| Immunohistochemistry (IHC): | 1:50-400 |
| Immunofluorescence (IF): | 1:50-400 |
| (Boiling the paraffin sections in 10mM citrate buffer,pH6.0,or PH8.0 EDTA repair liquid for 20 mins is required for the staining of formalin/paraffin sections.) Optimal working dilutions must be determined by end user. | |

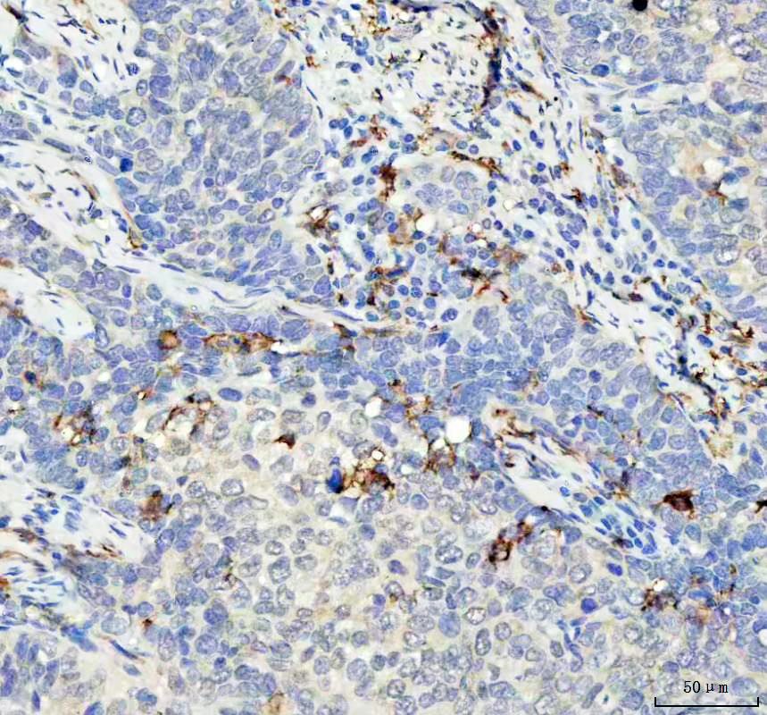
IHC analysis of IBA1/AIF1 using anti-IBA1/AIF1 antibody (PB0517) .
IBA1/AIF1 was detected in a paraffin-embedded section of human cervica squamous carcinoma tissue. The tissue section was incubated with rabbit anti-IBA1/AIF1 Antibody (PB0517) at a dilution of 1:200 and developed using HRP Conjugated Rabbit IgG Super Vision Assay Kit (Catalog # SV0002) with DAB (Catalog # AR1027) as the chromogen.

IHC analysis of IBA1/AIF1 using anti-IBA1/AIF1 antibody (PB0517) .
IBA1/AIF1 was detected in a paraffin-embedded section of human ovarian cancer tissue. The tissue section was incubated with rabbit anti-IBA1/AIF1 Antibody (PB0517) at a dilution of 1:200 and developed using HRP Conjugated Rabbit IgG Super Vision Assay Kit (Catalog # SV0002) with DAB (Catalog # AR1027) as the chromogen.

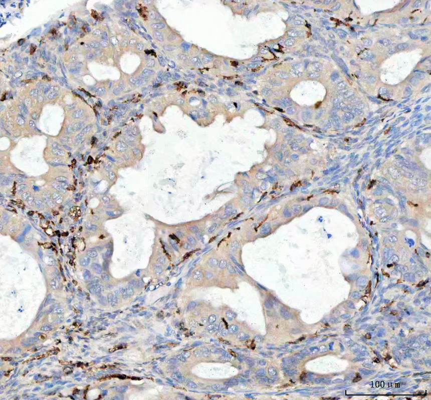
IHC analysis of IBA1/AIF1 using anti-IBA1/AIF1 antibody (PB0517) .
IBA1/AIF1 was detected in a paraffin-embedded section of human rectum adenocarcinoma tissue. The tissue section was incubated with rabbit anti-IBA1/AIF1 Antibody (PB0517) at a dilution of 1:200 and developed using HRP Conjugated Rabbit IgG Super Vision Assay Kit (Catalog # SV0002) with DAB (Catalog # AR1027) as the chromogen.

