欢迎访问博士德生物官网! 服务热线:027-67845390 |
您当前的位置: 首页 > 产品中心 > 一抗 > 重组兔单抗

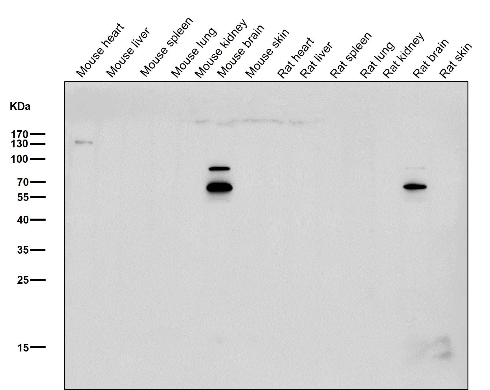
Anti-CHAT Antibody (Clone#ABBO-3)

Rabbit monoclonal antibody

说明书 一键复制产品信息

筛选器: All WB IHC ICC/IF IP FCM

BM5100

  • 50μl ¥1280 100μl ¥2180 150μl ¥2800
  • 货期: 现货

产品简介 实验方案 引用文献 相关产品

产品简介>

产品名称
Anti-CHAT Antibody (Clone#ABBO-3)
规格/价格
50μl|1280 100μl|2180 150μl|2800
指标别称
CHAT; CHOACTase; Choline acetylase; choline acetyltransferase; Choline O acetyltransferase; CMS1A; CMS1A2
产品类型
Monoclonal
检验物种
human, mouse, rat
应用范围
WB, IHC, ICC/IF, IP, FCM
基因名称
CHAT
克隆号
ABBO-3
宿主
Rabbit
抗体亚型
IgG
免疫原
A synthesized peptide derived from human CHAT
计算分子量
83 kDa
实际分子量
83 kDa
成分
500 ug/ml; Rabbit IgG in phosphate buffered saline, pH 7.4, 150mM NaCl, 0.02% sodium azide, 0.4-0.5 mg/ml BSA and 50% glycerol.
纯化方式
Affinity-chromatography
浓度
500 ug/ml
产品形态
Liquid
保存条件
12 months from date of receipt,-20℃ as supplied.
背景资料
Choline acetyltransferase (commonly abbreviated as°ChAT,but sometimes°CAT) is a transferase enzyme responsible for the synthesis of the neurotransmitter acetylcholine. In humans,the choline acetyltransferase enzyme is encoded by the°CHAT gene. This gene product is a characteristic feature of cholinergic neurons,and changes in these neurons may explain some of the symptoms of Alzheimer's disease. Polymorphisms in this gene have been associated with Alzheimer's disease and mild cognitive impairment. Mutations in this gene are associated with congenital myasthenic syndrome associated with episodic apnea. Multiple transcript variants encoding different isoforms have been found for this gene,and some of these variants have been shown to encode more than one isoform.
Uniprot ID
P28329  
文献引用格式
CHAT Antibody (Clone#ABBO-3) (Boster Biological Technology, Wuhan, China. Catalog#BM5100)
应用释义
WB-蛋白质免疫印迹法; IHC- 免疫组织化学法; ICC/IF-免疫细胞荧光和免疫细胞化学; FCM-流式细胞术; ELISA-酶联免疫吸附测定; IP-免疫沉淀法; IF-免疫组织荧光法; ChIP-染色质免疫沉淀法;
基因名全称
Choline O-acetyltransferase
推荐稀释比
Western blot (WB):1:500-2000
Immunohistochemistry (IHC):1:50-200
Immunocytochemistry/Immunofluorescence (ICC/IF):1:50-200
ImmunoPrecipitation (IP):1:50
Flow Cytometry (FCM):1:50

实验方案>

实验步骤

引用文献(0)>

    相关产品>

    成功添加到购物车

    查看购物车 继续购物

    Anti-CHAT Antibody (Clone#ABBO-3)

    筛选器: All WB IHC ICC/IF IP FCM

    亮暗模式切换
    X
    亮暗模式切换
    X

    在线
    客服

    在线客服
    服务时间:08:30 - 17:30

    点击下列客服在线咨询:

    服务热线

    服务
    热线

    客服服务热线

    027-67845390
    客服服务热线

    扫码

    扫码
    咨询

    微信二维码 微信扫一扫立即咨询
    返回顶部 顶部