| Western blot (WB): | 1:500-2000 |
| Immunohistochemistry (IHC): | 1:50-400 |
| ELISA(Cap): | 1:50-1:200 |
| (Boiling the paraffin sections in 10mM citrate buffer,pH6.0,or PH8.0 EDTA repair liquid for 20 mins is required for the staining of formalin/paraffin sections.) Optimal working dilutions must be determined by end user. | |

Western blot analysis of anti-VE-Cadherin/CDH5 antibody (A02632-2). The sample well of each lane was loaded with 30 ug of sample under reducing conditions.
Lane 1: mouse lung tissue lysates.
After electrophoresis, proteins were transferred to a membrane. Then the membrane was incubated with rabbit anti-VE-Cadherin/CDH5 antigen affinity purified polyclonal antibody (A02632-2) and probed with a goat anti-rabbit IgG-HRP secondary antibody (Catalog # BA1054). The signal is developed using ECL Plus Western Blotting Substrate (Catalog # AR1197). A specific band was detected for VE-Cadherin/CDH5 at approximately 120 kDa. The expected band size for VE-Cadherin/CDH5 is at 88 kDa.

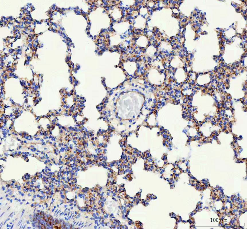
IHC analysis of VE-Cadherin/CDH5 using anti-VE-Cadherin/CDH5 antibody (A02632-2).
VE-Cadherin/CDH5 was detected in a paraffin-embedded section of mouse lung tissue. The tissue section was developed using HRP Conjugated Rabbit IgG Super Vision Assay Kit (Catalog # SV0002) with DAB (Catalog # AR1027) as the chromogen.

IHC analysis of VE-Cadherin/CDH5 using anti-VE-Cadherin/CDH5 antibody (A02632-2).
VE-Cadherin/CDH5 was detected in a paraffin-embedded section of rat lung tissue. The tissue section was developed using HRP Conjugated Rabbit IgG Super Vision Assay Kit (Catalog # SV0002) with DAB (Catalog # AR1027) as the chromogen.

Western blot analysis of anti-VE-Cadherin/CDH5 antibody (A02632-2). The sample well of each lane was loaded with 30 ug of sample under reducing conditions.
Lane 1: mouse lung tissue lysates.
After electrophoresis, proteins were transferred to a membrane. Then the membrane was incubated with rabbit anti-VE-Cadherin/CDH5 antigen affinity purified polyclonal antibody (A02632-2) and probed with a goat anti-rabbit IgG-HRP secondary antibody (Catalog # BA1054). The signal is developed using ECL Plus Western Blotting Substrate (Catalog # AR1197). A specific band was detected for VE-Cadherin/CDH5 at approximately 120 kDa. The expected band size for VE-Cadherin/CDH5 is at 88 kDa.

IHC analysis of VE-Cadherin/CDH5 using anti-VE-Cadherin/CDH5 antibody (A02632-2).
VE-Cadherin/CDH5 was detected in a paraffin-embedded section of mouse lung tissue. The tissue section was developed using HRP Conjugated Rabbit IgG Super Vision Assay Kit (Catalog # SV0002) with DAB (Catalog # AR1027) as the chromogen.

IHC analysis of VE-Cadherin/CDH5 using anti-VE-Cadherin/CDH5 antibody (A02632-2).
VE-Cadherin/CDH5 was detected in a paraffin-embedded section of rat lung tissue. The tissue section was developed using HRP Conjugated Rabbit IgG Super Vision Assay Kit (Catalog # SV0002) with DAB (Catalog # AR1027) as the chromogen.




