| Western blot (WB): | 1:500-2000 |
| Immunohistochemistry (IHC): | 1:50-200 |
| Immunocytochemistry/Immunofluorescence (ICC/IF): | 1:50-200 |
| ImmunoPrecipitation (IP): | 1:20 |
| Flow Cytometry (FCM): | 1:20 |

Western blot analysis of anti-MCM7 antibody (BM5337). The sample well of each lane was loaded with 30 ug of sample under reducing conditions.
Lane 1: human Hela whole cell lysates.
After electrophoresis, proteins were transferred to a membrane. Then the membrane was incubated with rabbit anti-MCM7 antigen affinity purified monoclonal antibody (BM5337) at a dilution of 1:1000 and probed with a goat anti-rabbit IgG-HRP secondary antibody (Catalog # BA1054). The signal is developed using ECL Plus Western Blotting Substrate (Catalog # AR1197). A specific band was detected for MCM7 at approximately 81 kDa. The expected band size for MCM7 is at 81 kDa.

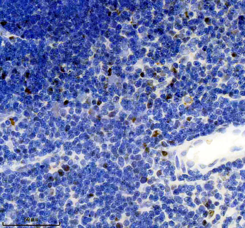
IHC analysis of MCM7 using anti-MCM7 antibody (BM5337).
MCM7 was detected in a paraffin-embedded section of rat thymus tissue. The tissue section was incubated with rabbit anti-MCM7 Antibody (BM5337) at a dilution of 1:200 and developed using HRP Conjugated Rabbit IgG Super Vision Assay Kit (Catalog # SV0002) with DAB (Catalog # AR1027) as the chromogen.

Western blot analysis of anti-MCM7 antibody (BM5337). The sample well of each lane was loaded with 30 ug of sample under reducing conditions.
Lane 1: human Hela whole cell lysates.
After electrophoresis, proteins were transferred to a membrane. Then the membrane was incubated with rabbit anti-MCM7 antigen affinity purified monoclonal antibody (BM5337) at a dilution of 1:1000 and probed with a goat anti-rabbit IgG-HRP secondary antibody (Catalog # BA1054). The signal is developed using ECL Plus Western Blotting Substrate (Catalog # AR1197). A specific band was detected for MCM7 at approximately 81 kDa. The expected band size for MCM7 is at 81 kDa.

IHC analysis of MCM7 using anti-MCM7 antibody (BM5337).
MCM7 was detected in a paraffin-embedded section of rat thymus tissue. The tissue section was incubated with rabbit anti-MCM7 Antibody (BM5337) at a dilution of 1:200 and developed using HRP Conjugated Rabbit IgG Super Vision Assay Kit (Catalog # SV0002) with DAB (Catalog # AR1027) as the chromogen.







