| Western blot (WB): | 1:500-2000 |
| Immunohistochemistry (IHC): | 1:50-200 |
| ImmunoPrecipitation (IP): | 1:20 |

Western blot analysis of anti-P-CDK2 antibody (BM4590). The sample well of each lane was loaded with 30 ug of sample under reducing conditions.
Lane 1: human Hela whole cell lysates,
Lane 2: human K562 whole cell lysates,
Lane 3: human A431 whole cell lysates,
Lane 4: human 293T whole cell lysates,
Lane 5: mouse Neuro-2a tissue lysates.
After electrophoresis, proteins were transferred to a membrane. Then the membrane was incubated with rabbit anti-P-CDK2 antigen affinity purified monoclonal antibody (BM4590) at a dilution of 1:1000 and probed with a goat anti-rabbit IgG-HRP secondary antibody (Catalog # BA1054). The signal is developed using ECL Plus Western Blotting Substrate (Catalog # AR1197). A specific band was detected for P-CDK2 at approximately 34 kDa. The expected band size for P-CDK2 is at 34 kDa.

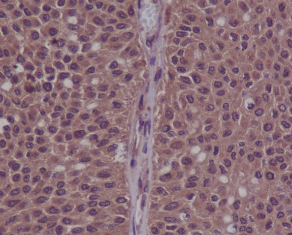
Immunohistochemical analysis of paraffin-embedded human bladder cancer, using Phospho-CDK2 (Y15) Antibody.

Western blot analysis of anti-P-CDK2 antibody (BM4590). The sample well of each lane was loaded with 30 ug of sample under reducing conditions.
Lane 1: human Hela whole cell lysates,
Lane 2: human K562 whole cell lysates,
Lane 3: human A431 whole cell lysates,
Lane 4: human 293T whole cell lysates,
Lane 5: mouse Neuro-2a tissue lysates.
After electrophoresis, proteins were transferred to a membrane. Then the membrane was incubated with rabbit anti-P-CDK2 antigen affinity purified monoclonal antibody (BM4590) at a dilution of 1:1000 and probed with a goat anti-rabbit IgG-HRP secondary antibody (Catalog # BA1054). The signal is developed using ECL Plus Western Blotting Substrate (Catalog # AR1197). A specific band was detected for P-CDK2 at approximately 34 kDa. The expected band size for P-CDK2 is at 34 kDa.

Immunohistochemical analysis of paraffin-embedded human bladder cancer, using Phospho-CDK2 (Y15) Antibody.



