欢迎访问博士德生物官网! 服务热线:027-67845390 |
您当前的位置: 首页 > 产品中心 > 一抗 > 重组兔单抗

Anti-Myelin basic protein/MBP Antibody (Clone#IIE-13)

Rabbit monoclonal antibody

说明书 一键复制产品信息

筛选器: All WB IHC

BM4869

  • 50μl ¥1280 100μl ¥2180 150μl ¥2800
  • 货期: 现货
  • Western blot analysis of Myelin Basic Protein expression in Human fetal brain lysate.

    all(4)
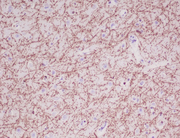
  • Immunohistochemical analysis of paraffin-embedded human brain, using Myelin Basic Protein Antibody.

    all(4)
  • All lanes use the Antibody for 1 hour at room temperature.

    all(4)
  • All lanes use the Antibody for 1 hour at room temperature.

    all(4)

产品简介 实验方案 引用文献 相关产品

产品简介>

产品名称
Anti-Myelin basic protein/MBP Antibody (Clone#IIE-13)
规格/价格
50μl|1280 100μl|2180 150μl|2800
指标别称
MBP; Myelin A1 protein; Myelin basic protein
产品类型
Monoclonal
检验物种
human
应用范围
WB, IHC
基因名称
MBP
克隆号
IIE-13
宿主
Rabbit
抗体亚型
IgG
免疫原
A synthesized peptide derived from human Myelin Basic Protein
计算分子量
33 kDa
实际分子量
16-22 kDa
成分
500 ug/ml; Rabbit IgG in phosphate buffered saline, pH 7.4, 150mM NaCl, 0.02% sodium azide, 0.4-0.5 mg/ml BSA and 50% glycerol.
纯化方式
Affinity-chromatography
浓度
500 ug/ml
产品形态
Liquid
保存条件
12 months from date of receipt,-20℃ as supplied.
背景资料
Myelin basic protein(MBP) is a major constituent of the myelin sheath of oligodendrocytes and Schwann cells in the central nervous system and the peripheral nervous system, respectively. It is most abundant in hemopoietic system and contains seven exons distributed over 32-34 kb. MBP isolated from MS brain may differ in charge microheterogeneity which would affect antigenic determinants. MBP is mapped to chromosome 18q22-23. Failure in this gene expression would be correlated in the central white matter with extrapyramidal system degeneration signs. Moreover, it is a candidate autoantigen in the disease multiple sclerosis.
Uniprot ID
P02686  
文献引用格式
Myelin basic protein/MBP Antibody (Clone#IIE-13) (Boster Biological Technology, Wuhan, China. Catalog#BM4869)
应用释义
WB-蛋白质免疫印迹法; IHC- 免疫组织化学法; ICC/IF-免疫细胞荧光和免疫细胞化学; FCM-流式细胞术; ELISA-酶联免疫吸附测定; IP-免疫沉淀法; IF-免疫组织荧光法; ChIP-染色质免疫沉淀法;
基因名全称
Myelin basic protein
推荐稀释比
Western blot (WB):1:500-2000
Immunohistochemistry (IHC):1:50-200

实验方案>

实验步骤

引用文献(0)>

    相关产品>

    成功添加到购物车

    查看购物车 继续购物

    Anti-Myelin basic protein/MBP Antibody (Clone#IIE-13)

    筛选器: All WB IHC

    亮暗模式切换
    X
    亮暗模式切换
    X

    在线
    客服

    在线客服
    服务时间:08:30 - 17:30

    点击下列客服在线咨询:

    服务热线

    服务
    热线

    客服服务热线

    027-67845390
    客服服务热线

    扫码

    扫码
    咨询

    微信二维码 微信扫一扫立即咨询
    返回顶部 顶部