| Western blot (WB): | 1:1000-5000 |
| Immunohistochemistry (IHC): | 1:50-200 |

Western blot analysis of anti-TAU/MAPT antibody (BM4496). The sample well of each lane was loaded with 30 ug of sample under reducing conditions.
Lane 1: human SH-SY5Y whole cell lysates,
Lane 2: mouse brain tissue lysates.
After electrophoresis, proteins were transferred to a membrane. Then the membrane was incubated with rabbit anti-TAU/MAPT antigen affinity purified monoclonal antibody (BM4496) at a dilution of 1:1000 and probed with a goat anti-rabbit IgG-HRP secondary antibody (Catalog # BA1054). The signal is developed using ECL Plus Western Blotting Substrate (Catalog # AR1197). A specific band was detected for TAU/MAPT at approximately 55 kDa. The expected band size for TAU/MAPT is at 79 kDa.

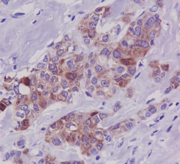
Immunohistochemical analysis of paraffin-embedded human breast carcinoma, using Phospho-Tau (S396) Antibody.

Western blot analysis of anti-TAU/MAPT antibody (BM4496). The sample well of each lane was loaded with 30 ug of sample under reducing conditions.
Lane 1: human SH-SY5Y whole cell lysates,
Lane 2: mouse brain tissue lysates.
After electrophoresis, proteins were transferred to a membrane. Then the membrane was incubated with rabbit anti-TAU/MAPT antigen affinity purified monoclonal antibody (BM4496) at a dilution of 1:1000 and probed with a goat anti-rabbit IgG-HRP secondary antibody (Catalog # BA1054). The signal is developed using ECL Plus Western Blotting Substrate (Catalog # AR1197). A specific band was detected for TAU/MAPT at approximately 55 kDa. The expected band size for TAU/MAPT is at 79 kDa.

Immunohistochemical analysis of paraffin-embedded human breast carcinoma, using Phospho-Tau (S396) Antibody.

