| Western blot (WB): | 1:1000-5000 |
| Immunohistochemistry (IHC): | 1:50-200 |
| Immunocytochemistry/Immunofluorescence (ICC/IF): | 1:50-200 |
| ImmunoPrecipitation (IP): | 1:30 |

Western blot analysis of anti-GFAP antibody (BM4287). The sample well of each lane was loaded with 30 ug of sample under reducing conditions.
Lane 1: human U251 whole cell lysates,
Lane 2: rat brain tissue lysates,
Lane 3: mouse brain tissue lysates.
After electrophoresis, proteins were transferred to a membrane. Then the membrane was incubated with rabbit anti-GFAP antigen affinity purified monoclonal antibody (BM4287) at a dilution of 1:1000 and probed with a goat anti-rabbit IgG-HRP secondary antibody (Catalog # BA1054). The signal is developed using ECL Plus Western Blotting Substrate (Catalog # AR1197). A specific band was detected for GFAP at approximately 45 kDa. The expected band size for GFAP is at 50 kDa.

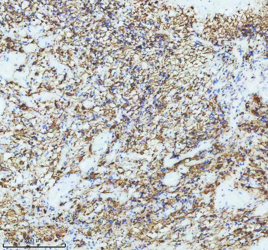
IHC analysis of GFAP using anti-GFAP antibody (BM4287) .
GFAP was detected in a paraffin-embedded section of human glioma tissue. The tissue section was incubated with rabbit anti-GFAP Antibody (BM4287) at a dilution of 1:200 and developed using HRP Conjugated Rabbit IgG Super Vision Assay Kit (Catalog # SV0002) with DAB (Catalog # AR1027) as the chromogen.

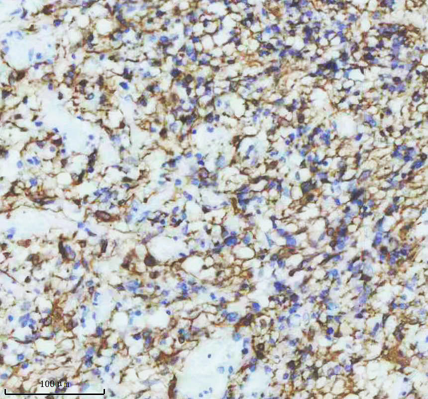
IHC analysis of GFAP using anti-GFAP antibody (BM4287) .
GFAP was detected in a paraffin-embedded section of human glioma tissue. The tissue section was incubated with rabbit anti-GFAP Antibody (BM4287) at a dilution of 1:200 and developed using HRP Conjugated Rabbit IgG Super Vision Assay Kit (Catalog # SV0002) with DAB (Catalog # AR1027) as the chromogen.

IHC analysis of GFAP using anti-GFAP antibody (BM4287) .
GFAP was detected in a paraffin-embedded section of mouse brain tissue. The tissue section was incubated with rabbit anti-GFAP Antibody (BM4287) at a dilution of 1:200 and developed using HRP Conjugated Rabbit IgG Super Vision Assay Kit (Catalog # SV0002) with DAB (Catalog # AR1027) as the chromogen.

IHC analysis of GFAP using anti-GFAP antibody (BM4287) .
GFAP was detected in a paraffin-embedded section of mouse brain tissue. The tissue section was incubated with rabbit anti-GFAP Antibody (BM4287) at a dilution of 1:200 and developed using HRP Conjugated Rabbit IgG Super Vision Assay Kit (Catalog # SV0002) with DAB (Catalog # AR1027) as the chromogen.

Western blot analysis of anti-GFAP antibody (BM4287). The sample well of each lane was loaded with 30 ug of sample under reducing conditions.
Lane 1: human U251 whole cell lysates,
Lane 2: rat brain tissue lysates,
Lane 3: mouse brain tissue lysates.
After electrophoresis, proteins were transferred to a membrane. Then the membrane was incubated with rabbit anti-GFAP antigen affinity purified monoclonal antibody (BM4287) at a dilution of 1:1000 and probed with a goat anti-rabbit IgG-HRP secondary antibody (Catalog # BA1054). The signal is developed using ECL Plus Western Blotting Substrate (Catalog # AR1197). A specific band was detected for GFAP at approximately 45 kDa. The expected band size for GFAP is at 50 kDa.

IHC analysis of GFAP using anti-GFAP antibody (BM4287) .
GFAP was detected in a paraffin-embedded section of human glioma tissue. The tissue section was incubated with rabbit anti-GFAP Antibody (BM4287) at a dilution of 1:200 and developed using HRP Conjugated Rabbit IgG Super Vision Assay Kit (Catalog # SV0002) with DAB (Catalog # AR1027) as the chromogen.

IHC analysis of GFAP using anti-GFAP antibody (BM4287) .
GFAP was detected in a paraffin-embedded section of human glioma tissue. The tissue section was incubated with rabbit anti-GFAP Antibody (BM4287) at a dilution of 1:200 and developed using HRP Conjugated Rabbit IgG Super Vision Assay Kit (Catalog # SV0002) with DAB (Catalog # AR1027) as the chromogen.

IHC analysis of GFAP using anti-GFAP antibody (BM4287) .
GFAP was detected in a paraffin-embedded section of mouse brain tissue. The tissue section was incubated with rabbit anti-GFAP Antibody (BM4287) at a dilution of 1:200 and developed using HRP Conjugated Rabbit IgG Super Vision Assay Kit (Catalog # SV0002) with DAB (Catalog # AR1027) as the chromogen.

IHC analysis of GFAP using anti-GFAP antibody (BM4287) .
GFAP was detected in a paraffin-embedded section of mouse brain tissue. The tissue section was incubated with rabbit anti-GFAP Antibody (BM4287) at a dilution of 1:200 and developed using HRP Conjugated Rabbit IgG Super Vision Assay Kit (Catalog # SV0002) with DAB (Catalog # AR1027) as the chromogen.