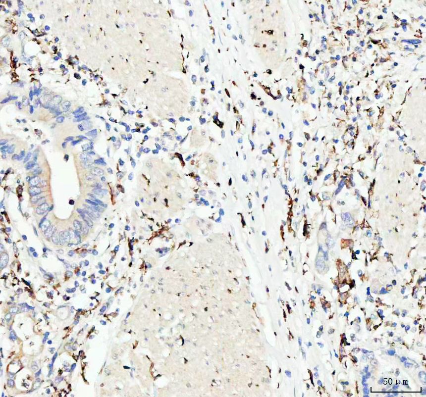
IHC analysis of IBA1/AIF1 using anti-IBA1/AIF1 antibody (PB0517) .
IBA1/AIF1 was detected in a paraffin-embedded section of human tonsil tissue. The tissue section was incubated with rabbit anti-IBA1/AIF1 Antibody (PB0517) at a dilution of 1:200 and developed using HRP Conjugated Rabbit IgG Super Vision Assay Kit (Catalog # SV0002) with DAB (Catalog # AR1027) as the chromogen.

IHC analysis of IBA1/AIF1 using anti-IBA1/AIF1 antibody (PB0517) .
IBA1/AIF1 was detected in a paraffin-embedded section of mouse brain tissue. The tissue section was incubated with rabbit anti-IBA1/AIF1 Antibody (PB0517) at a dilution of 1:200 and developed using HRP Conjugated Rabbit IgG Super Vision Assay Kit (Catalog # SV0002) with DAB (Catalog # AR1027) as the chromogen.

IHC analysis of IBA1/AIF1 using anti-IBA1/AIF1 antibody (PB0517) .
IBA1/AIF1 was detected in a paraffin-embedded section of rat brain tissue. The tissue section was incubated with rabbit anti-IBA1/AIF1 Antibody (PB0517) at a dilution of 1:200 and developed using HRP Conjugated Rabbit IgG Super Vision Assay Kit (Catalog # SV0002) with DAB (Catalog # AR1027) as the chromogen.

IHC analysis of IBA1/AIF1 using anti-IBA1/AIF1 antibody (PB0517) .
IBA1/AIF1 was detected in a paraffin-embedded section of rat brain tissue. The tissue section was incubated with rabbit anti-IBA1/AIF1 Antibody (PB0517) at a dilution of 1:200 and developed using HRP Conjugated Rabbit IgG Super Vision Assay Kit (Catalog # SV0002) with DAB (Catalog # AR1027) as the chromogen.

IF analysis of IBA1/AIF1 using anti-IBA1/AIF1 antibody (PB0517).
IBA1/AIF1 was detected in a paraffin-embedded section of rat brain tissue. The tissue section was incubated with rabbit anti-IBA1/AIF1 Antibody (PB0517) at a dilution of 1:100. Fluoro550-conjugated Anti-rabbit IgG Secondary Antibody (red)(Catalog#BA1135) was used as secondary antibody. The section was counterstained with DAPI (Catalog # AR1176) (Blue).

IF analysis of IBA1/AIF1 using anti-IBA1/AIF1 antibody (PB0517).
IBA1/AIF1 was detected in a paraffin-embedded section of rat brain tissue. The tissue section was incubated with rabbit anti-IBA1/AIF1 Antibody (PB0517) at a dilution of 1:100. Fluoro550-conjugated Anti-rabbit IgG Secondary Antibody (red)(Catalog#BA1135) was used as secondary antibody. The section was counterstained with DAPI (Catalog # AR1176) (Blue).

IF analysis of IBA1/AIF1 using anti-IBA1/AIF1 antibody (PB0517).
IBA1/AIF1 was detected in a paraffin-embedded section of mouse brain tissue. The tissue section was incubated with rabbit anti-IBA1/AIF1 Antibody (PB0517) at a dilution of 1:100. Fluoro550-conjugated Anti-rabbit IgG Secondary Antibody (red)(Catalog#BA1135) was used as secondary antibody. The section was counterstained with DAPI (Catalog # AR1176) (Blue).

IHC analysis of IBA1/AIF1 using anti-IBA1/AIF1 antibody (PB0517) .
IBA1/AIF1 was detected in a paraffin-embedded section of human cervica squamous carcinoma tissue. The tissue section was incubated with rabbit anti-IBA1/AIF1 Antibody (PB0517) at a dilution of 1:200 and developed using HRP Conjugated Rabbit IgG Super Vision Assay Kit (Catalog # SV0002) with DAB (Catalog # AR1027) as the chromogen.

