| Western blot (WB): | 1:500-2000 |
| Immunohistochemistry (IHC): | 1:50-400 |
| Immunofluorescence (IF): | 1:50-400 |
| (Boiling the paraffin sections in 10mM citrate buffer,pH6.0,or PH8.0 EDTA repair liquid for 20 mins is required for the staining of formalin/paraffin sections.) Optimal working dilutions must be determined by end user. | |

Western blot analysis of CDK4 using anti-CDK4 antibody (PB9535). The sample well of each lane was loaded with 30 ug of sample under reducing conditions.
Lane 1: HELA whole cell lysates,
Lane 2: K562 whole cell lysates,
Lane 3: PC-12 whole cell lysates,
Lane 4: NIH/3T3 whole cell lysates,
Lane 5: RAW264.7 whole cell lysates.
After electrophoresis, proteins were transferred to a membrane. Then the membrane was incubated with rabbit anti-CDK4 antigen affinity purified polyclonal antibody (PB9535) at a dilution of 1:1000 and probed with a goat anti-rabbit IgG-HRP secondary antibody (Catalog # BA1054). The signal is developed using ECL Plus Western Blotting Substrate (Catalog # AR1197). A specific band was detected for CDK4 at approximately 34 kDa. The expected band size for CDK4 is at 34 kDa.

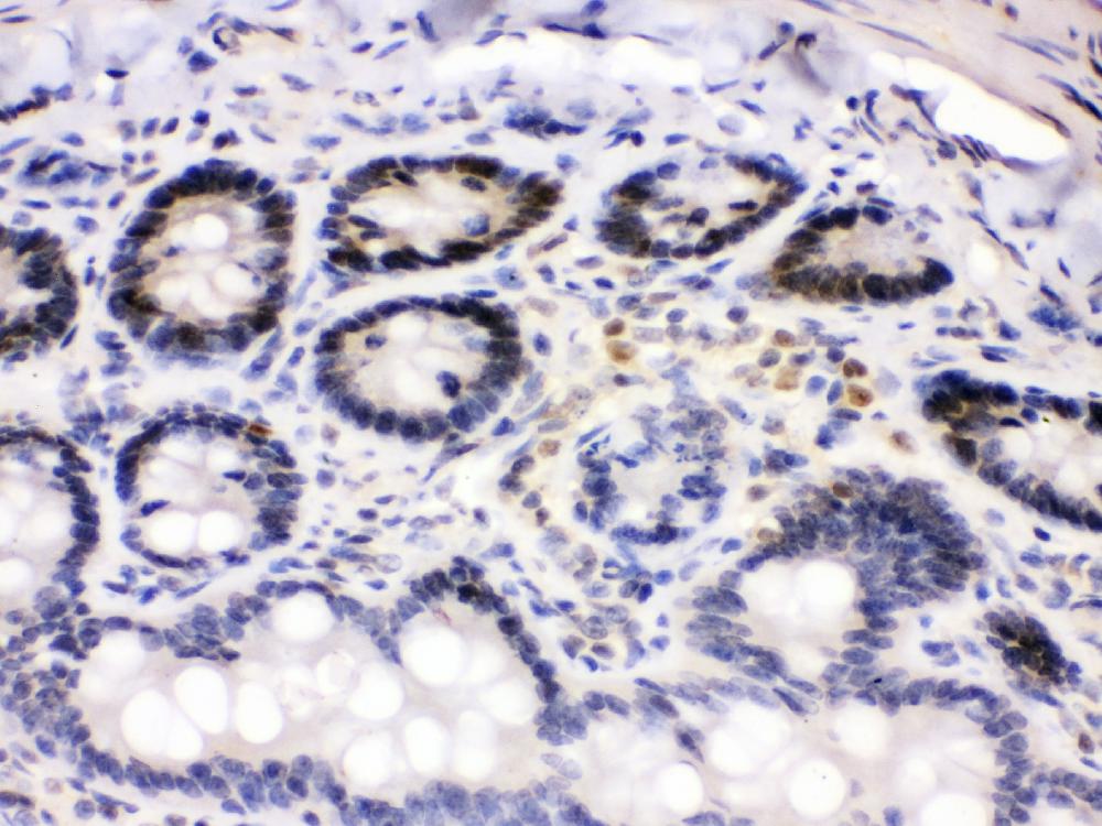
IHC analysis of CDK4 using anti-CDK4 antibody (PB9535).
CDK4 was detected in a paraffin-embedded section of mouse intestine tissue. Biotinylated goat anti-rabbit IgG was used as secondary antibody. The tissue section was incubated with rabbit anti-CDK4 Antibody (PB9535) at a dilution of 1:200 and developed using Strepavidin-Biotin-Complex (SABC) (Catalog # SA1022) with DAB (Catalog # AR1027) as the chromogen.

