23-25 kDa. The expected band size for BAK/BAK1 is at 23 kDa.

IHC analysis of BAK/BAK1 using anti-BAK/BAK1 antibody (BA0411).
BAK/BAK1 was detected in a paraffin-embedded section of human mammary cancer tissue. Biotinylated goat anti-rabbit IgG was used as secondary antibody. The tissue section was incubated with rabbit anti-BAK/BAK1 Antibody (BA0411) at a dilution of 1:200 and developed using Strepavidin-Biotin-Complex (SABC) (Catalog # SA1022) with DAB (Catalog # AR1027) as the chromogen.

IHC analysis of BAK/BAK1 using anti-BAK/BAK1 antibody (BA0411).
BAK/BAK1 was detected in a paraffin-embedded section of rat intestine tissue. Biotinylated goat anti-rabbit IgG was used as secondary antibody. The tissue section was incubated with rabbit anti-BAK/BAK1 Antibody (BA0411) at a dilution of 1:200 and developed using Strepavidin-Biotin-Complex (SABC) (Catalog # SA1022) with DAB (Catalog # AR1027) as the chromogen.

ICC/IF analysis of BAK/BAK1 using anti-BAK/BAK1 antibody (BA0411).
BAK/BAK1 was detected in an immunocytochemical section of MCF-7 cells. The section was incubated with rabbit anti-BAK/BAK1 Antibody (BA0411) at a dilution of 1:100. Fluoro488 Conjugated Goat Anti-Rabbit IgG (Green) (Catalog # BA1127) was used as secondary antibody. The section was counterstained with DAPI (Catalog # AR1176) (Blue).



