| Western blot (WB): | 1:500-2000 |
| Immunohistochemistry (IHC): | 1:50-200 |
| Immunocytochemistry/Immunofluorescence (ICC/IF): | 1:50-200 |
| ImmunoPrecipitation (IP): | 1:20 |
| Flow Cytometry (FCM): | 1:20 |

Western blot analysis of anti-AMPK Alpha 1/PRKAA1 antibody (BM4202). The sample well of each lane was loaded with 30 ug of sample under reducing conditions.
Lane 1: human Hela whole cell lysates,
Lane 2: human U-87 MG whole cell lysates,
Lane 3: human PC-3 whole cell lysates,
Lane 4: rat PC-12 whole cell lysates,
Lane 5: rat RH-35 whole cell lysates,
Lane 6: mouse RAW264.7 whole cell lysates.
After electrophoresis, proteins were transferred to a membrane. Then the membrane was incubated with rabbit anti-AMPK Alpha 1/PRKAA1 antigen affinity purified monoclonal antibody (BM4202) at a dilution of 1:1000 and probed with a goat anti-rabbit IgG-HRP secondary antibody (Catalog # BA1054). The signal is developed using ECL Plus Western Blotting Substrate (Catalog # AR1197). A specific band was detected for AMPK Alpha 1/PRKAA1 at approximately 64 kDa. The expected band size for AMPK Alpha 1/PRKAA1 is at 64 kDa.

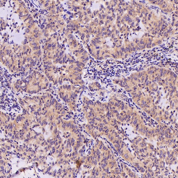
Immunohistochemical analysis of paraffin-embedded Human lung adenocarcinoma, using the Antibody.

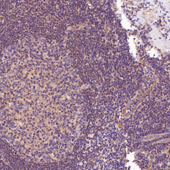
Immunohistochemical analysis of paraffin-embedded Human tonsil, using the Antibody.

Immunohistochemical analysis of paraffin-embedded Human pituitary tumor, using the Antibody.

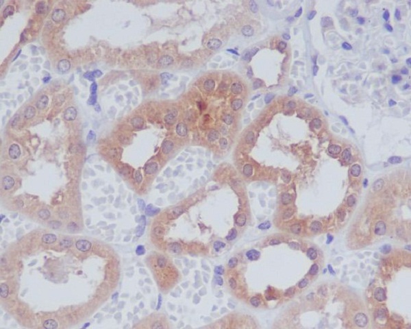
Immunohistochemical analysis of paraffin-embedded human kidney, using AMPK alpha 1 Antibody.

Immunofluorescent analysis of Hela cells, using AMPK alpha 1 Antibody.

Western blot analysis of anti-AMPK Alpha 1/PRKAA1 antibody (BM4202). The sample well of each lane was loaded with 30 ug of sample under reducing conditions.
Lane 1: human Hela whole cell lysates,
Lane 2: human U-87 MG whole cell lysates,
Lane 3: human PC-3 whole cell lysates,
Lane 4: rat PC-12 whole cell lysates,
Lane 5: rat RH-35 whole cell lysates,
Lane 6: mouse RAW264.7 whole cell lysates.
After electrophoresis, proteins were transferred to a membrane. Then the membrane was incubated with rabbit anti-AMPK Alpha 1/PRKAA1 antigen affinity purified monoclonal antibody (BM4202) at a dilution of 1:1000 and probed with a goat anti-rabbit IgG-HRP secondary antibody (Catalog # BA1054). The signal is developed using ECL Plus Western Blotting Substrate (Catalog # AR1197). A specific band was detected for AMPK Alpha 1/PRKAA1 at approximately 64 kDa. The expected band size for AMPK Alpha 1/PRKAA1 is at 64 kDa.

Immunohistochemical analysis of paraffin-embedded Human lung adenocarcinoma, using the Antibody.

Immunohistochemical analysis of paraffin-embedded Human tonsil, using the Antibody.

Immunohistochemical analysis of paraffin-embedded Human pituitary tumor, using the Antibody.

Immunohistochemical analysis of paraffin-embedded human kidney, using AMPK alpha 1 Antibody.

Immunofluorescent analysis of Hela cells, using AMPK alpha 1 Antibody.









