| Western blot (WB): | 1:500-2000 |
| Immunohistochemistry (IHC): | 1:50-400 |
| Immunofluorescence (IF): | 1:50-400 |
| Flow Cytometry (Fixed): | 1:50-200 |
| Enzyme linked immunosorbent assay (ELISA): | 1:100-1000 |
| (Boiling the paraffin sections in 10mM citrate buffer,pH6.0,or PH8.0 EDTA repair liquid for 20 mins is required for the staining of formalin/paraffin sections.) Optimal working dilutions must be determined by end user. | |

Western blot analysis of VE-Cadherin/CDH5 using anti-VE-Cadherin/CDH5 antibody (A02632-1). The sample well of each lane was loaded with 30 ug of sample under reducing conditions.
Lane 1: human Hela whole cell lysates,
Lane 2: human 293T whole cell lysates.
After electrophoresis, proteins were transferred to a membrane. Then the membrane was incubated with rabbit anti-VE-Cadherin/CDH5 antigen affinity purified polyclonal antibody (A02632-1) at a dilution of 1:1000 and probed with a goat anti-rabbit IgG-HRP secondary antibody (Catalog # BA1054). The signal is developed using ECL Plus Western Blotting Substrate (Catalog # AR1197). A specific band was detected for VE-Cadherin/CDH5 at approximately 120 kDa. The expected band size for VE-Cadherin/CDH5 is at 88 kDa.

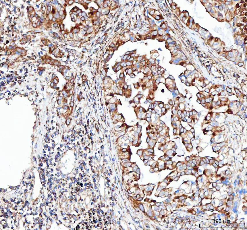
IHC analysis of VE-Cadherin/CDH5 using anti-VE-Cadherin/CDH5 antibody (A02632-1) .
VE-Cadherin/CDH5 was detected in a paraffin-embedded section of human lung adenocarcinoma tissue. The tissue section was incubated with rabbit anti-VE-Cadherin/CDH5 Antibody (A02632-1) at a dilution of 1:200 and developed using HRP Conjugated Rabbit IgG Super Vision Assay Kit (Catalog # SV0002) with DAB (Catalog # AR1027) as the chromogen.

IHC analysis of VE-Cadherin/CDH5 using anti-VE-Cadherin/CDH5 antibody (A02632-1) .
VE-Cadherin/CDH5 was detected in a paraffin-embedded section of human placenta tissue. The tissue section was incubated with rabbit anti-VE-Cadherin/CDH5 Antibody (A02632-1) at a dilution of 1:200 and developed using HRP Conjugated Rabbit IgG Super Vision Assay Kit (Catalog # SV0002) with DAB (Catalog # AR1027) as the chromogen.

IHC analysis of VE-Cadherin/CDH5 using anti-VE-Cadherin/CDH5 antibody (A02632-1) .
VE-Cadherin/CDH5 was detected in a paraffin-embedded section of human spleen tissue. The tissue section was incubated with rabbit anti-VE-Cadherin/CDH5 Antibody (A02632-1) at a dilution of 1:200 and developed using HRP Conjugated Rabbit IgG Super Vision Assay Kit (Catalog # SV0002) with DAB (Catalog # AR1027) as the chromogen.

IF analysis of VE-Cadherin/CDH5 using anti-VE-Cadherin/CDH5 antibody (A02632-1).
VE-Cadherin/CDH5 was detected in a paraffin-embedded section of human lung cancer tissue. The tissue section was incubated with rabbit anti-VE-Cadherin/CDH5 Antibody (A02632-1) at a dilution of 1:100. Cy3-conjugated Anti-rabbit IgG Secondary Antibody (red)(Catalog#BA1032) was used as secondary antibody. The section was counterstained with DAPI (Catalog # AR1176) (Blue).

