| Western blot (WB): | 1:500-2000 |
| Immunohistochemistry (IHC): | 1:20-100 |
| (Boiling the paraffin sections in 10mM citrate buffer,pH6.0,or PH8.0 EDTA repair liquid for 20 mins is required for the staining of formalin/paraffin sections.) Optimal working dilutions must be determined by end user. | |

Western blot analysis of NMDAR2A/GRIN2A using anti-NMDAR2A/GRIN2A antibody (PA1058-1). The sample well of each lane was loaded with 30 ug of sample under reducing conditions.
Lane 1: rat brain tissue lysates,
Lane 2: mouse brain tissue lysates.
After electrophoresis, proteins were transferred to a membrane. Then the membrane was incubated with rabbit anti-NMDAR2A/GRIN2A antigen affinity purified polyclonal antibody (PA1058-1) at a dilution of 1:1000 and probed with a goat anti-rabbit IgG-HRP secondary antibody (Catalog # BA1054). The signal is developed using ECL Plus Western Blotting Substrate (Catalog # AR1197). A specific band was detected for NMDAR2A/GRIN2A at approximately 180 kDa. The expected band size for NMDAR2A/GRIN2A is at 165 kDa.

IHC analysis of NMDAR2A/GRIN2A using anti-NMDAR2A/GRIN2A antibody (PA1058-1).
NMDAR2A/GRIN2A was detected in a paraffin-embedded section of rat brain tissue. The tissue section was incubated with rabbit anti-NMDAR2A/GRIN2A Antibody (PA1058-1) at a dilution of 1:200 and developed using HRP Conjugated Rabbit IgG Super Vision Assay Kit (Catalog # SV0002) with DAB (Catalog # AR1027) as the chromogen.

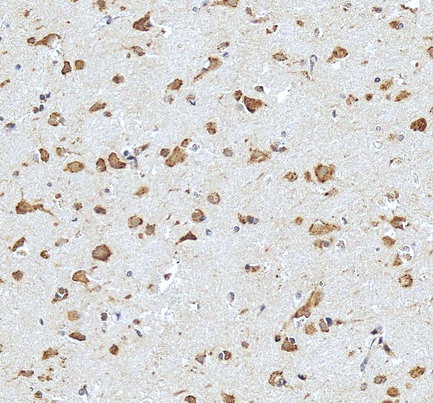
IHC analysis of NMDAR2A/GRIN2A using anti-NMDAR2A/GRIN2A antibody (PA1058-1).
NMDAR2A/GRIN2A was detected in a paraffin-embedded section of human brain tissue. The tissue section was incubated with rabbit anti-NMDAR2A/GRIN2A Antibody (PA1058-1) at a dilution of 1:200 and developed using HRP Conjugated Rabbit IgG Super Vision Assay Kit (Catalog # SV0002) with DAB (Catalog # AR1027) as the chromogen.

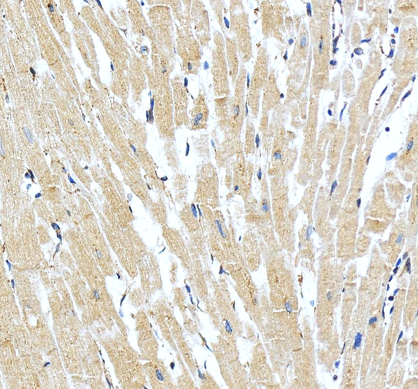
IHC analysis of NMDAR2A/GRIN2A using anti-NMDAR2A/GRIN2A antibody (PA1058-1).
NMDAR2A/GRIN2A was detected in a paraffin-embedded section of human heart tissue. The tissue section was incubated with rabbit anti-NMDAR2A/GRIN2A Antibody (PA1058-1) at a dilution of 1:200 and developed using HRP Conjugated Rabbit IgG Super Vision Assay Kit (Catalog # SV0002) with DAB (Catalog # AR1027) as the chromogen.

Western blot analysis of NMDAR2A/GRIN2A using anti-NMDAR2A/GRIN2A antibody (PA1058-1). The sample well of each lane was loaded with 30 ug of sample under reducing conditions.
Lane 1: rat brain tissue lysates,
Lane 2: mouse brain tissue lysates.
After electrophoresis, proteins were transferred to a membrane. Then the membrane was incubated with rabbit anti-NMDAR2A/GRIN2A antigen affinity purified polyclonal antibody (PA1058-1) at a dilution of 1:1000 and probed with a goat anti-rabbit IgG-HRP secondary antibody (Catalog # BA1054). The signal is developed using ECL Plus Western Blotting Substrate (Catalog # AR1197). A specific band was detected for NMDAR2A/GRIN2A at approximately 180 kDa. The expected band size for NMDAR2A/GRIN2A is at 165 kDa.

IHC analysis of NMDAR2A/GRIN2A using anti-NMDAR2A/GRIN2A antibody (PA1058-1).
NMDAR2A/GRIN2A was detected in a paraffin-embedded section of rat brain tissue. The tissue section was incubated with rabbit anti-NMDAR2A/GRIN2A Antibody (PA1058-1) at a dilution of 1:200 and developed using HRP Conjugated Rabbit IgG Super Vision Assay Kit (Catalog # SV0002) with DAB (Catalog # AR1027) as the chromogen.

IHC analysis of NMDAR2A/GRIN2A using anti-NMDAR2A/GRIN2A antibody (PA1058-1).
NMDAR2A/GRIN2A was detected in a paraffin-embedded section of human brain tissue. The tissue section was incubated with rabbit anti-NMDAR2A/GRIN2A Antibody (PA1058-1) at a dilution of 1:200 and developed using HRP Conjugated Rabbit IgG Super Vision Assay Kit (Catalog # SV0002) with DAB (Catalog # AR1027) as the chromogen.

IHC analysis of NMDAR2A/GRIN2A using anti-NMDAR2A/GRIN2A antibody (PA1058-1).
NMDAR2A/GRIN2A was detected in a paraffin-embedded section of human heart tissue. The tissue section was incubated with rabbit anti-NMDAR2A/GRIN2A Antibody (PA1058-1) at a dilution of 1:200 and developed using HRP Conjugated Rabbit IgG Super Vision Assay Kit (Catalog # SV0002) with DAB (Catalog # AR1027) as the chromogen.



