| Western blot (WB): | 1:500-2000 |
| Immunohistochemistry (IHC): | 1:50-400 |
| Enzyme linked immunosorbent assay (ELISA): | 1:100-1000 |
| (Boiling the paraffin sections in 10mM citrate buffer,pH6.0,or PH8.0 EDTA repair liquid for 20 mins is required for the staining of formalin/paraffin sections.) Optimal working dilutions must be determined by end user. | |

Western blot analysis of MMP9 using anti-MMP9 antibody (PB0709). The sample well of each lane was loaded with 30 ug of sample under reducing conditions.
Lane 1: A549 whole cell lysates.
After electrophoresis, proteins were transferred to a membrane. Then the membrane was incubated with rabbit anti-MMP9 antigen affinity purified polyclonal antibody (PB0709) at a dilution of 1:1000 and probed with a goat anti-rabbit IgG-HRP secondary antibody (Catalog # BA1054). The signal is developed using ECL Plus Western Blotting Substrate (Catalog # AR1197). A specific band was detected for MMP9 at approximately 78 kDa. The expected band size for MMP9 is at 79 kDa.

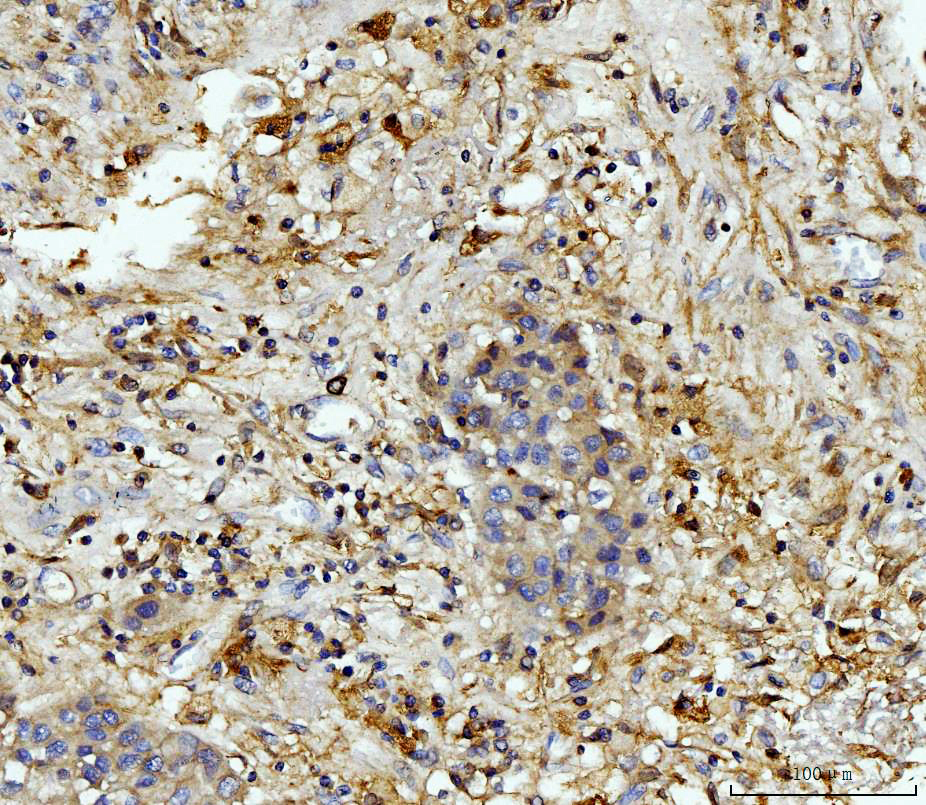
IHC analysis of MMP9 using anti-MMP9 antibody (PB0709).
MMP9 was detected in a paraffin-embedded section of human liver cancer tissue. Biotinylated goat anti-rabbit IgG was used as secondary antibody. The tissue section was incubated with rabbit anti-MMP9 Antibody (PB0709) at a dilution of 1:200 and developed using Strepavidin-Biotin-Complex (SABC) (Catalog # SA1022) with DAB (Catalog # AR1027) as the chromogen.