IHC analysis of CDK4 using anti-CDK4 antibody (PB9535).
CDK4 was detected in a paraffin-embedded section of rat intestine tissue. Biotinylated goat anti-rabbit IgG was used as secondary antibody. The tissue section was incubated with rabbit anti-CDK4 Antibody (PB9535) at a dilution of 1:200 and developed using Strepavidin-Biotin-Complex (SABC) (Catalog # SA1022) with DAB (Catalog # AR1027) as the chromogen.

IHC analysis of CDK4 using anti-CDK4 antibody (PB9535).
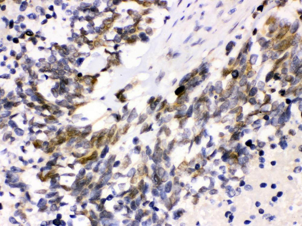
CDK4 was detected in a paraffin-embedded section of human lung cancer tissue. Biotinylated goat anti-rabbit IgG was used as secondary antibody. The tissue section was incubated with rabbit anti-CDK4 Antibody (PB9535) at a dilution of 1:200 and developed using Strepavidin-Biotin-Complex (SABC) (Catalog # SA1022) with DAB (Catalog # AR1027) as the chromogen.

IF analysis of CDK4 using anti-CDK4 antibody (PB9535).
CDK4 was detected in a paraffin-embedded section of human colon cancer tissue. Cy3-conjugated Anti-rabbit IgG Secondary Antibody (red)(Catalog#BA1032) was used as secondary antibody. The section was counterstained with DAPI (Catalog # AR1176) (Blue).

Western blot analysis of CDK4 using anti-CDK4 antibody (PB9535). The sample well of each lane was loaded with 30 ug of sample under reducing conditions.
Lane 1: HELA whole cell lysates,
Lane 2: K562 whole cell lysates,
Lane 3: PC-12 whole cell lysates,
Lane 4: NIH/3T3 whole cell lysates,
Lane 5: RAW264.7 whole cell lysates.
After electrophoresis, proteins were transferred to a membrane. Then the membrane was incubated with rabbit anti-CDK4 antigen affinity purified polyclonal antibody (PB9535) at a dilution of 1:1000 and probed with a goat anti-rabbit IgG-HRP secondary antibody (Catalog # BA1054). The signal is developed using ECL Plus Western Blotting Substrate (Catalog # AR1197). A specific band was detected for CDK4 at approximately 34 kDa. The expected band size for CDK4 is at 34 kDa.

IHC analysis of CDK4 using anti-CDK4 antibody (PB9535).
CDK4 was detected in a paraffin-embedded section of mouse intestine tissue. Biotinylated goat anti-rabbit IgG was used as secondary antibody. The tissue section was incubated with rabbit anti-CDK4 Antibody (PB9535) at a dilution of 1:200 and developed using Strepavidin-Biotin-Complex (SABC) (Catalog # SA1022) with DAB (Catalog # AR1027) as the chromogen.

IHC analysis of CDK4 using anti-CDK4 antibody (PB9535).
CDK4 was detected in a paraffin-embedded section of rat intestine tissue. Biotinylated goat anti-rabbit IgG was used as secondary antibody. The tissue section was incubated with rabbit anti-CDK4 Antibody (PB9535) at a dilution of 1:200 and developed using Strepavidin-Biotin-Complex (SABC) (Catalog # SA1022) with DAB (Catalog # AR1027) as the chromogen.

IHC analysis of CDK4 using anti-CDK4 antibody (PB9535).
CDK4 was detected in a paraffin-embedded section of human lung cancer tissue. Biotinylated goat anti-rabbit IgG was used as secondary antibody. The tissue section was incubated with rabbit anti-CDK4 Antibody (PB9535) at a dilution of 1:200 and developed using Strepavidin-Biotin-Complex (SABC) (Catalog # SA1022) with DAB (Catalog # AR1027) as the chromogen.

IF analysis of CDK4 using anti-CDK4 antibody (PB9535).
CDK4 was detected in a paraffin-embedded section of human colon cancer tissue. Cy3-conjugated Anti-rabbit IgG Secondary Antibody (red)(Catalog#BA1032) was used as secondary antibody. The section was counterstained with DAPI (Catalog # AR1176) (Blue).




