| Western blot (WB): | 1:500-2000 |
| Immunohistochemistry (IHC): | 1:50-200 |

Western blot analysis of anti-JNK1/MAPK8 antibody (M02608-3). The sample well of each lane was loaded with 30 ug of sample under reducing conditions.
Lane 1: human 293T whole cell lysates,
Lane 2: human Hela whole cell lysates,
Lane 3: human Jurkat whole cell lysates,
Lane 4: human A431 whole cell lysates,
Lane 5: rat brain tissue lysates,
Lane 6: rat C6 whole cell lysates,
Lane 7: mouse brain tissue lysates.
After electrophoresis, proteins were transferred to a membrane. Then the membrane was incubated with rabbit anti-JNK1/MAPK8 antigen affinity purified monoclonal antibody (M02608-3) at a dilution of 1:1000 and probed with a goat anti-rabbit IgG-HRP secondary antibody (Catalog # BA1054). The signal is developed using ECL Plus Western Blotting Substrate (Catalog # AR1197). A specific band was detected for JNK1/MAPK8 at approximately 45 kDa. The expected band size for JNK1/MAPK8 is at 48 kDa.

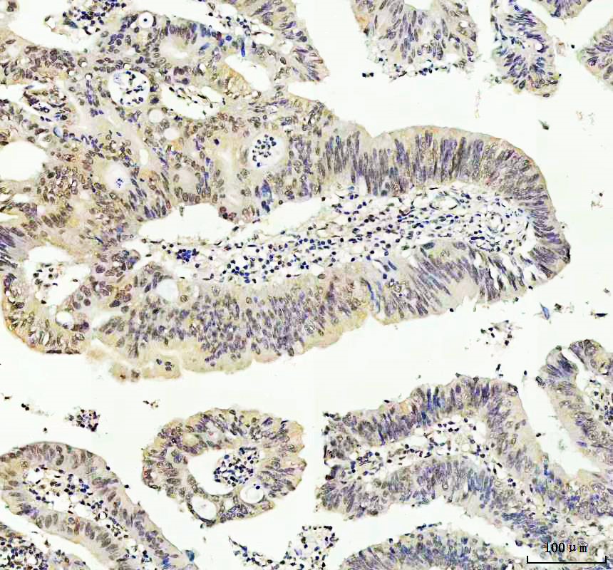
IHC analysis of JNK1/MAPK8 using anti-JNK1/MAPK8 antibody (M02608-3) .
JNK1/MAPK8 was detected in a paraffin-embedded section of human colorectal adenocarcinoma tissue. The tissue section was incubated with rabbit anti-JNK1/MAPK8 Antibody (M02608-3) at a dilution of 1:200 and developed using HRP Conjugated Rabbit IgG Super Vision Assay Kit (Catalog # SV0002) with DAB (Catalog # AR1027) as the chromogen.

IHC analysis of JNK1/MAPK8 using anti-JNK1/MAPK8 antibody (M02608-3) .
JNK1/MAPK8 was detected in a paraffin-embedded section of human liver cancer tissue. The tissue section was incubated with rabbit anti-JNK1/MAPK8 Antibody (M02608-3) at a dilution of 1:200 and developed using HRP Conjugated Rabbit IgG Super Vision Assay Kit (Catalog # SV0002) with DAB (Catalog # AR1027) as the chromogen.

IHC analysis of JNK1/MAPK8 using anti-JNK1/MAPK8 antibody (M02608-3) .
JNK1/MAPK8 was detected in a paraffin-embedded section of human lung cancer tissue. The tissue section was incubated with rabbit anti-JNK1/MAPK8 Antibody (M02608-3) at a dilution of 1:200 and developed using HRP Conjugated Rabbit IgG Super Vision Assay Kit (Catalog # SV0002) with DAB (Catalog # AR1027) as the chromogen.

IHC analysis of JNK1/MAPK8 using anti-JNK1/MAPK8 antibody (M02608-3) .
JNK1/MAPK8 was detected in a paraffin-embedded section of human prostate cancer tissue. The tissue section was incubated with rabbit anti-JNK1/MAPK8 Antibody (M02608-3) at a dilution of 1:200 and developed using HRP Conjugated Rabbit IgG Super Vision Assay Kit (Catalog # SV0002) with DAB (Catalog # AR1027) as the chromogen.

Western blot analysis of anti-JNK1/MAPK8 antibody (M02608-3). The sample well of each lane was loaded with 30 ug of sample under reducing conditions.
Lane 1: human 293T whole cell lysates,
Lane 2: human Hela whole cell lysates,
Lane 3: human Jurkat whole cell lysates,
Lane 4: human A431 whole cell lysates,
Lane 5: rat brain tissue lysates,
Lane 6: rat C6 whole cell lysates,
Lane 7: mouse brain tissue lysates.
After electrophoresis, proteins were transferred to a membrane. Then the membrane was incubated with rabbit anti-JNK1/MAPK8 antigen affinity purified monoclonal antibody (M02608-3) at a dilution of 1:1000 and probed with a goat anti-rabbit IgG-HRP secondary antibody (Catalog # BA1054). The signal is developed using ECL Plus Western Blotting Substrate (Catalog # AR1197). A specific band was detected for JNK1/MAPK8 at approximately 45 kDa. The expected band size for JNK1/MAPK8 is at 48 kDa.

IHC analysis of JNK1/MAPK8 using anti-JNK1/MAPK8 antibody (M02608-3) .
JNK1/MAPK8 was detected in a paraffin-embedded section of human colorectal adenocarcinoma tissue. The tissue section was incubated with rabbit anti-JNK1/MAPK8 Antibody (M02608-3) at a dilution of 1:200 and developed using HRP Conjugated Rabbit IgG Super Vision Assay Kit (Catalog # SV0002) with DAB (Catalog # AR1027) as the chromogen.

IHC analysis of JNK1/MAPK8 using anti-JNK1/MAPK8 antibody (M02608-3) .
JNK1/MAPK8 was detected in a paraffin-embedded section of human liver cancer tissue. The tissue section was incubated with rabbit anti-JNK1/MAPK8 Antibody (M02608-3) at a dilution of 1:200 and developed using HRP Conjugated Rabbit IgG Super Vision Assay Kit (Catalog # SV0002) with DAB (Catalog # AR1027) as the chromogen.

IHC analysis of JNK1/MAPK8 using anti-JNK1/MAPK8 antibody (M02608-3) .
JNK1/MAPK8 was detected in a paraffin-embedded section of human lung cancer tissue. The tissue section was incubated with rabbit anti-JNK1/MAPK8 Antibody (M02608-3) at a dilution of 1:200 and developed using HRP Conjugated Rabbit IgG Super Vision Assay Kit (Catalog # SV0002) with DAB (Catalog # AR1027) as the chromogen.

IHC analysis of JNK1/MAPK8 using anti-JNK1/MAPK8 antibody (M02608-3) .
JNK1/MAPK8 was detected in a paraffin-embedded section of human prostate cancer tissue. The tissue section was incubated with rabbit anti-JNK1/MAPK8 Antibody (M02608-3) at a dilution of 1:200 and developed using HRP Conjugated Rabbit IgG Super Vision Assay Kit (Catalog # SV0002) with DAB (Catalog # AR1027) as the chromogen.




