| Western blot (WB): | 1:500-2000 |
| Immunohistochemistry (IHC): | 1:50-200 |
| Immunocytochemistry/Immunofluorescence (ICC/IF): | 1:50-200 |
| ImmunoPrecipitation (IP): | 1:50 |
| Flow Cytometry (FCM): | 1:50 |

Western blot analysis of anti-P27/KIP1/CDKN1B antibody (BM4229). The sample well of each lane was loaded with 30 ug of sample under reducing conditions.
Lane 1: human MCF-7 whole cell lysates,
Lane 2: human Jurkat whole cell lysates,
Lane 3: human Caco-2 whole cell lysates,
Lane 4: human HepG2 whole cell lysates,
Lane 5: rat brain tissue lysates,
Lane 6: mouse brain tissue lysates.
After electrophoresis, proteins were transferred to a membrane. Then the membrane was incubated with rabbit anti-P27/KIP1/CDKN1B antigen affinity purified monoclonal antibody (BM4229) at a dilution of 1:1000 and probed with a goat anti-rabbit IgG-HRP secondary antibody (Catalog # BA1054). The signal is developed using ECL Plus Western Blotting Substrate (Catalog # AR1197). A specific band was detected for P27/KIP1/CDKN1B at approximately 25 kDa. The expected band size for P27/KIP1/CDKN1B is at 22 kDa.

IHC analysis of P27/KIP1/CDKN1B using anti-P27/KIP1/CDKN1B antibody (BM4229) .
P27/KIP1/CDKN1B was detected in a paraffin-embedded section of human breast cancer tissue. The tissue section was incubated with rabbit anti-P27/KIP1/CDKN1B Antibody (BM4229) at a dilution of 1:200 and developed using HRP Conjugated Rabbit IgG Super Vision Assay Kit (Catalog # SV0002) with DAB (Catalog # AR1027) as the chromogen.

IHC analysis of P27/KIP1/CDKN1B using anti-P27/KIP1/CDKN1B antibody (BM4229) .
P27/KIP1/CDKN1B was detected in a paraffin-embedded section of human lung cancer tissue. The tissue section was incubated with rabbit anti-P27/KIP1/CDKN1B Antibody (BM4229) at a dilution of 1:200 and developed using HRP Conjugated Rabbit IgG Super Vision Assay Kit (Catalog # SV0002) with DAB (Catalog # AR1027) as the chromogen.

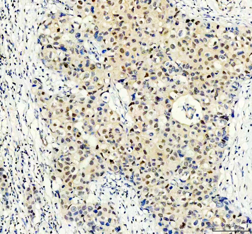
IHC analysis of P27/KIP1/CDKN1B using anti-P27/KIP1/CDKN1B antibody (BM4229) .
P27/KIP1/CDKN1B was detected in a paraffin-embedded section of human urothelial carcinoma with squamous differentiation tissue. The tissue section was incubated with rabbit anti-P27/KIP1/CDKN1B Antibody (BM4229) at a dilution of 1:200 and developed using HRP Conjugated Rabbit IgG Super Vision Assay Kit (Catalog # SV0002) with DAB (Catalog # AR1027) as the chromogen.

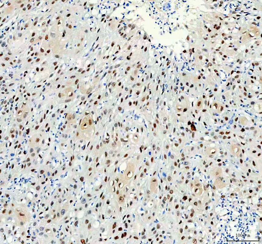
IHC analysis of P27/KIP1/CDKN1B using anti-P27/KIP1/CDKN1B antibody (BM4229) .
P27/KIP1/CDKN1B was detected in a paraffin-embedded section of rat brain tissue. The tissue section was incubated with rabbit anti-P27/KIP1/CDKN1B Antibody (BM4229) at a dilution of 1:200 and developed using HRP Conjugated Rabbit IgG Super Vision Assay Kit (Catalog # SV0002) with DAB (Catalog # AR1027) as the chromogen.

Immunofluorescent analysis of Hela cells, using p27 KIP 1 Antibody .

Western blot analysis of anti-P27/KIP1/CDKN1B antibody (BM4229). The sample well of each lane was loaded with 30 ug of sample under reducing conditions.
Lane 1: human MCF-7 whole cell lysates,
Lane 2: human Jurkat whole cell lysates,
Lane 3: human Caco-2 whole cell lysates,
Lane 4: human HepG2 whole cell lysates,
Lane 5: rat brain tissue lysates,
Lane 6: mouse brain tissue lysates.
After electrophoresis, proteins were transferred to a membrane. Then the membrane was incubated with rabbit anti-P27/KIP1/CDKN1B antigen affinity purified monoclonal antibody (BM4229) at a dilution of 1:1000 and probed with a goat anti-rabbit IgG-HRP secondary antibody (Catalog # BA1054). The signal is developed using ECL Plus Western Blotting Substrate (Catalog # AR1197). A specific band was detected for P27/KIP1/CDKN1B at approximately 25 kDa. The expected band size for P27/KIP1/CDKN1B is at 22 kDa.

IHC analysis of P27/KIP1/CDKN1B using anti-P27/KIP1/CDKN1B antibody (BM4229) .
P27/KIP1/CDKN1B was detected in a paraffin-embedded section of human breast cancer tissue. The tissue section was incubated with rabbit anti-P27/KIP1/CDKN1B Antibody (BM4229) at a dilution of 1:200 and developed using HRP Conjugated Rabbit IgG Super Vision Assay Kit (Catalog # SV0002) with DAB (Catalog # AR1027) as the chromogen.

IHC analysis of P27/KIP1/CDKN1B using anti-P27/KIP1/CDKN1B antibody (BM4229) .
P27/KIP1/CDKN1B was detected in a paraffin-embedded section of human lung cancer tissue. The tissue section was incubated with rabbit anti-P27/KIP1/CDKN1B Antibody (BM4229) at a dilution of 1:200 and developed using HRP Conjugated Rabbit IgG Super Vision Assay Kit (Catalog # SV0002) with DAB (Catalog # AR1027) as the chromogen.

IHC analysis of P27/KIP1/CDKN1B using anti-P27/KIP1/CDKN1B antibody (BM4229) .
P27/KIP1/CDKN1B was detected in a paraffin-embedded section of human urothelial carcinoma with squamous differentiation tissue. The tissue section was incubated with rabbit anti-P27/KIP1/CDKN1B Antibody (BM4229) at a dilution of 1:200 and developed using HRP Conjugated Rabbit IgG Super Vision Assay Kit (Catalog # SV0002) with DAB (Catalog # AR1027) as the chromogen.

IHC analysis of P27/KIP1/CDKN1B using anti-P27/KIP1/CDKN1B antibody (BM4229) .
P27/KIP1/CDKN1B was detected in a paraffin-embedded section of rat brain tissue. The tissue section was incubated with rabbit anti-P27/KIP1/CDKN1B Antibody (BM4229) at a dilution of 1:200 and developed using HRP Conjugated Rabbit IgG Super Vision Assay Kit (Catalog # SV0002) with DAB (Catalog # AR1027) as the chromogen.

Immunofluorescent analysis of Hela cells, using p27 KIP 1 Antibody .









