| Western blot (WB): | 1:500-2000 |
| Immunohistochemistry (IHC): | 1:50-200 |
| Immunocytochemistry/Immunofluorescence (ICC/IF): | 1:50-200 |
| ImmunoPrecipitation (IP): | 1:50 |
| Flow Cytometry (FCM): | 1:500 |

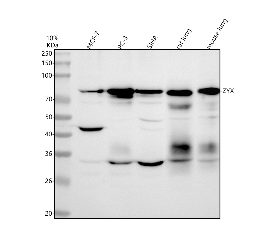
Western blot analysis of anti-Zyxin/ZYX antibody (BM5649). The sample well of each lane was loaded with 30 ug of sample under reducing conditions.
Lane 1: human MCF-7 whole cell lysates,
Lane 2: human PC-3 whole cell lysates,
Lane 3: human SiHa whole cell lysates,
Lane 4: rat lung tissue lysates,
Lane 5: mouse lung tissue lysates.
After electrophoresis, proteins were transferred to a membrane. Then the membrane was incubated with rabbit anti-Zyxin/ZYX antigen affinity purified monoclonal antibody (BM5649) at a dilution of 1:1000 and probed with a goat anti-rabbit IgG-HRP secondary antibody (Catalog # BA1054). The signal is developed using ECL Plus Western Blotting Substrate (Catalog # AR1197). A specific band was detected for Zyxin/ZYX at approximately 78 kDa. The expected band size for Zyxin/ZYX is at 61 kDa.

Western blot analysis of anti-Zyxin/ZYX antibody (BM5649). The sample well of each lane was loaded with 30 ug of sample under reducing conditions.
Lane 1: human MCF-7 whole cell lysates,
Lane 2: human PC-3 whole cell lysates,
Lane 3: human SiHa whole cell lysates,
Lane 4: rat lung tissue lysates,
Lane 5: mouse lung tissue lysates.
After electrophoresis, proteins were transferred to a membrane. Then the membrane was incubated with rabbit anti-Zyxin/ZYX antigen affinity purified monoclonal antibody (BM5649) at a dilution of 1:1000 and probed with a goat anti-rabbit IgG-HRP secondary antibody (Catalog # BA1054). The signal is developed using ECL Plus Western Blotting Substrate (Catalog # AR1197). A specific band was detected for Zyxin/ZYX at approximately 78 kDa. The expected band size for Zyxin/ZYX is at 61 kDa.