IHC analysis of IBA1/AIF1 using anti-IBA1/AIF1 antibody (PB0517) .
IBA1/AIF1 was detected in a paraffin-embedded section of human ovarian cancer tissue. The tissue section was incubated with rabbit anti-IBA1/AIF1 Antibody (PB0517) at a dilution of 1:200 and developed using HRP Conjugated Rabbit IgG Super Vision Assay Kit (Catalog # SV0002) with DAB (Catalog # AR1027) as the chromogen.

IHC analysis of IBA1/AIF1 using anti-IBA1/AIF1 antibody (PB0517) .
IBA1/AIF1 was detected in a paraffin-embedded section of human rectum adenocarcinoma tissue. The tissue section was incubated with rabbit anti-IBA1/AIF1 Antibody (PB0517) at a dilution of 1:200 and developed using HRP Conjugated Rabbit IgG Super Vision Assay Kit (Catalog # SV0002) with DAB (Catalog # AR1027) as the chromogen.

IHC analysis of IBA1/AIF1 using anti-IBA1/AIF1 antibody (PB0517) .
IBA1/AIF1 was detected in a paraffin-embedded section of human tonsil tissue. The tissue section was incubated with rabbit anti-IBA1/AIF1 Antibody (PB0517) at a dilution of 1:200 and developed using HRP Conjugated Rabbit IgG Super Vision Assay Kit (Catalog # SV0002) with DAB (Catalog # AR1027) as the chromogen.

IHC analysis of IBA1/AIF1 using anti-IBA1/AIF1 antibody (PB0517) .
IBA1/AIF1 was detected in a paraffin-embedded section of mouse brain tissue. The tissue section was incubated with rabbit anti-IBA1/AIF1 Antibody (PB0517) at a dilution of 1:200 and developed using HRP Conjugated Rabbit IgG Super Vision Assay Kit (Catalog # SV0002) with DAB (Catalog # AR1027) as the chromogen.

IHC analysis of IBA1/AIF1 using anti-IBA1/AIF1 antibody (PB0517) .
IBA1/AIF1 was detected in a paraffin-embedded section of rat brain tissue. The tissue section was incubated with rabbit anti-IBA1/AIF1 Antibody (PB0517) at a dilution of 1:200 and developed using HRP Conjugated Rabbit IgG Super Vision Assay Kit (Catalog # SV0002) with DAB (Catalog # AR1027) as the chromogen.

IHC analysis of IBA1/AIF1 using anti-IBA1/AIF1 antibody (PB0517) .
IBA1/AIF1 was detected in a paraffin-embedded section of rat brain tissue. The tissue section was incubated with rabbit anti-IBA1/AIF1 Antibody (PB0517) at a dilution of 1:200 and developed using HRP Conjugated Rabbit IgG Super Vision Assay Kit (Catalog # SV0002) with DAB (Catalog # AR1027) as the chromogen.

IF analysis of IBA1/AIF1 using anti-IBA1/AIF1 antibody (PB0517).
IBA1/AIF1 was detected in a paraffin-embedded section of rat brain tissue. The tissue section was incubated with rabbit anti-IBA1/AIF1 Antibody (PB0517) at a dilution of 1:100. Fluoro550-conjugated Anti-rabbit IgG Secondary Antibody (red)(Catalog#BA1135) was used as secondary antibody. The section was counterstained with DAPI (Catalog # AR1176) (Blue).

IF analysis of IBA1/AIF1 using anti-IBA1/AIF1 antibody (PB0517).
IBA1/AIF1 was detected in a paraffin-embedded section of rat brain tissue. The tissue section was incubated with rabbit anti-IBA1/AIF1 Antibody (PB0517) at a dilution of 1:100. Fluoro550-conjugated Anti-rabbit IgG Secondary Antibody (red)(Catalog#BA1135) was used as secondary antibody. The section was counterstained with DAPI (Catalog # AR1176) (Blue).

IF analysis of IBA1/AIF1 using anti-IBA1/AIF1 antibody (PB0517).
IBA1/AIF1 was detected in a paraffin-embedded section of mouse brain tissue. The tissue section was incubated with rabbit anti-IBA1/AIF1 Antibody (PB0517) at a dilution of 1:100. Fluoro550-conjugated Anti-rabbit IgG Secondary Antibody (red)(Catalog#BA1135) was used as secondary antibody. The section was counterstained with DAPI (Catalog # AR1176) (Blue).









