| Western blot (WB): | 1:500-2000 |
| Immunohistochemistry (IHC): | 1:50-400 |
| Immunocytochemistry/Immunofluorescence (ICC/IF): | 1:50-400 |
| Flow Cytometry (Fixed): | 1:50-200 |
| (Boiling the paraffin sections in 10mM citrate buffer,pH6.0,or PH8.0 EDTA repair liquid for 20 mins is required for the staining of formalin/paraffin sections.) Optimal working dilutions must be determined by end user. | |

Western blot analysis of ZO-1/TJP1 using anti-ZO-1/TJP1 antibody (PB9234). The sample well of each lane was loaded with 30 ug of sample under reducing conditions.
Lane 1: human PC-3 whole cell lysates,
Lane 2: human Caco-2 whole cell lysates,
Lane 3: human Colo320 whole cell lysates,
Lane 4: rat testis tissue lysates,
Lane 5: mouse testis tissue lysates.
After electrophoresis, proteins were transferred to a membrane. Then the membrane was incubated with rabbit anti-ZO-1/TJP1 antigen affinity purified polyclonal antibody (PB9234) at a dilution of 1:1000 and probed with a goat anti-rabbit IgG-HRP secondary antibody (Catalog # BA1054). The signal is developed using ECL Plus Western Blotting Substrate (Catalog # AR1197). A specific band was detected for ZO-1/TJP1 at approximately 220 kDa. The expected band size for ZO-1/TJP1 is at 195 kDa.

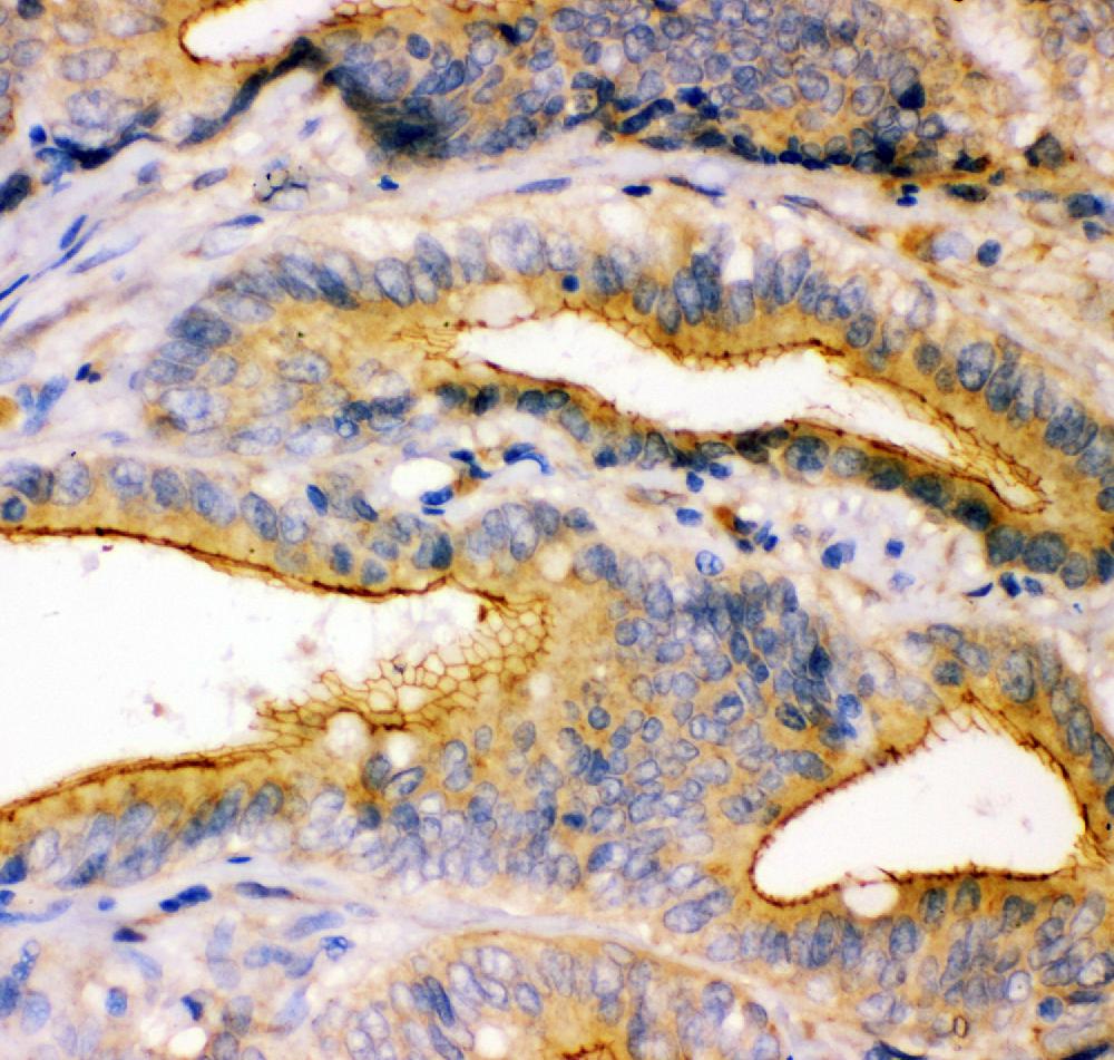
IHC analysis of ZO-1/TJP1 using anti-ZO-1/TJP1 antibody (PB9234).
ZO-1/TJP1 was detected in a paraffin-embedded section of human intestinal cancer tissue. Biotinylated goat anti-rabbit IgG was used as secondary antibody. The tissue section was incubated with rabbit anti-ZO-1/TJP1 Antibody (PB9234) at a dilution of 1:200 and developed using Strepavidin-Biotin-Complex (SABC) (Catalog # SA1022) with DAB (Catalog # AR1027) as the chromogen.

