欢迎访问博士德生物官网! 服务热线:027-67845390 |
您当前的位置: 首页 > 产品中心 > 一抗 > 重组兔单抗

Anti-NSE/ENO2 Antibody (Clone#FBI-5)

Rabbit monoclonal antibody

说明书 一键复制产品信息

筛选器: All WB IHC ICC/IF FCM

BM4495

  • 50μl ¥1280 100μl ¥2180 150μl ¥2800
  • 货期: 5-7天
  • Western blot analysis of NSE expression in HeLa cell lysate.

    all(4)
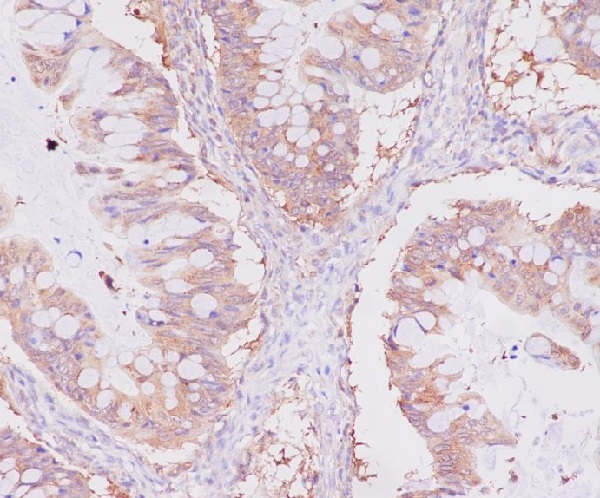
  • Immunohistochemical analysis of paraffin-embedded human uterus cancer, using NSE Antibody.

    all(4)
  • Immunofluorescent analysis of A431 cells, using NSE Antibody.

    all(4)

产品简介 实验方案 引用文献 相关产品

产品简介>

产品名称
Anti-NSE/ENO2 Antibody (Clone#FBI-5)
规格/价格
50μl|1280 100μl|2180 150μl|2800
指标别称
enolase 2 (gamma; neuronal); Gamma enolase; Neural enolase; Neuron specific enolase; NSE
产品类型
Monoclonal
检验物种
human, mouse, rat
应用范围
WB, IHC, ICC/IF, FCM
基因名称
ENO2
克隆号
FBI-5
宿主
Rabbit
抗体亚型
IgG
免疫原
A synthesized peptide derived from human NSE
计算分子量
47 kDa
实际分子量
47 kDa
成分
500 ug/ml; Rabbit IgG in phosphate buffered saline, pH 7.4, 150mM NaCl, 0.02% sodium azide, 0.4-0.5 mg/ml BSA and 50% glycerol.
纯化方式
Affinity-chromatography
浓度
500 ug/ml
产品形态
Liquid
保存条件
12 months from date of receipt,-20℃ as supplied.
背景资料
NSE (neuron specific enolase), also known as Enolase 2(ENO2), is found in elevated concentrations in plasma in certain neoplasias. The enolases catalyze the interconversion of 2-phosphoglycerate to phosphoenolpyruvate in the glycolytic pathway. ENO2 gene contains 12 exons distributed over 9,213 nucleotides. Human neurone-specific enolase is mapped to chromosome 12p13.
Uniprot ID
P09104  
文献引用格式
NSE/ENO2 Antibody (Clone#FBI-5) (Boster Biological Technology, Wuhan, China. Catalog#BM4495)
应用释义
WB-蛋白质免疫印迹法; IHC- 免疫组织化学法; ICC/IF-免疫细胞荧光和免疫细胞化学; FCM-流式细胞术; ELISA-酶联免疫吸附测定; IP-免疫沉淀法; IF-免疫组织荧光法; ChIP-染色质免疫沉淀法;
基因名全称
Gamma-enolase
推荐稀释比
Western blot (WB):1:1000-5000
Immunohistochemistry (IHC):1:50-200
Immunocytochemistry/Immunofluorescence (ICC/IF):1:50-200
Flow Cytometry (FCM):1:20

实验方案>

实验步骤

引用文献(0)>

    相关产品>

    成功添加到购物车

    查看购物车 继续购物

    Anti-NSE/ENO2 Antibody (Clone#FBI-5)

    筛选器: All WB IHC ICC/IF FCM

    亮暗模式切换
    X
    亮暗模式切换
    X

    在线
    客服

    在线客服
    服务时间:08:30 - 17:30

    点击下列客服在线咨询:

    服务热线

    服务
    热线

    客服服务热线

    027-67845390
    客服服务热线

    扫码

    扫码
    咨询

    微信二维码 微信扫一扫立即咨询
    返回顶部 顶部