| Western blot (WB): | 1:500-2000 |

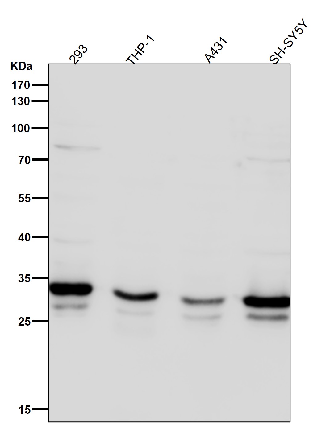
Western blot analysis of Syntaxin 4 expression in A431 cell lysate.

All lanes use the Antibody for 1 hour at room temperature.

All lanes use the Antibody for 1 hour at room temperature.

Western blot analysis of Syntaxin 4 expression in A431 cell lysate.

All lanes use the Antibody for 1 hour at room temperature.

All lanes use the Antibody for 1 hour at room temperature.