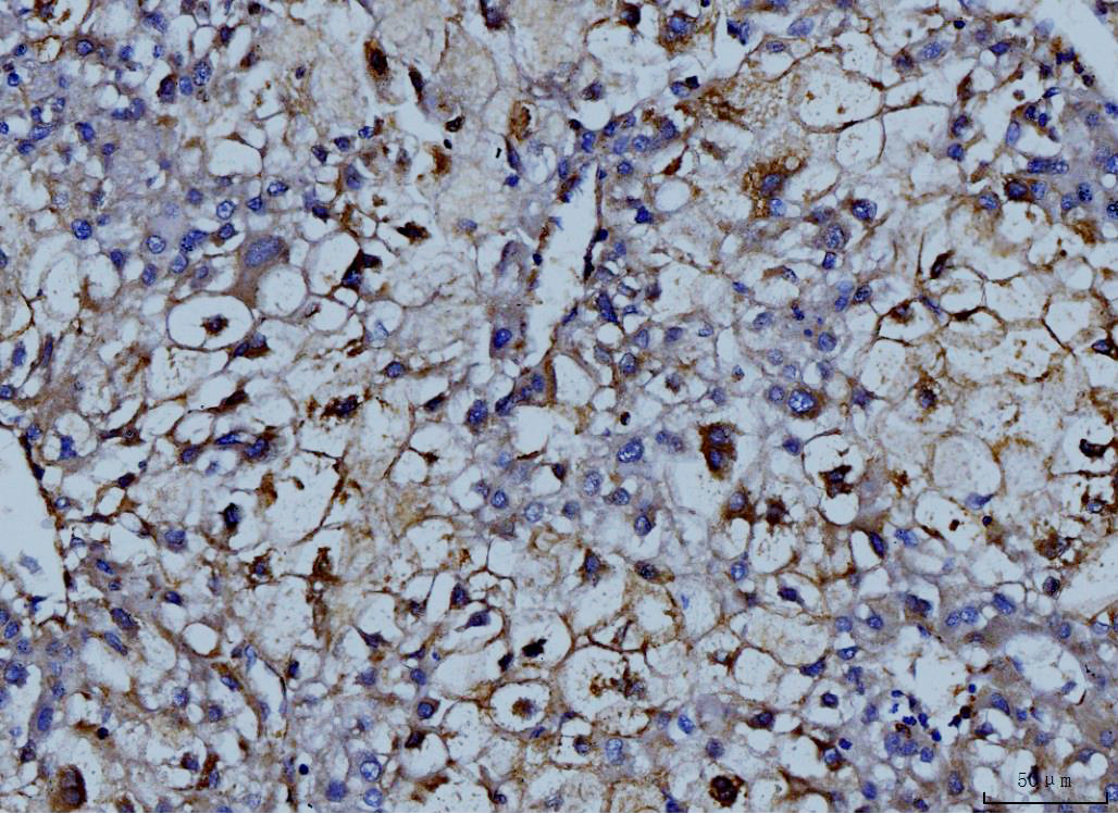
IHC analysis of MMP9 using anti-MMP9 antibody (PB0709).
MMP9 was detected in a paraffin-embedded section of human liver cancer tissue. Biotinylated goat anti-rabbit IgG was used as secondary antibody. The tissue section was incubated with rabbit anti-MMP9 Antibody (PB0709) at a dilution of 1:200 and developed using Strepavidin-Biotin-Complex (SABC) (Catalog # SA1022) with DAB (Catalog # AR1027) as the chromogen.

IHC analysis of MMP9 using anti-MMP9 antibody (PB0709).
MMP9 was detected in a paraffin-embedded section of human lymphadenoma tissue. Biotinylated goat anti-rabbit IgG was used as secondary antibody. The tissue section was incubated with rabbit anti-MMP9 Antibody (PB0709) at a dilution of 1:200 and developed using Strepavidin-Biotin-Complex (SABC) (Catalog # SA1022) with DAB (Catalog # AR1027) as the chromogen.

