| Western blot (WB): | 1:500-2000 |
| Immunohistochemistry (IHC): | 1:50-200 |
| Immunocytochemistry/Immunofluorescence (ICC/IF): | 1:50-200 |
| ImmunoPrecipitation (IP): | 1:20 |

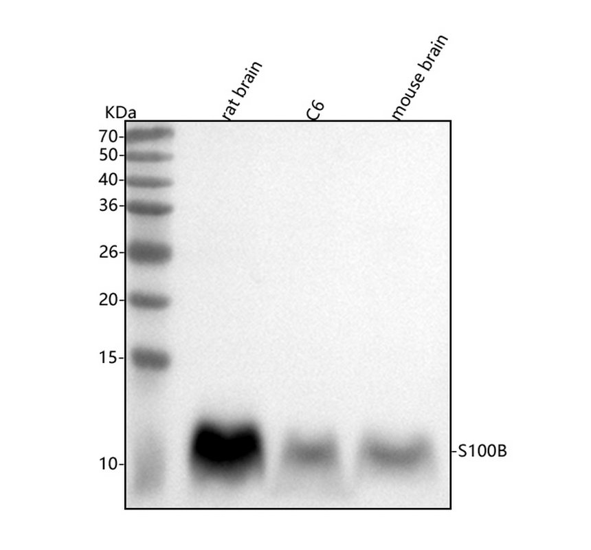
Western blot analysis of anti-S100 Beta/S100B antibody (BM4087). The sample well of each lane was loaded with 30 ug of sample under reducing conditions.
Lane 1: rat brain tissue lysates,
Lane 2: rat C6 whole cell lysates,
Lane 3: mouse brain tissue lysates.
After electrophoresis, proteins were transferred to a membrane. Then the membrane was incubated with rabbit anti-S100 Beta/S100B antigen affinity purified monoclonal antibody (BM4087) at a dilution of 1:1000 and probed with a goat anti-rabbit IgG-HRP secondary antibody (Catalog # BA1054). The signal is developed using ECL Plus Western Blotting Substrate (Catalog # AR1197). A specific band was detected for S100 Beta/S100B at approximately 11 kDa. The expected band size for S100 Beta/S100B is at 11 kDa.

Immunohistochemical analysis of paraffin-embedded Rat cerebral cortex, using the Antibody.

Immunohistochemical analysis of paraffin-embedded Human testis cancer, using the Antibody.

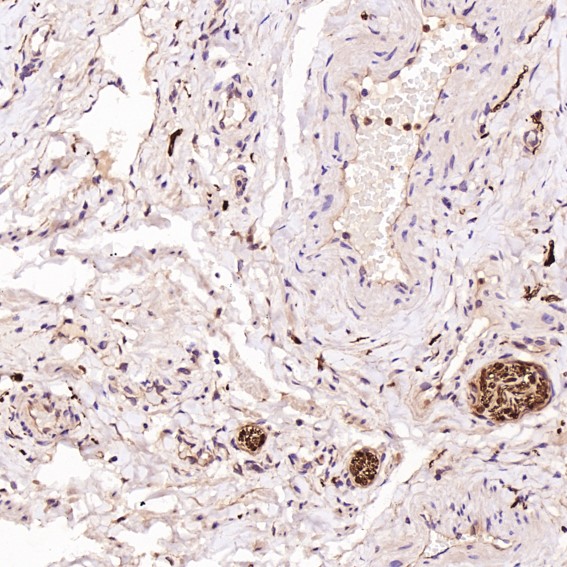
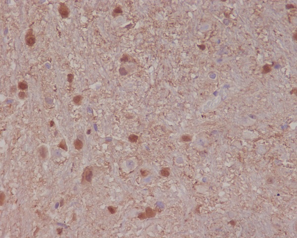
Immunohistochemical analysis of paraffin-embedded Human glioblastoma, using the Antibody.

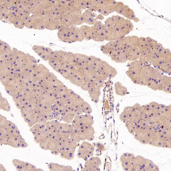
Immunohistochemical analysis of paraffin-embedded Mouse pancreas, using the Antibody.

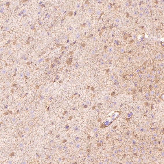
Immunohistochemical analysis of paraffin-embedded Mouse hippocampus , using the Antibody.

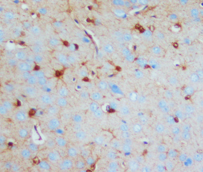
Immunohistochemical analysis of paraffin-embedded rat brain, using S100B Antibody.

Immunofluorescent analysis using the Antibody.

Immunofluorescent analysis of A375 cells, using S100B Antibody .

Early wheel-running promotes functional recovery by improving mitochondria metabolism in olfactory ensheathing cells after ischemic stroke in rats. -Behavioural Brain Research

Western blot analysis of anti-S100 Beta/S100B antibody (BM4087). The sample well of each lane was loaded with 30 ug of sample under reducing conditions.
Lane 1: rat brain tissue lysates,
Lane 2: rat C6 whole cell lysates,
Lane 3: mouse brain tissue lysates.
After electrophoresis, proteins were transferred to a membrane. Then the membrane was incubated with rabbit anti-S100 Beta/S100B antigen affinity purified monoclonal antibody (BM4087) at a dilution of 1:1000 and probed with a goat anti-rabbit IgG-HRP secondary antibody (Catalog # BA1054). The signal is developed using ECL Plus Western Blotting Substrate (Catalog # AR1197). A specific band was detected for S100 Beta/S100B at approximately 11 kDa. The expected band size for S100 Beta/S100B is at 11 kDa.

Immunohistochemical analysis of paraffin-embedded Rat cerebral cortex, using the Antibody.

Immunohistochemical analysis of paraffin-embedded Human testis cancer, using the Antibody.

Immunohistochemical analysis of paraffin-embedded Human glioblastoma, using the Antibody.

Immunohistochemical analysis of paraffin-embedded Mouse pancreas, using the Antibody.

Immunohistochemical analysis of paraffin-embedded Mouse hippocampus , using the Antibody.

Immunohistochemical analysis of paraffin-embedded rat brain, using S100B Antibody.

Immunofluorescent analysis using the Antibody.

Immunofluorescent analysis of A375 cells, using S100B Antibody .

Early wheel-running promotes functional recovery by improving mitochondria metabolism in olfactory ensheathing cells after ischemic stroke in rats. -Behavioural Brain Research