ICC/IF analysis of ZO-1/TJP1 using anti-ZO-1/TJP1 antibody (PB9234).
ZO-1/TJP1 was detected in an immunocytochemical section of A431 cells. The section was incubated with rabbit anti-ZO-1/TJP1 Antibody (PB9234) at a dilution of 1:100. Fluoro488 Conjugated Goat Anti-Rabbit IgG (Green) (Catalog # BA1127) was used as secondary antibody. The section was counterstained with DAPI (Catalog # AR1176) (Blue).

Flow Cytometry analysis of K562 cells using anti-ZO-1/TJP1 antibody (PB9234).
Overlay histogram showing K562 cells stained with PB9234 (Blue line). The cells were fixed with 4% paraformaldehyde and blocked with 10% normal goat serum. And then incubated with rabbit anti-ZO-1/TJP1 Antibody (PB9234) at 1:100 dilution for 30 min at 20°C. Fluoro488 conjugated goat anti-rabbit IgG (BA1127) was used as secondary antibody at 1:100 dilution for 30 minutes at 20°C. Isotype control antibody (Green line) was rabbit IgG at 1:100 dilution used under the same conditions. Unlabelled sample without incubation with primary antibody and secondary antibody (Red line) was used as a blank control.

Western blot analysis of ZO-1/TJP1 using anti-ZO-1/TJP1 antibody (PB9234). The sample well of each lane was loaded with 30 ug of sample under reducing conditions.
Lane 1: human PC-3 whole cell lysates,
Lane 2: human Caco-2 whole cell lysates,
Lane 3: human Colo320 whole cell lysates,
Lane 4: rat testis tissue lysates,
Lane 5: mouse testis tissue lysates.
After electrophoresis, proteins were transferred to a membrane. Then the membrane was incubated with rabbit anti-ZO-1/TJP1 antigen affinity purified polyclonal antibody (PB9234) at a dilution of 1:1000 and probed with a goat anti-rabbit IgG-HRP secondary antibody (Catalog # BA1054). The signal is developed using ECL Plus Western Blotting Substrate (Catalog # AR1197). A specific band was detected for ZO-1/TJP1 at approximately 220 kDa. The expected band size for ZO-1/TJP1 is at 195 kDa.

IHC analysis of ZO-1/TJP1 using anti-ZO-1/TJP1 antibody (PB9234).
ZO-1/TJP1 was detected in a paraffin-embedded section of human intestinal cancer tissue. Biotinylated goat anti-rabbit IgG was used as secondary antibody. The tissue section was incubated with rabbit anti-ZO-1/TJP1 Antibody (PB9234) at a dilution of 1:200 and developed using Strepavidin-Biotin-Complex (SABC) (Catalog # SA1022) with DAB (Catalog # AR1027) as the chromogen.

ICC/IF analysis of ZO-1/TJP1 using anti-ZO-1/TJP1 antibody (PB9234).
ZO-1/TJP1 was detected in an immunocytochemical section of A431 cells. The section was incubated with rabbit anti-ZO-1/TJP1 Antibody (PB9234) at a dilution of 1:100. Fluoro488 Conjugated Goat Anti-Rabbit IgG (Green) (Catalog # BA1127) was used as secondary antibody. The section was counterstained with DAPI (Catalog # AR1176) (Blue).

Flow Cytometry analysis of K562 cells using anti-ZO-1/TJP1 antibody (PB9234).
Overlay histogram showing K562 cells stained with PB9234 (Blue line). The cells were fixed with 4% paraformaldehyde and blocked with 10% normal goat serum. And then incubated with rabbit anti-ZO-1/TJP1 Antibody (PB9234) at 1:100 dilution for 30 min at 20°C. Fluoro488 conjugated goat anti-rabbit IgG (BA1127) was used as secondary antibody at 1:100 dilution for 30 minutes at 20°C. Isotype control antibody (Green line) was rabbit IgG at 1:100 dilution used under the same conditions. Unlabelled sample without incubation with primary antibody and secondary antibody (Red line) was used as a blank control.



