| Western blot (WB): | 1:500-2000 |
| Immunohistochemistry (IHC): | 1:50-200 |
| Immunocytochemistry/Immunofluorescence (ICC/IF): | 1:50-200 |
| ImmunoPrecipitation (IP): | 1:30 |

Western blot analysis of anti-TrkB/NTRK2 antibody (BM4437). The sample well of each lane was loaded with 30 ug of sample under reducing conditions.
Lane 1: rat brain tissue lysates,
Lane 2: mouse brain tissue lysates.
After electrophoresis, proteins were transferred to a membrane. Then the membrane was incubated with rabbit anti-TrkB/NTRK2 antigen affinity purified monoclonal antibody (BM4437) at a dilution of 1:1000 and probed with a goat anti-rabbit IgG-HRP secondary antibody (Catalog # BA1054). The signal is developed using ECL Plus Western Blotting Substrate (Catalog # AR1197). A specific band was detected for TrkB/NTRK2 at approximately 130 kDa. The expected band size for TrkB/NTRK2 is at 92 kDa.

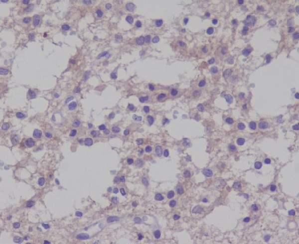
Immunohistochemical analysis of paraffin-embedded mouse brain cancer, using Phospho-TrkB (Y817) Antibody.

Immunofluorescent analysis using the Antibody.

Western blot analysis of anti-TrkB/NTRK2 antibody (BM4437). The sample well of each lane was loaded with 30 ug of sample under reducing conditions.
Lane 1: rat brain tissue lysates,
Lane 2: mouse brain tissue lysates.
After electrophoresis, proteins were transferred to a membrane. Then the membrane was incubated with rabbit anti-TrkB/NTRK2 antigen affinity purified monoclonal antibody (BM4437) at a dilution of 1:1000 and probed with a goat anti-rabbit IgG-HRP secondary antibody (Catalog # BA1054). The signal is developed using ECL Plus Western Blotting Substrate (Catalog # AR1197). A specific band was detected for TrkB/NTRK2 at approximately 130 kDa. The expected band size for TrkB/NTRK2 is at 92 kDa.

Immunohistochemical analysis of paraffin-embedded mouse brain cancer, using Phospho-TrkB (Y817) Antibody.

Immunofluorescent analysis using the Antibody.




