| Western blot (WB): | 1:3000-10000 |
| Immunohistochemistry (IHC): | 1:50-200 |
| Immunocytochemistry/Immunofluorescence (ICC/IF): | 1:50-200 |

Western blot analysis of anti-Beta Tubulin/TUBB antibody (M05613-5). The sample well of each lane was loaded with 30 ug of sample under reducing conditions.
Lane 1: human Hela whole cell lysates,
Lane 2: human K562 whole cell lysates,
Lane 3: human MCF-7 whole cell lysates,
Lane 4: human A549 whole cell lysates,
Lane 5: rat brain tissue lysates,
Lane 6: rat kidney tissue lysates,
Lane 7: mouse brain tissue lysates,
Lane 8: mouse kidney tissue lysates.
After electrophoresis, proteins were transferred to a membrane. Then the membrane was incubated with mouse anti-Beta Tubulin/TUBB antigen affinity purified monoclonal antibody (M05613-5) at a dilution of 1:1000 and probed with a goat anti-mouse IgG-HRP secondary antibody (Catalog # BA1050). The signal is developed using ECL Plus Western Blotting Substrate (Catalog # AR1197). A specific band was detected for Beta Tubulin/TUBB at approximately 50 kDa. The expected band size for Beta Tubulin/TUBB is at 50 kDa.

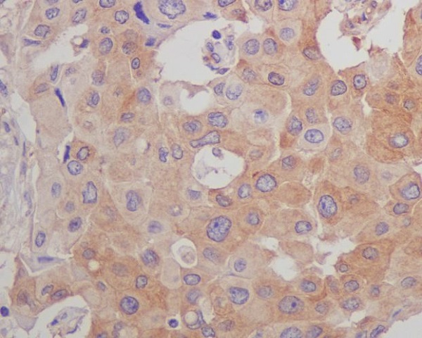
Immunohistochemical analysis of paraffin-embedded human breast carcinoma, using beta Tubulin Mouse Monoclonal Antibody.

Immunofluorescent analysis of Hela cells, using beta Tubulin mAb.

Western blot analysis of anti-Beta Tubulin/TUBB antibody (M05613-5). The sample well of each lane was loaded with 30 ug of sample under reducing conditions.
Lane 1: human Hela whole cell lysates,
Lane 2: human K562 whole cell lysates,
Lane 3: human MCF-7 whole cell lysates,
Lane 4: human A549 whole cell lysates,
Lane 5: rat brain tissue lysates,
Lane 6: rat kidney tissue lysates,
Lane 7: mouse brain tissue lysates,
Lane 8: mouse kidney tissue lysates.
After electrophoresis, proteins were transferred to a membrane. Then the membrane was incubated with mouse anti-Beta Tubulin/TUBB antigen affinity purified monoclonal antibody (M05613-5) at a dilution of 1:1000 and probed with a goat anti-mouse IgG-HRP secondary antibody (Catalog # BA1050). The signal is developed using ECL Plus Western Blotting Substrate (Catalog # AR1197). A specific band was detected for Beta Tubulin/TUBB at approximately 50 kDa. The expected band size for Beta Tubulin/TUBB is at 50 kDa.

Immunohistochemical analysis of paraffin-embedded human breast carcinoma, using beta Tubulin Mouse Monoclonal Antibody.

Immunofluorescent analysis of Hela cells, using beta Tubulin mAb.


