| Western blot (WB): | 1:500-2000 |
| Immunohistochemistry (IHC): | 1:50-400 |
| Immunocytochemistry/Immunofluorescence (ICC/IF): | 1:50-400 |
| Enzyme linked immunosorbent assay (ELISA): | 1:100-1000 |
| (Boiling the paraffin sections in 10mM citrate buffer,pH6.0,or PH8.0 EDTA repair liquid for 20 mins is required for the staining of formalin/paraffin sections.) Optimal working dilutions must be determined by end user. | |

Western blot analysis of ATG16L1 using anti-ATG16L1 antibody (A00526-3). The sample well of each lane was loaded with 30 ug of sample under reducing conditions.
Lane 1: MCF-7 whole cell lysates,
Lane 2: Jurkat whole cell lysates,
Lane 3: 293T whole cell lysates,
Lane 4: PANC-1 whole cell lysates.
After electrophoresis, proteins were transferred to a membrane. Then the membrane was incubated with rabbit anti-ATG16L1 antigen affinity purified polyclonal antibody (A00526-3) at a dilution of 1:1000 and probed with a goat anti-rabbit IgG-HRP secondary antibody (Catalog # BA1054). The signal is developed using ECL Plus Western Blotting Substrate (Catalog # AR1197). A specific band was detected for ATG16L1 at approximately 68 kDa. The expected band size for ATG16L1 is at 68 kDa.

IHC analysis of ATG16L1 using anti-ATG16L1 antibody (A00526-3).
ATG16L1 was detected in a paraffin-embedded section of human the renal pelvis is squamous metaplasia tissue. Biotinylated goat anti-rabbit IgG was used as secondary antibody. The tissue section was incubated with rabbit anti-ATG16L1 Antibody (A00526-3) at a dilution of 1:200 and developed using Strepavidin-Biotin-Complex (SABC) (Catalog # SA1022) with DAB (Catalog # AR1027) as the chromogen.

IHC analysis of ATG16L1 using anti-ATG16L1 antibody (A00526-3).
ATG16L1 was detected in a paraffin-embedded section of human lung cancer tissue. Biotinylated goat anti-rabbit IgG was used as secondary antibody. The tissue section was incubated with rabbit anti-ATG16L1 Antibody (A00526-3) at a dilution of 1:200 and developed using Strepavidin-Biotin-Complex (SABC) (Catalog # SA1022) with DAB (Catalog # AR1027) as the chromogen.

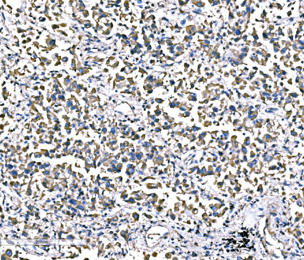
IHC analysis of ATG16L1 using anti-ATG16L1 antibody (A00526-3).
ATG16L1 was detected in a paraffin-embedded section of human esophageal squamous carcinoma tissue. Biotinylated goat anti-rabbit IgG was used as secondary antibody. The tissue section was incubated with rabbit anti-ATG16L1 Antibody (A00526-3) at a dilution of 1:200 and developed using Strepavidin-Biotin-Complex (SABC) (Catalog # SA1022) with DAB (Catalog # AR1027) as the chromogen.

ICC/IF analysis of ATG16L1 using anti-ATG16L1 antibody (A00526-3).
ATG16L1 was detected in an immunocytochemical section of A431 cells. The section was incubated with rabbit anti-ATG16L1 Antibody (A00526-3) at a dilution of 1:100. Fluoro488 Conjugated Goat Anti-Rabbit IgG (Green) (Catalog # BA1127) was used as secondary antibody. The section was counterstained with DAPI (Catalog # AR1176) (Blue).

Western blot analysis of ATG16L1 using anti-ATG16L1 antibody (A00526-3). The sample well of each lane was loaded with 30 ug of sample under reducing conditions.
Lane 1: MCF-7 whole cell lysates,
Lane 2: Jurkat whole cell lysates,
Lane 3: 293T whole cell lysates,
Lane 4: PANC-1 whole cell lysates.
After electrophoresis, proteins were transferred to a membrane. Then the membrane was incubated with rabbit anti-ATG16L1 antigen affinity purified polyclonal antibody (A00526-3) at a dilution of 1:1000 and probed with a goat anti-rabbit IgG-HRP secondary antibody (Catalog # BA1054). The signal is developed using ECL Plus Western Blotting Substrate (Catalog # AR1197). A specific band was detected for ATG16L1 at approximately 68 kDa. The expected band size for ATG16L1 is at 68 kDa.

IHC analysis of ATG16L1 using anti-ATG16L1 antibody (A00526-3).
ATG16L1 was detected in a paraffin-embedded section of human the renal pelvis is squamous metaplasia tissue. Biotinylated goat anti-rabbit IgG was used as secondary antibody. The tissue section was incubated with rabbit anti-ATG16L1 Antibody (A00526-3) at a dilution of 1:200 and developed using Strepavidin-Biotin-Complex (SABC) (Catalog # SA1022) with DAB (Catalog # AR1027) as the chromogen.

IHC analysis of ATG16L1 using anti-ATG16L1 antibody (A00526-3).
ATG16L1 was detected in a paraffin-embedded section of human lung cancer tissue. Biotinylated goat anti-rabbit IgG was used as secondary antibody. The tissue section was incubated with rabbit anti-ATG16L1 Antibody (A00526-3) at a dilution of 1:200 and developed using Strepavidin-Biotin-Complex (SABC) (Catalog # SA1022) with DAB (Catalog # AR1027) as the chromogen.

IHC analysis of ATG16L1 using anti-ATG16L1 antibody (A00526-3).
ATG16L1 was detected in a paraffin-embedded section of human esophageal squamous carcinoma tissue. Biotinylated goat anti-rabbit IgG was used as secondary antibody. The tissue section was incubated with rabbit anti-ATG16L1 Antibody (A00526-3) at a dilution of 1:200 and developed using Strepavidin-Biotin-Complex (SABC) (Catalog # SA1022) with DAB (Catalog # AR1027) as the chromogen.

ICC/IF analysis of ATG16L1 using anti-ATG16L1 antibody (A00526-3).
ATG16L1 was detected in an immunocytochemical section of A431 cells. The section was incubated with rabbit anti-ATG16L1 Antibody (A00526-3) at a dilution of 1:100. Fluoro488 Conjugated Goat Anti-Rabbit IgG (Green) (Catalog # BA1127) was used as secondary antibody. The section was counterstained with DAPI (Catalog # AR1176) (Blue).






