| Western blot (WB): | 1:500-2000 |
| Immunohistochemistry (IHC): | 1:50-200 |
| Immunocytochemistry/Immunofluorescence (ICC/IF): | 1:50-200 |

Western blot analysis of anti-N-Cadherin/CDH2 antibody (BM3921). The sample well of each lane was loaded with 30 ug of sample under reducing conditions.
Lane 1: human 293T whole cell lysates,
Lane 2: human Hela whole cell lysates,
Lane 3: human A549 whole cell lysates,
Lane 4: rat heart tissue lysates,
Lane 5: rat brain tissue lysates,
Lane 6: mouse heart tissue lysates,
Lane 7: mouse brain tissue lysates.
After electrophoresis, proteins were transferred to a membrane. Then the membrane was incubated with rabbit anti-N-Cadherin/CDH2 antigen affinity purified monoclonal antibody (BM3921) at a dilution of 1:1000 and probed with a goat anti-rabbit IgG-HRP secondary antibody (Catalog # BA1054). The signal is developed using ECL Plus Western Blotting Substrate (Catalog # AR1197). A specific band was detected for N-Cadherin/CDH2 at approximately 140 kDa. The expected band size for N-Cadherin/CDH2 is at 100 kDa.

Immunohistochemical analysis of paraffin-embedded Rat testis, using the Antibody.

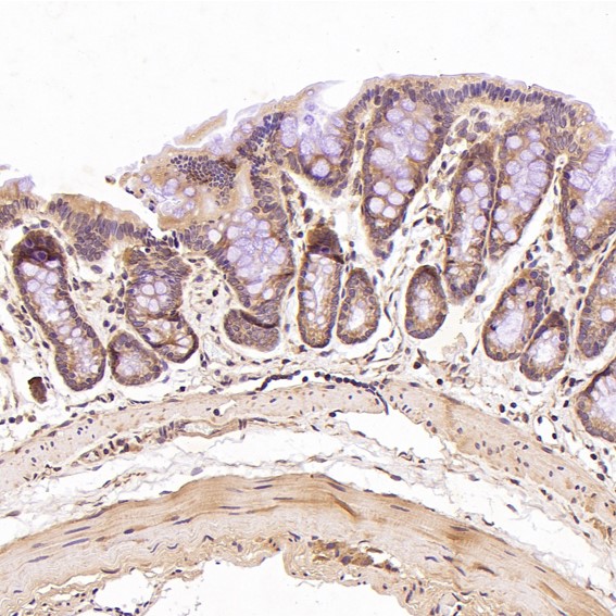
Immunohistochemical analysis of paraffin-embedded Rat stomach, using the Antibody.

Immunohistochemical analysis of paraffin-embedded Mouse skin, using the Antibody.

Immunohistochemical analysis of paraffin-embedded Human prostate cancer, using the Antibody.

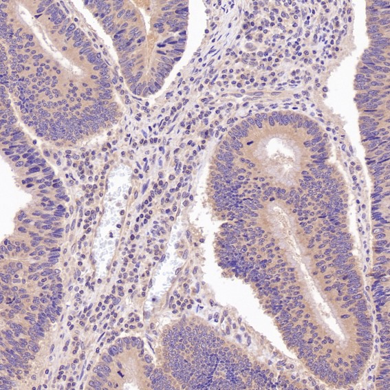
Immunohistochemical analysis of paraffin-embedded human colon, using N Cadherin Antibody.

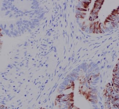
Immunohistochemical analysis of paraffin-embedded Human colon cancer, using the Antibody.

Immunofluorescent analysis using the Antibody.

Western blot analysis of anti-N-Cadherin/CDH2 antibody (BM3921). The sample well of each lane was loaded with 30 ug of sample under reducing conditions.
Lane 1: human 293T whole cell lysates,
Lane 2: human Hela whole cell lysates,
Lane 3: human A549 whole cell lysates,
Lane 4: rat heart tissue lysates,
Lane 5: rat brain tissue lysates,
Lane 6: mouse heart tissue lysates,
Lane 7: mouse brain tissue lysates.
After electrophoresis, proteins were transferred to a membrane. Then the membrane was incubated with rabbit anti-N-Cadherin/CDH2 antigen affinity purified monoclonal antibody (BM3921) at a dilution of 1:1000 and probed with a goat anti-rabbit IgG-HRP secondary antibody (Catalog # BA1054). The signal is developed using ECL Plus Western Blotting Substrate (Catalog # AR1197). A specific band was detected for N-Cadherin/CDH2 at approximately 140 kDa. The expected band size for N-Cadherin/CDH2 is at 100 kDa.

Immunohistochemical analysis of paraffin-embedded Rat testis, using the Antibody.

Immunohistochemical analysis of paraffin-embedded Rat stomach, using the Antibody.

Immunohistochemical analysis of paraffin-embedded Mouse skin, using the Antibody.

Immunohistochemical analysis of paraffin-embedded Human prostate cancer, using the Antibody.

Immunohistochemical analysis of paraffin-embedded human colon, using N Cadherin Antibody.

Immunohistochemical analysis of paraffin-embedded Human colon cancer, using the Antibody.

Immunofluorescent analysis using the Antibody.







