| Western blot (WB): | 1:4000 |
| Immunohistochemistry (IHC): | 1:150 |
| Immunocytochemistry/Immunofluorescence (ICC/IF): | 1:100 |

Western blot analysis of anti-TH antibody (M01917-2). The sample well of each lane was loaded with 30 ug of sample under reducing conditions.
Lane 1: rat brain tissue lysates,
Lane 2: mouse brain tissue lysates.
After electrophoresis, proteins were transferred to a membrane. Then the membrane was incubated with rabbit anti-TH antigen affinity purified monoclonal antibody (M01917-2) at a dilution of 1:1000 and probed with a goat anti-rabbit IgG-HRP secondary antibody (Catalog # BA1054). The signal is developed using ECL Plus Western Blotting Substrate (Catalog # AR1197). A specific band was detected for TH at approximately 59 kDa. The expected band size for TH is at 59 kDa.

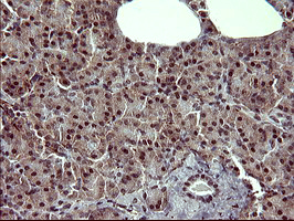
Immunohistochemical staining of paraffin-embedded Human pancreas tissue within the normal limits using anti-TH mouse monoclonal antibody. (M01917-2)

Immunohistochemical staining of paraffin-embedded Human lymphoma tissue using anti-TH mouse monoclonal antibody. (M01917-2)

Anti-TH mouse monoclonal antibody immunofluorescent staining of COS7 cells transiently transfected by pCMV6-ENTRY TH .

Western blot analysis of anti-TH antibody (M01917-2). The sample well of each lane was loaded with 30 ug of sample under reducing conditions.
Lane 1: rat brain tissue lysates,
Lane 2: mouse brain tissue lysates.
After electrophoresis, proteins were transferred to a membrane. Then the membrane was incubated with rabbit anti-TH antigen affinity purified monoclonal antibody (M01917-2) at a dilution of 1:1000 and probed with a goat anti-rabbit IgG-HRP secondary antibody (Catalog # BA1054). The signal is developed using ECL Plus Western Blotting Substrate (Catalog # AR1197). A specific band was detected for TH at approximately 59 kDa. The expected band size for TH is at 59 kDa.

Immunohistochemical staining of paraffin-embedded Human pancreas tissue within the normal limits using anti-TH mouse monoclonal antibody. (M01917-2)

Immunohistochemical staining of paraffin-embedded Human lymphoma tissue using anti-TH mouse monoclonal antibody. (M01917-2)

Anti-TH mouse monoclonal antibody immunofluorescent staining of COS7 cells transiently transfected by pCMV6-ENTRY TH .



