| Western blot (WB): | 1:500-2000 |
| Immunohistochemistry (IHC): | 1:50-200 |
| Immunocytochemistry/Immunofluorescence (ICC/IF): | 1:50-200 |

Western blot analysis of anti-c-Jun/JUN (Phospho-S63) antibody (BM4845). The sample well of each lane was loaded with 30 ug of sample under reducing conditions.
Lane 1: rat C6 whole cell lysates.
After electrophoresis, proteins were transferred to a membrane. Then the membrane was incubated with rabbit anti-c-Jun/JUN (Phospho-S63) antigen affinity purified monoclonal antibody (BM4845) at a dilution of 1:1000 and probed with a goat anti-rabbit IgG-HRP secondary antibody (Catalog # BA1054). The signal is developed using ECL Plus Western Blotting Substrate (Catalog # AR1197). A specific band was detected for c-Jun/JUN (Phospho-S63) at approximately 45 kDa. The expected band size for c-Jun/JUN (Phospho-S63) is at 36 kDa.

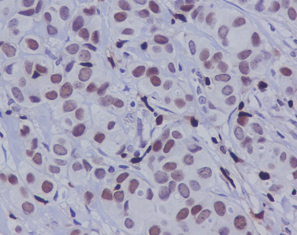
Immunohistochemical analysis of paraffin-embedded human breast carcinoma, using Phospho-c-Jun (S63) Antibody.

Immunofluorescent analysis using the Antibody.

Immunofluorescent analysis of HeLa cells treated with anisomycin, using Phospho-c-Jun (S63) Antibody.

Western blot analysis of anti-c-Jun/JUN (Phospho-S63) antibody (BM4845). The sample well of each lane was loaded with 30 ug of sample under reducing conditions.
Lane 1: rat C6 whole cell lysates.
After electrophoresis, proteins were transferred to a membrane. Then the membrane was incubated with rabbit anti-c-Jun/JUN (Phospho-S63) antigen affinity purified monoclonal antibody (BM4845) at a dilution of 1:1000 and probed with a goat anti-rabbit IgG-HRP secondary antibody (Catalog # BA1054). The signal is developed using ECL Plus Western Blotting Substrate (Catalog # AR1197). A specific band was detected for c-Jun/JUN (Phospho-S63) at approximately 45 kDa. The expected band size for c-Jun/JUN (Phospho-S63) is at 36 kDa.

Immunohistochemical analysis of paraffin-embedded human breast carcinoma, using Phospho-c-Jun (S63) Antibody.

Immunofluorescent analysis using the Antibody.

Immunofluorescent analysis of HeLa cells treated with anisomycin, using Phospho-c-Jun (S63) Antibody.