IHC analysis of MMP9 using anti-MMP9 antibody (PB0709).
MMP9 was detected in a paraffin-embedded section of human Lymph nodes of gastric adenocarcinoma tissue. Biotinylated goat anti-rabbit IgG was used as secondary antibody. The tissue section was incubated with rabbit anti-MMP9 Antibody (PB0709) at a dilution of 1:200 and developed using Strepavidin-Biotin-Complex (SABC) (Catalog # SA1022) with DAB (Catalog # AR1027) as the chromogen.

IHC analysis of MMP9 using anti-MMP9 antibody (PB0709).
MMP9 was detected in a paraffin-embedded section of human colonic adenocarcinoma tissue. Biotinylated goat anti-rabbit IgG was used as secondary antibody. The tissue section was incubated with rabbit anti-MMP9 Antibody (PB0709) at a dilution of 1:200 and developed using Strepavidin-Biotin-Complex (SABC) (Catalog # SA1022) with DAB (Catalog # AR1027) as the chromogen.

Western blot analysis of MMP9 using anti-MMP9 antibody (PB0709). The sample well of each lane was loaded with 30 ug of sample under reducing conditions.
Lane 1: A549 whole cell lysates.
After electrophoresis, proteins were transferred to a membrane. Then the membrane was incubated with rabbit anti-MMP9 antigen affinity purified polyclonal antibody (PB0709) at a dilution of 1:1000 and probed with a goat anti-rabbit IgG-HRP secondary antibody (Catalog # BA1054). The signal is developed using ECL Plus Western Blotting Substrate (Catalog # AR1197). A specific band was detected for MMP9 at approximately 78 kDa. The expected band size for MMP9 is at 79 kDa.

IHC analysis of MMP9 using anti-MMP9 antibody (PB0709).
MMP9 was detected in a paraffin-embedded section of human liver cancer tissue. Biotinylated goat anti-rabbit IgG was used as secondary antibody. The tissue section was incubated with rabbit anti-MMP9 Antibody (PB0709) at a dilution of 1:200 and developed using Strepavidin-Biotin-Complex (SABC) (Catalog # SA1022) with DAB (Catalog # AR1027) as the chromogen.

IHC analysis of MMP9 using anti-MMP9 antibody (PB0709).
MMP9 was detected in a paraffin-embedded section of human liver cancer tissue. Biotinylated goat anti-rabbit IgG was used as secondary antibody. The tissue section was incubated with rabbit anti-MMP9 Antibody (PB0709) at a dilution of 1:200 and developed using Strepavidin-Biotin-Complex (SABC) (Catalog # SA1022) with DAB (Catalog # AR1027) as the chromogen.

IHC analysis of MMP9 using anti-MMP9 antibody (PB0709).
MMP9 was detected in a paraffin-embedded section of human lymphadenoma tissue. Biotinylated goat anti-rabbit IgG was used as secondary antibody. The tissue section was incubated with rabbit anti-MMP9 Antibody (PB0709) at a dilution of 1:200 and developed using Strepavidin-Biotin-Complex (SABC) (Catalog # SA1022) with DAB (Catalog # AR1027) as the chromogen.

IHC analysis of MMP9 using anti-MMP9 antibody (PB0709).
MMP9 was detected in a paraffin-embedded section of human Lymph nodes of gastric adenocarcinoma tissue. Biotinylated goat anti-rabbit IgG was used as secondary antibody. The tissue section was incubated with rabbit anti-MMP9 Antibody (PB0709) at a dilution of 1:200 and developed using Strepavidin-Biotin-Complex (SABC) (Catalog # SA1022) with DAB (Catalog # AR1027) as the chromogen.

IHC analysis of MMP9 using anti-MMP9 antibody (PB0709).
MMP9 was detected in a paraffin-embedded section of human colonic adenocarcinoma tissue. Biotinylated goat anti-rabbit IgG was used as secondary antibody. The tissue section was incubated with rabbit anti-MMP9 Antibody (PB0709) at a dilution of 1:200 and developed using Strepavidin-Biotin-Complex (SABC) (Catalog # SA1022) with DAB (Catalog # AR1027) as the chromogen.







