| Western blot (WB): | 1:500-2000 |
| Immunohistochemistry (IHC): | 1:50-200 |
| Immunocytochemistry/Immunofluorescence (ICC/IF): | 1:50-200 |
| ImmunoPrecipitation (IP): | 1:20 |

Western blot analysis of anti-ATG5 antibody (BM4603). The sample well of each lane was loaded with 30 ug of sample under reducing conditions.
Lane 1: human Hela whole cell lysates,
Lane 2: human 293T whole cell lysates,
Lane 3: human MCF-7 whole cell lysates,
Lane 4: human K562 whole cell lysates,
Lane 5: rat liver tissue lysates,
Lane 6: rat C6 whole cell lysates,
Lane 7: mouse liver tissue lysates,
Lane 8: mouse NIH/3T3 whole cell lysates.
After electrophoresis, proteins were transferred to a membrane. Then the membrane was incubated with rabbit anti-ATG5 antigen affinity purified monoclonal antibody (BM4603) at a dilution of 1:1000 and probed with a goat anti-rabbit IgG-HRP secondary antibody (Catalog # BA1054). The signal is developed using ECL Plus Western Blotting Substrate (Catalog # AR1197). A specific band was detected for ATG5 at approximately 55 kDa. The expected band size for ATG5 is at 32 kDa.

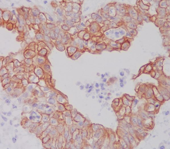
Immunohistochemical analysis of paraffin-embedded human ovarian cancer, using ATG5 Antibody.

Immunofluorescent analysis of Raji cells, using ATG5 Antibody.

Western blot analysis of anti-ATG5 antibody (BM4603). The sample well of each lane was loaded with 30 ug of sample under reducing conditions.
Lane 1: human Hela whole cell lysates,
Lane 2: human 293T whole cell lysates,
Lane 3: human MCF-7 whole cell lysates,
Lane 4: human K562 whole cell lysates,
Lane 5: rat liver tissue lysates,
Lane 6: rat C6 whole cell lysates,
Lane 7: mouse liver tissue lysates,
Lane 8: mouse NIH/3T3 whole cell lysates.
After electrophoresis, proteins were transferred to a membrane. Then the membrane was incubated with rabbit anti-ATG5 antigen affinity purified monoclonal antibody (BM4603) at a dilution of 1:1000 and probed with a goat anti-rabbit IgG-HRP secondary antibody (Catalog # BA1054). The signal is developed using ECL Plus Western Blotting Substrate (Catalog # AR1197). A specific band was detected for ATG5 at approximately 55 kDa. The expected band size for ATG5 is at 32 kDa.

Immunohistochemical analysis of paraffin-embedded human ovarian cancer, using ATG5 Antibody.

Immunofluorescent analysis of Raji cells, using ATG5 Antibody.