Flow Cytometry analysis of HepG2 cells using anti-VE-Cadherin/CDH5 antibody (A02632-1).
Overlay histogram showing HepG2 cells stained with A02632-1 (Blue line). The cells were fixed with 4% paraformaldehyde and blocked with 10% normal goat serum. And then incubated with rabbit anti-VE-Cadherin/CDH5 Antibody (A02632-1) at 1:100 dilution for 30 min at 20°C. Fluoro488 conjugated goat anti-rabbit IgG (BA1127) was used as secondary antibody at 1:100 dilution for 30 minutes at 20°C. Isotype control antibody (Green line) was rabbit IgG at 1:100 dilution used under the same conditions. Unlabelled sample (Red line) was also used as a control.

Western blot analysis of VE-Cadherin/CDH5 using anti-VE-Cadherin/CDH5 antibody (A02632-1). The sample well of each lane was loaded with 30 ug of sample under reducing conditions.
Lane 1: human Hela whole cell lysates,
Lane 2: human 293T whole cell lysates.
After electrophoresis, proteins were transferred to a membrane. Then the membrane was incubated with rabbit anti-VE-Cadherin/CDH5 antigen affinity purified polyclonal antibody (A02632-1) at a dilution of 1:1000 and probed with a goat anti-rabbit IgG-HRP secondary antibody (Catalog # BA1054). The signal is developed using ECL Plus Western Blotting Substrate (Catalog # AR1197). A specific band was detected for VE-Cadherin/CDH5 at approximately 120 kDa. The expected band size for VE-Cadherin/CDH5 is at 88 kDa.

IHC analysis of VE-Cadherin/CDH5 using anti-VE-Cadherin/CDH5 antibody (A02632-1) .
VE-Cadherin/CDH5 was detected in a paraffin-embedded section of human lung adenocarcinoma tissue. The tissue section was incubated with rabbit anti-VE-Cadherin/CDH5 Antibody (A02632-1) at a dilution of 1:200 and developed using HRP Conjugated Rabbit IgG Super Vision Assay Kit (Catalog # SV0002) with DAB (Catalog # AR1027) as the chromogen.

IHC analysis of VE-Cadherin/CDH5 using anti-VE-Cadherin/CDH5 antibody (A02632-1) .
VE-Cadherin/CDH5 was detected in a paraffin-embedded section of human placenta tissue. The tissue section was incubated with rabbit anti-VE-Cadherin/CDH5 Antibody (A02632-1) at a dilution of 1:200 and developed using HRP Conjugated Rabbit IgG Super Vision Assay Kit (Catalog # SV0002) with DAB (Catalog # AR1027) as the chromogen.

IHC analysis of VE-Cadherin/CDH5 using anti-VE-Cadherin/CDH5 antibody (A02632-1) .
VE-Cadherin/CDH5 was detected in a paraffin-embedded section of human spleen tissue. The tissue section was incubated with rabbit anti-VE-Cadherin/CDH5 Antibody (A02632-1) at a dilution of 1:200 and developed using HRP Conjugated Rabbit IgG Super Vision Assay Kit (Catalog # SV0002) with DAB (Catalog # AR1027) as the chromogen.

IF analysis of VE-Cadherin/CDH5 using anti-VE-Cadherin/CDH5 antibody (A02632-1).
VE-Cadherin/CDH5 was detected in a paraffin-embedded section of human lung cancer tissue. The tissue section was incubated with rabbit anti-VE-Cadherin/CDH5 Antibody (A02632-1) at a dilution of 1:100. Cy3-conjugated Anti-rabbit IgG Secondary Antibody (red)(Catalog#BA1032) was used as secondary antibody. The section was counterstained with DAPI (Catalog # AR1176) (Blue).

Flow Cytometry analysis of HepG2 cells using anti-VE-Cadherin/CDH5 antibody (A02632-1).
Overlay histogram showing HepG2 cells stained with A02632-1 (Blue line). The cells were fixed with 4% paraformaldehyde and blocked with 10% normal goat serum. And then incubated with rabbit anti-VE-Cadherin/CDH5 Antibody (A02632-1) at 1:100 dilution for 30 min at 20°C. Fluoro488 conjugated goat anti-rabbit IgG (BA1127) was used as secondary antibody at 1:100 dilution for 30 minutes at 20°C. Isotype control antibody (Green line) was rabbit IgG at 1:100 dilution used under the same conditions. Unlabelled sample (Red line) was also used as a control.







